相关产品推荐更多 >
万千商家帮你免费找货
0 人在求购买到急需产品
- 详细信息
- 文献和实验
- 技术资料
- 免疫原:
Human serum albumin
- 亚型:
IgG1
- 形态:
Liquid
- 保存条件:
Store as concentrated solution. Centrifuge briefly prior to opening vial. For short-term storage (1-2 weeks), store at 4ºC. For long-term storage, aliquot and store at -20ºC or below. Avoid multiple freeze-thaw cycles.
- 克隆性:
Monoclonal
- 标记物:
Unconjugated
- 适应物种:
Human, Mouse
- 保质期:
12 months from the shipping date of the product.
- 抗原来源:
Human
- 目录编号:
GTX60252
- 级别:
Primary Antibodies
- 库存:
Available
- 供应商:
GeneTex
- 宿主:
Mouse
- 应用范围:
WB, IHC-P
- 浓度:
1 mg/ml (Please refer to the vial label for the specific concentration.)
- 靶点:
Albumin
- 抗体英文名:
Albumin antibody [3F4]
- 抗体名:
Albumin 抗体 [3F4]
- 规格:
100 μl
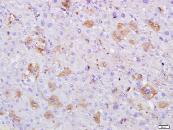
IHC-P analysis of human hepatocellular carcinoma tissue using GTX60252 Albumin antibody [3F4].
Antigen retrieval : Boiling in sodium citrate buffer (pH6) for 15min
Dilution : 1:500
WB analysis of various samples using GTX60252 Albumin antibody [3F4].
Dilution : 1:300
Lane 1 : mouse lung lysates
Lane 2 : mouse spleen lysates
WB analysis of A549 cell lysates using GTX60252 Albumin antibody [3F4].
Dilution : 1:300
风险提示:丁香通仅作为第三方平台,为商家信息发布提供平台空间。用户咨询产品时请注意保护个人信息及财产安全,合理判断,谨慎选购商品,商家和用户对交易行为负责。对于医疗器械类产品,请先查证核实企业经营资质和医疗器械产品注册证情况。
文献和实验environment with little denaturation. Purified antibodies: Once purified, if the antibody is at less than 0.1 mg/ml add a small amount of detergent or protein (0.1% TWEEN-20 or 1% bovine serum albumin) and some protease inhibitors to the solution
volumes running buffer (the serum albumin should stick to the column and the Ig should flow through).(6) On ice slowly add saturated ammonium sulfate to 45% (550 ml sample 450 ml saturated ammonium sulfate). Tilt overnight at 4°C.(7) Pellet by spinning
Antibody Purification This protocol includes an ammonium sulfate cut, affigel blue chromatography and affinity chromatography. Solutions Affigel Blue Prewash 0.1 M acetic acid 5.7 ml glacial acetic acid
技术资料暂无技术资料 索取技术资料







![KLF11 antibody [N2C2], Internal](https://custom.dxycdn.com/trademd/upload/pic/2011/12/20/1324016002.jpg!small.t.1)

