相关产品推荐更多 >
万千商家帮你免费找货
0 人在求购买到急需产品
- 详细信息
- 文献和实验
- 技术资料
- 免疫原:
synthetic peptide derived from IL-8
- 亚型:
IgG1
- 形态:
Liquid
- 保存条件:
Store as concentrated solution. Centrifuge briefly prior to opening vial. For short-term storage (1-2 weeks), store at 4ºC. For long-term storage, aliquot and store at -20ºC or below. Avoid multiple freeze-thaw cycles.
- 克隆性:
Monoclonal
- 标记物:
Unconjugated
- 适应物种:
Human
- 保质期:
12 months from the shipping date of the product.
- 抗原来源:
Human
- 目录编号:
GTX34340
- 级别:
Primary Antibodies
- 库存:
Available
- 供应商:
GeneTex
- 宿主:
Mouse
- 应用范围:
IHC-P
- 浓度:
1 mg/ml (Please refer to the vial label for the specific concentration.)
- 靶点:
CXCL8 / IL8
- 抗体英文名:
CXCL8 / IL8 antibody [14E1]
- 抗体名:
CXCL8 / IL8 抗体 [14E1]
- 规格:
100 μl
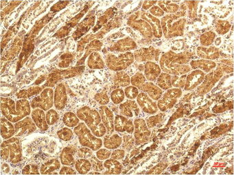
IHC-P analysis of human kidney tissue using GTX34340 CXCL8 / IL8 antibody [14E1].
Dilution : 1:200
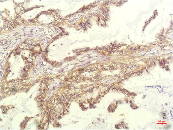
IHC-P analysis of human lung carcinoma tissue using GTX34340 CXCL8 / IL8 antibody [14E1].
Dilution : 1:200
风险提示:丁香通仅作为第三方平台,为商家信息发布提供平台空间。用户咨询产品时请注意保护个人信息及财产安全,合理判断,谨慎选购商品,商家和用户对交易行为负责。对于医疗器械类产品,请先查证核实企业经营资质和医疗器械产品注册证情况。
文献和实验1, ITGAL, PTPRC. Cell Adhesion (43): BBS2, CCL11, CCL2, CCL4, CCL5, CCR1, CCR3, CCR8, CD2, CD22, CD33, CD34, CD44, CD58, CD6, CD9, CSF3R, CX3CL1, CX3CR1, CXCL12, CXCR3, ENG, ICAM1, ICAM2, ICAM3, IL8, ITGA2, ITGA2B, ITGAE, ITGAL, ITGAX, ITGB2, ITGB3
技术资料暂无技术资料 索取技术资料







![c-Jun antibody [4H9]](https://img1.dxycdn.com/2023/0711/451/6106825198874858761-14.jpg!wh200)

