相关产品推荐更多 >
万千商家帮你免费找货
0 人在求购买到急需产品
- 详细信息
- 文献和实验
- 技术资料
- 免疫原:
Full length human recombinant protein of human HDAC6 (NP_006035) produced in HEK293T cell.
- 亚型:
IgG1
- 形态:
Liquid
- 保存条件:
Store as concentrated solution. Centrifuge briefly prior to opening vial. For short-term storage (1-2 weeks), store at 4ºC. For long-term storage, aliquot and store at -20ºC or below. Avoid multiple freeze-thaw cycles.
- 克隆性:
Monoclonal
- 标记物:
Unconjugated
- 适应物种:
Human, Mouse, Rat, Dog, Monkey
- 保质期:
12 months from the shipping date of the product.
- 抗原来源:
Human
- 目录编号:
GTX84377
- 级别:
Primary Antibodies
- 库存:
Available
- 供应商:
GeneTex
- 宿主:
Mouse
- 应用范围:
WB, ICC/IF, IHC-P, FACS
- 浓度:
0.84 mg/ml (Please refer to the vial label for the specific concentration.)
- 靶点:
HDAC6
- 抗体英文名:
HDAC6 antibody [4C5]
- 抗体名:
HDAC6 抗体 [4C5]
- 规格:
100 μl
WB analysis of HEK293T cells transfected with HDAC6 plasmid (Right) or empty vector (Left) for 48 hrs using GTX84377 HDAC6 antibody [4C5].
Loading : 5 ug per lane
ICC/IF analysis of COS7 cells transiently transfected with HDAC6 plasmid using GTX84377 HDAC6 antibody [4C5].
IHC-P analysis of human kidney tissue using GTX84377 HDAC6 antibody [4C5].
Dilution : 1:150
FACS analysis of HeLa cells using GTX84377 HDAC6 antibody [4C5].
Red : Primary antibody
Blue : Negative control antibody
FACS analysis of HEK293T cells transfected with either HDAC6 plasmid(Red) or empty vector control plasmid(Blue) using GTX84377 HDAC6 antibody [4C5].
IHC-P analysis of human liver tissue using GTX84377 HDAC6 antibody [4C5].
Dilution : 1:150
IHC-P analysis of human colon tissue using GTX84377 HDAC6 antibody [4C5].
Dilution : 1:150
FACS analysis of Jurkat cells using GTX84377 HDAC6 antibody [4C5].
Red : Primary antibody
Blue : Negative control antibody
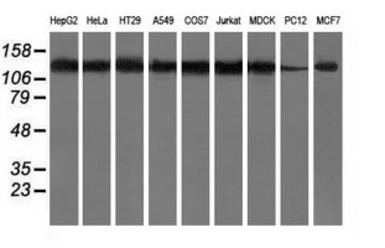
WB analysis of various cell lines using GTX84377 HDAC6 antibody [4C5].
Loading : 35 ug per lane
IHC-P analysis of human ovary adenocarcinoma tissue using GTX84377 HDAC6 antibody [4C5].
Dilution : 1:150
风险提示:丁香通仅作为第三方平台,为商家信息发布提供平台空间。用户咨询产品时请注意保护个人信息及财产安全,合理判断,谨慎选购商品,商家和用户对交易行为负责。对于医疗器械类产品,请先查证核实企业经营资质和医疗器械产品注册证情况。
文献和实验Kim S et al., STAR Protoc 2021 (PMID:34337443)
Zhang L et al., Cell Mol Gastroenterol Hepatol 2020 (PMID:33075563)
Feng CW et al., Front Neurosci 2019 (PMID:31440123)
Tsai HD et al., Neuromolecular Med 2016 (PMID:27165113)
He Q et al., Mol Biol Cell 2014 (PMID:24694597)
He Q et al., Mol Biol Cell 2012 (PMID:22718902)
Huang PY et al., Am J Cancer Res 2022 (PMID:35261809)
技术资料暂无技术资料 索取技术资料





![ATRX antibody [rATRX/3446]](https://img1.dxycdn.com/2023/0711/451/6106825198874858761-14.jpg!wh200)

![CD200R antibody [OX108] (FITC)](https://custom.dxycdn.com/trademd/upload/pic/2011/12/14/1323695851.jpg!small.t.1)

