相关产品推荐更多 >
万千商家帮你免费找货
0 人在求购买到急需产品
- 详细信息
- 文献和实验
- 技术资料
- 免疫原:
A synthetic peptide corresponding to the N-terminus of the Human Cytokeratin 14.
- 亚型:
IgG
- 形态:
Liquid
- 保存条件:
Store as concentrated solution. Centrifuge briefly prior to opening vial. For short-term storage (1-2 weeks), store at 4ºC. For long-term storage, aliquot and store at -20ºC or below. Avoid multiple freeze-thaw cycles.
- 克隆性:
Monoclonal
- 标记物:
Unconjugated
- 适应物种:
Human
- 保质期:
12 months from the shipping date of the product.
- 抗原来源:
Human
- 目录编号:
GTX02091
- 级别:
Primary Antibodies
- 库存:
Available
- 供应商:
GeneTex
- 宿主:
Rabbit
- 应用范围:
WB, IHC-P, IP
- 浓度:
Batch dependent (Please refer to the vial label for the specific concentration.)
- 靶点:
Cytokeratin 14
- 抗体英文名:
Cytokeratin 14 antibody [101]
- 抗体名:
Cytokeratin 14 抗体 [101]
- 规格:
100 μl
IP analysis of A431 whole cell lysate using GTX02091 Cytokeratin 14 antibody [101].
IP antibody : 2 μl per 0.5 mg total whole cell lysate
Dilution : 1:100
Immunomagnetic beads Protein G : 60 μg
IHC-P analysis of human skin tissue section using GTX02091 Cytokeratin 14 antibody [101].
Dilution : 1:20000
WB analysis of A431 whole cell lysate (Lane A) using GTX02091 Cytokeratin 14 antibody [101].
Dilution : 1:500
Loading : 30 μg
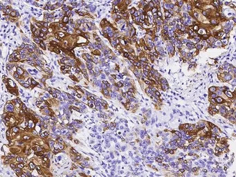
IHC-P analysis of human esophageal carcinoma tissue section using GTX02091 Cytokeratin 14 antibody [101].
Dilution : 1:20000
风险提示:丁香通仅作为第三方平台,为商家信息发布提供平台空间。用户咨询产品时请注意保护个人信息及财产安全,合理判断,谨慎选购商品,商家和用户对交易行为负责。对于医疗器械类产品,请先查证核实企业经营资质和医疗器械产品注册证情况。
文献和实验of the tryptic peptides derived from the purified enzyme revealed two amino acid sequences homologous to the 14-3-3 proteins. A polyclonal antibody was raised against purified ST-IV. A 33 kDa protein was co-immunoprecipitated from rat brain extracts with the anti
【资源】Methods In Molecular Biology Collection - Volumes 101-200
缺9卷 Methods In Molecular Biology Collection - Volumes 101-200 101-Mycobacteria Protocols-Methods in Mol Biol Vol 101.pdf 102-Bioluminescence Methods and Protocols-Methods in Mol Biol Vol 102.pdf 103-Pichia Protocols-Methods in Mol Biol Vol
Introduction of human 14-3-3 proteins
of the tryptic peptides derived from the purified enzyme revealed two amino acid sequences homologous to the 14-3-3 proteins.A polyclonal antibody was raised against purified ST-IV.A 33 kDa protein was co-immunoprecipitated from rat brain extracts with the anti
技术资料暂无技术资料 索取技术资料





![GST tag antibody [BDI340]](https://img1.dxycdn.com/2023/0711/451/6106825198874858761-14.jpg!wh200)
![GADD45G antibody [C1C3]](https://img1.dxycdn.com/2023/0711/255/2344116916935858761-14.jpg!wh200)

![PIP5K2 alpha antibody [N1], N-term](https://custom.dxycdn.com/trademd/upload/pic/2011/12/20/1324016002.jpg!small.t.1)

