相关产品推荐更多 >
万千商家帮你免费找货
0 人在求购买到急需产品
- 详细信息
- 文献和实验
- 技术资料
- 免疫原:
Recombinant full-length human CEA protein
- 亚型:
IgG
- 形态:
Liquid
- 保存条件:
Store as concentrated solution. Centrifuge briefly prior to opening vial. Store at 4ºC.
- 克隆性:
Monoclonal
- 标记物:
Unconjugated
- 适应物种:
Human
- 保质期:
12 months from the shipping date of the product.
- 抗原来源:
Human
- 目录编号:
GTX02620
- 级别:
Primary Antibodies
- 库存:
Available
- 供应商:
GeneTex
- 宿主:
Rabbit
- 应用范围:
IHC-P
- 浓度:
200 μg/ml (Please refer to the vial label for the specific concentration.)
- 靶点:
CD66e
- 抗体英文名:
CD66e antibody [C66/3707R]
- 抗体名:
CD66e 抗体 [C66/3707R]
- 规格:
100 μg
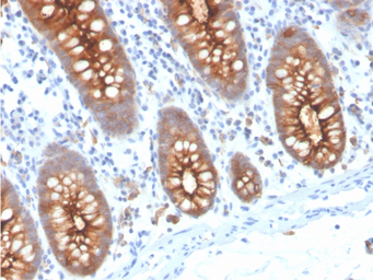
IHC-P analysis of human colon tissue section using GTX02620 CD66e antibody [C66/3707R].
IHC-P analysis of human colon tissue section using GTX02620 CD66e antibody [C66/3707R].
风险提示:丁香通仅作为第三方平台,为商家信息发布提供平台空间。用户咨询产品时请注意保护个人信息及财产安全,合理判断,谨慎选购商品,商家和用户对交易行为负责。对于医疗器械类产品,请先查证核实企业经营资质和医疗器械产品注册证情况。
文献和实验CD66a/CD66b/CD66c/CD66d/CD66e/CD66f/CD67分子
CD66a/CD66b/CD66c/CD66d/CD66e/CD66f/CD67 分子 CD66a 常用单克隆抗体或代号: BGP- 1 主要表达细胞: G,En [M] 分子质量(kDa)和结构: gp180- 200(胆汁糖蛋白- 1)(IgSF) 功 能: 嗜同性结合,也可识别CD62E CD66b 常用单克隆抗体或代号: MF25.1;(P100,原CD67,CGM6) 主要表达
Phage‐Based Expression Cloning to Identify Interacting Proteins
, W., Sellers, W.R., DeCaprio, J.A., Ajchenbaum, F., Fuchs, C.S., Chittenden, T., Li, Y., Farnham, P.J., Blanar, M.A., Livingston, D.M., and Flemington, E.K. 1992. Expression cloning of a cDNA encoding a retinoblastoma‐binding protein with E2F
a subset of genomic DNA sequences of type 5'-(NNN )3 -3', whereas the 6ZF library would recognize a subset of genomic sequences of type 5'-(NNN )6 -3'. Given the zinc-finger domains used, both libraries were more likely to recognize (RNN)x -type sequences
技术资料暂无技术资料 索取技术资料






![GCLM antibody [N1N3]](https://img1.dxycdn.com/2023/0711/255/2344116916935858761-14.jpg!wh200)

