相关产品推荐更多 >
万千商家帮你免费找货
0 人在求购买到急需产品
- 详细信息
- 文献和实验
- 技术资料
- 免疫原:
The clone 3F4 is derived from hybridization of mouse F0 myeloma cells with spleen cells from BALB/c mice immunized with a recombinant human FABP6 protein.
- 亚型:
IgG1
- 形态:
Liquid
- 保存条件:
Store as concentrated solution. Centrifuge briefly prior to opening vial. For short-term storage (1-2 weeks), store at 4ºC. For long-term storage, aliquot and store at -20ºC or below. Avoid multiple freeze-thaw cycles.
- 克隆性:
Monoclonal
- 标记物:
Unconjugated
- 适应物种:
Human, Mouse
- 保质期:
12 months from the shipping date of the product.
- 抗原来源:
Human
- 目录编号:
GTX57547
- 级别:
Primary Antibodies
- 库存:
Available
- 供应商:
GeneTex
- 宿主:
Mouse
- 应用范围:
WB, ICC/IF
- 浓度:
1 mg/ml (Please refer to the vial label for the specific concentration.)
- 靶点:
FABP4
- 抗体英文名:
FABP4 antibody [3F4]
- 抗体名:
FABP4 抗体 [3F4]
- 规格:
100 μl
WB analysis of Mouse adipose tissue lysate using GTX57547 FABP4 antibody.
Loading : 40 μg
Dilution : 1:1000
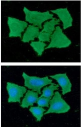
ICC/IF analysis of HeLa cells using GTX57547 FABP4 antibody.
Blue: DAPI
Green: Primary antibody
Dilution: 1:100
WB analysis of Mouse heart tissue lysate using GTX57547 FABP4 antibody.
Loading : 40 μg
Dilution : 1:500
风险提示:丁香通仅作为第三方平台,为商家信息发布提供平台空间。用户咨询产品时请注意保护个人信息及财产安全,合理判断,谨慎选购商品,商家和用户对交易行为负责。对于医疗器械类产品,请先查证核实企业经营资质和医疗器械产品注册证情况。
文献和实验that likely serve as substrates for this transporter. In this procedure, monoclonal antibodies directed either against an epitope within ABCA4 (Rim 3F4 antibody) or against the 9 amino acid 1D4 epitope tag engineered onto the C-terminus
Phenotypic Analysis of BAT versus WAT Differentiation
CAGCGTCATGGTCAGTCTGT AGAAAACCGTGTGGCAGAGA Fabp4
技术资料暂无技术资料 索取技术资料





![PASK antibody [C2C3], C-term](https://img1.dxycdn.com/2023/0711/255/2344116916935858761-14.jpg!wh200)
![BCL3 antibody [Ham150-3.5]](https://custom.dxycdn.com/trademd/upload/pic/2011/12/14/1323695840.jpg!small.t.1)
![CD81 antibody [1.3.3.22]](https://img1.dxycdn.com/2023/0711/451/6106825198874858761-14.jpg!wh200)

