相关产品推荐更多 >
万千商家帮你免费找货
0 人在求购买到急需产品
- 详细信息
- 文献和实验
- 技术资料
- 免疫原:
A synthetic peptide (around aa 20-60) from the N-terminus of human TACSTD1 protein
- 亚型:
IgG
- 形态:
Liquid
- 保存条件:
Store as concentrated solution. Centrifuge briefly prior to opening vial. For short-term storage (1-2 weeks), store at 4ºC. For long-term storage, aliquot and store at -20ºC or below. Avoid multiple freeze-thaw cycles.
- 克隆性:
Monoclonal
- 标记物:
Unconjugated
- 适应物种:
Human
- 保质期:
12 months from the shipping date of the product.
- 抗原来源:
Human
- 目录编号:
GTX34707
- 级别:
Primary Antibodies
- 库存:
Available
- 供应商:
GeneTex
- 宿主:
Rabbit
- 应用范围:
IHC-P, FACS
- 浓度:
0.2 mg/ml (Please refer to the vial label for the specific concentration.)
- 靶点:
We do not recommend use of this product for Mouse,Rat.
- 抗体英文名:
EpCAM antibody [EGP40/1555R]
- 抗体名:
EpCAM 抗体 [EGP40/1555R]
- 规格:
100 μg
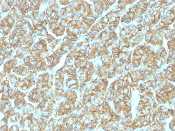
IHC-P analysis of human thyroid carcinoma tissue using GTX34707 EpCAM antibody [EGP40/1555R].
FACS analysis of trypsinized-MCF-7 cells using GTX34707 EpCAM antibody [EGP40/1555R].
Blue : Primary antibody
Red : Isotype control
风险提示:丁香通仅作为第三方平台,为商家信息发布提供平台空间。用户咨询产品时请注意保护个人信息及财产安全,合理判断,谨慎选购商品,商家和用户对交易行为负责。对于医疗器械类产品,请先查证核实企业经营资质和医疗器械产品注册证情况。
文献和实验The production of monoclonal antibody by hybridoma
, A., Popkov, M., Cortez, X., Fuller, R., Elia, M., Kerwin, L., and C.F. Barbas III. (2003) Rapid monoclonal antibody generation via dendritic cell targeting in vivo. Hybridoma and Hybridomics 22 (1), 23-31.
抗子宫内膜抗体(endomethal antibody,EMAb)检测
胶原酶,收集筛网上子宫内膜腺体,经玻璃匀浆器匀浆后,1 000r/min离心20rain,弃沉淀,上清通过抗人全血清-Sepharose 4B柱,收集流洗液。浓缩后,双向免疫扩散与抗人全血清、抗人纤维蛋白原抗体之间应无沉淀线,作为包被抗原;②HRP标记的SPA结合物,用方阵法滴定最适工作浓度。 2.操作步骤 在聚苯乙烯反应板每孔加100uL子宫内膜抗原(1:100),4T:,包被过夜,常法洗涤。用含15%小牛血清的pH7.40.
Single Primer ("Semi-Random") P
to about 1 ng/µL 3 µL "T/TS" @ 0.4 u Taq/µL -------- 30 µL Cycle as follows: 30"x94°C 20 cycles 0"x94°C 0"x55°C 1'x72° S=9 30 cycles 0"x94°C 0"x40°C 1'x72° S=6 30 cycles 0"x94°C 0"x55°C 1'x72° S=9 Clean up: Add 1 µL ExoI
技术资料暂无技术资料 索取技术资料







![ARID5A antibody [GT921]](https://img1.dxycdn.com/2023/0711/451/6106825198874858761-14.jpg!wh200)

