相关产品推荐更多 >
万千商家帮你免费找货
0 人在求购买到急需产品
- 详细信息
- 文献和实验
- 技术资料
- 免疫原:
Murine EHS laminin preparation
- 亚型:
IgG2a
- 形态:
Liquid
- 保存条件:
Store as concentrated solution. Centrifuge briefly prior to opening vial. For short-term storage (1-2 weeks), store at 4ºC. For long-term storage, aliquot and store at -20ºC or below. Avoid multiple freeze-thaw cycles.
- 克隆性:
Monoclonal
- 标记物:
Unconjugated
- 适应物种:
Human, Mouse
- 保质期:
12 months from the shipping date of the product.
- 抗原来源:
Mouse
- 目录编号:
GTX34805
- 级别:
Primary Antibodies
- 库存:
Available
- 供应商:
GeneTex
- 宿主:
Rat
- 应用范围:
ICC/IF, IHC-P, FACS
- 浓度:
0.2 mg/ml (Please refer to the vial label for the specific concentration.)
- 靶点:
This MAb reacts with laminin B2/1 chain of ~210kDa and does not cross-react with other basement membrane components or fibronectin. This MAb stains uniformly all human and murine basement membranes.
- 抗体英文名:
Laminin gamma 1 antibody [A5]
- 抗体名:
Laminin gamma 1 抗体 [A5]
- 规格:
100 μg
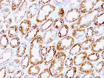
IHC-P analysis of human renal cell carcinoma tissue using GTX34805 Laminin gamma 1 antibody [A5].
风险提示:丁香通仅作为第三方平台,为商家信息发布提供平台空间。用户咨询产品时请注意保护个人信息及财产安全,合理判断,谨慎选购商品,商家和用户对交易行为负责。对于医疗器械类产品,请先查证核实企业经营资质和医疗器械产品注册证情况。
文献和实验ELISPOT (Enzyme-linked ImmunoSPOT)
A 88-7370 eBio17CK15A5 eBio17B7 TNF-α 88-7328 1F3F3D4 mAb Cocktail Table 2: Human ELISPOT Ready-Set-Go! Sets & Antibody Selection Quick Guide
Intracellular Cytokine Staining Protocol
by flow cytometry since cytokine levels are typically too low in freshly-prepared cells. Stimulation of cells with the appropriate reagent will depend on the cell type and the experimental conditions. For example, to stimulate T cells to produce IFN-gamma
Intracellular Cytokine Staining Protocol
to produce IFN-gamma, TNF-alpha, IL-2, and IL-4, a combination of PMA (a PKC activator) and Ionomycin (a calcium ionophore) or anti-CD3 antibodies are used. To induce IL-6, IL-10 or TNF-alpha production by monocytes, stimulation of PBMC's with LPS is used
技术资料暂无技术资料 索取技术资料





![VWF antibody [3E2D10]](https://img1.dxycdn.com/2023/0711/451/6106825198874858761-14.jpg!wh200)


