相关产品推荐更多 >
万千商家帮你免费找货
0 人在求购买到急需产品
- 详细信息
- 文献和实验
- 技术资料
- 免疫原:
Purified recombinant fragment of human c-Jun expressed in E. Coli.
- 亚型:
IgG1
- 形态:
Liquid
- 保存条件:
Store as concentrated solution. Centrifuge briefly prior to opening vial. For short-term storage (1-2 weeks), store at 4ºC. For long-term storage, aliquot and store at -20ºC or below. Avoid multiple freeze-thaw cycles.
- 克隆性:
Monoclonal
- 标记物:
Unconjugated
- 适应物种:
Human, Mouse
- 保质期:
12 months from the shipping date of the product.
- 抗原来源:
Human
- 目录编号:
GTX60485
- 级别:
Primary Antibodies
- 库存:
Available
- 供应商:
GeneTex
- 宿主:
Mouse
- 应用范围:
WB, ICC/IF, IHC-P, ELISA
- 靶点:
c-Jun
- 抗体英文名:
c-Jun antibody [4H9]
- 抗体名:
c-Jun 抗体 [4H9]
- 规格:
100 μl
ELISA analysis of antigen using GTX60485 c-Jun antibody [4H9].
Red : Control antigen 100ng
Purple : Antigen 10ng
Green : Antigen 50ng
Blue : Antigen 100ng
ICC/IF analysis of HeLa cells using GTX60485 c-Jun antibody [4H9].
Green : c-Jun
Blue: DRAQ5 fluorescent DNA dye
Red: Actin filaments
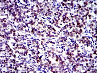
IHC-P analysis of cervical cancer tissue using GTX60485 c-Jun antibody [4H9].
WB analysis of human c-Jun (AA: 199-331) recombinant protein using GTX60485 c-Jun antibody [4H9].
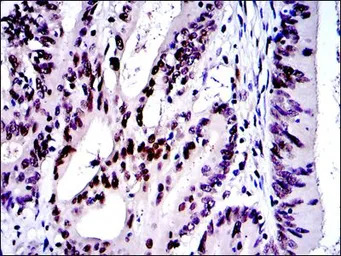
IHC-P analysis of colon cancer tissue using GTX60485 c-Jun antibody [4H9].
WB analysis of NIH3T3 cell lysate using GTX60485 c-Jun antibody [4H9].
风险提示:丁香通仅作为第三方平台,为商家信息发布提供平台空间。用户咨询产品时请注意保护个人信息及财产安全,合理判断,谨慎选购商品,商家和用户对交易行为负责。对于医疗器械类产品,请先查证核实企业经营资质和医疗器械产品注册证情况。
文献和实验secondary antibody review -- data from 99 publications
cytometry used as a control to detect cell responses targeted antigen 7 Alexa Fluor 488 7 Cy3 8 goat IgG Alexa Fluor 488 1:2000 detect antibody binding in human embryonic kidney 293T cells Invitrogen 9 donkey
of the kinases to GST-Jun (due to very high affinity) and the other is an IP kinase reaction. Substrate/Antibody, Lysate Interaction: 1. For GST c-Jun substrate interaction the quantity of protein on the beads is variable with the batch made (make
affinity) and the other is an IP kinase reaction. Substrate/Antibody, Lysate Interaction: 1. For GST c-Jun substrate interaction the quantity of protein on the beads is variable with the batch made (make fresh at least once a week). Generally
技术资料暂无技术资料 索取技术资料






![CD300a antibody [MEM-260] (PE)](https://img1.dxycdn.com/2023/0711/451/6106825198874858761-14.jpg!wh200)
![MGAT3 antibody [N3C3]](https://img1.dxycdn.com/2023/0711/255/2344116916935858761-14.jpg!wh200)

