相关产品推荐更多 >
万千商家帮你免费找货
0 人在求购买到急需产品
- 详细信息
- 文献和实验
- 技术资料
- 免疫原:
Recombinant full-length human EGFR protein.
- 亚型:
IgG1
- 形态:
Liquid
- 保存条件:
Store as concentrated solution. Centrifuge briefly prior to opening vial. For short-term storage (1-2 weeks), store at 4ºC. For long-term storage, aliquot and store at -20ºC or below. Avoid multiple freeze-thaw cycles.
- 克隆性:
Monoclonal
- 标记物:
Unconjugated
- 适应物种:
Human
- 保质期:
12 months from the shipping date of the product.
- 抗原来源:
Human
- 目录编号:
GTX01568
- 级别:
Primary Antibodies
- 库存:
Available
- 供应商:
GeneTex
- 宿主:
Mouse
- 应用范围:
WB, IHC-P
- 浓度:
0.2 mg/ml (Please refer to the vial label for the specific concentration.)
- 靶点:
EGFR
- 抗体英文名:
EGFR antibody [GFR/1667]
- 抗体名:
EGFR 抗体 [GFR/1667]
- 规格:
100 μg
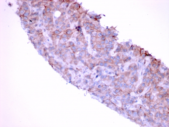
IHC-P analysis of human lung SqCC tissue using GTX01568 EGFR antibody [GFR/1667].
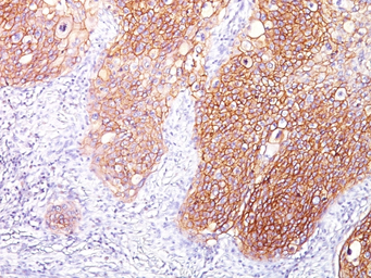
IHC-P analysis of human bladder tissue using GTX01568 EGFR antibody [GFR/1667].
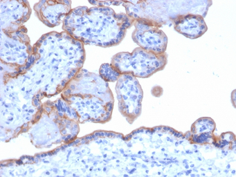
IHC-P analysis of human placenta tissue using GTX01568 EGFR antibody [GFR/1667].
WB analysis of A431 cell lysate using GTX01568 EGFR antibody [GFR/1667].
风险提示:丁香通仅作为第三方平台,为商家信息发布提供平台空间。用户咨询产品时请注意保护个人信息及财产安全,合理判断,谨慎选购商品,商家和用户对交易行为负责。对于医疗器械类产品,请先查证核实企业经营资质和医疗器械产品注册证情况。
文献和实验antibody and progression in tumor therapy【abstract】EGFR is encoded by the c-erb-B1 proto-oncngene. it is reported that the over-expressed and mutant EGFR have good relationship with tumor.Now it has become a new field in tumor therapy.This text
【翻译】Development trends for monoclonal antibody cancer therapeutics
). However, since 2000, humanized and human mAbs have been entering clinical study at approximately the same rate (4.3 versus 4.5 mAbs per year, respectively). Figure 1 | Categories of monoclonal antibody cancer therapeutics entering clinical study during 1980–1989
Nature 综述导读:FDA 批准第 100 个抗体药物!抗体药物的研究方向在哪里?
仍超过 50 亿美元。 图七 Journal of Biomedical Science (2020) 27:1来自抗体协会 (Antibody Society) 的数据显示,临床管道中也存在类似的大量内卷现象。目前有将近 870 种抗体在临床开发中,但其中大约 36% 的抗体集中在下表二的 10 个靶点中。PD1/PDL1、HER2、CTLA4、EGFR 和 CD20 仍然占据较高的比例。 表二:Nature Reviews Drug Discovery 20, 10 (2021)癌症将继续占据
技术资料暂无技术资料 索取技术资料





![DMTF1 antibody [N3C2], Internal](https://img1.dxycdn.com/2023/0516/045/6925717576889828561-14.jpg!wh200)

![CD22 antibody [S-HCL-1] (PE)](https://img1.dxycdn.com/2023/0711/451/6106825198874858761-14.jpg!wh200)

