相关产品推荐更多 >
万千商家帮你免费找货
0 人在求购买到急需产品
- 详细信息
- 文献和实验
- 技术资料
- 免疫原:
Recombinant human CD117 protein
- 亚型:
IgG1
- 形态:
Liquid
- 保存条件:
Store as concentrated solution. Centrifuge briefly prior to opening vial. For short-term storage (1-2 weeks), store at 4ºC. For long-term storage, aliquot and store at -20ºC or below. Avoid multiple freeze-thaw cycles.
- 克隆性:
Monoclonal
- 标记物:
Unconjugated
- 适应物种:
Human
- 保质期:
12 months from the shipping date of the product.
- 抗原来源:
Human
- 目录编号:
GTX34606
- 级别:
Primary Antibodies
- 库存:
Available
- 供应商:
GeneTex
- 宿主:
Mouse
- 应用范围:
IHC-P
- 浓度:
0.2 mg/ml (Please refer to the vial label for the specific concentration.)
- 靶点:
c-Kit
- 抗体英文名:
c-Kit antibody [C117/370]
- 抗体名:
c-Kit 抗体 [C117/370]
- 规格:
100 μg
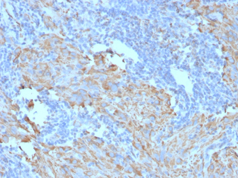
IHC-P analysis of human gastrointestinal stromal tumor (GIST) tissue using GTX34606 c-Kit antibody [C117/370].
IHC-P analysis of human gastrointestinal stromal tumor (GIST) tissue using GTX34606 c-Kit antibody [C117/370].
风险提示:丁香通仅作为第三方平台,为商家信息发布提供平台空间。用户咨询产品时请注意保护个人信息及财产安全,合理判断,谨慎选购商品,商家和用户对交易行为负责。对于医疗器械类产品,请先查证核实企业经营资质和医疗器械产品注册证情况。
文献和实验A c-Kit (2B8) FITC-IgG2b, 01904D FITC-IgG2b Isotype control, 11184C Fc RII block (clone 2.4G2), 01241D Media: Heat inactivated FBS (56°C x 30 min) PBS + 2% heat-inactivated
The production of monoclonal antibody by hybridoma
, A., Popkov, M., Cortez, X., Fuller, R., Elia, M., Kerwin, L., and C.F. Barbas III. (2003) Rapid monoclonal antibody generation via dendritic cell targeting in vivo. Hybridoma and Hybridomics 22 (1), 23-31.
Phycoerythrin conjugation protocol
. I used 117 x 1 cm. You can't really get away with anything smaller. Use a long thin one rather than a short fat one, since the latter did not work for me. Separation of the conjugate from the free reagents is tricky. *
技术资料暂无技术资料 索取技术资料





![NMDAR2B antibody [S59-36]](https://img1.dxycdn.com/2023/0711/451/6106825198874858761-14.jpg!wh200)


![CD35 antibody [E11] (PE)](https://custom.dxycdn.com/trademd/upload/pic/2011/12/14/1323695845.jpg!small.t.1)


