相关产品推荐更多 >
万千商家帮你免费找货
0 人在求购买到急需产品
- 详细信息
- 文献和实验
- 技术资料
- 免疫原:
OTN 11, ovarian carcinoma cell line
- 亚型:
IgG1
- 形态:
Liquid
- 保存条件:
Store as concentrated solution. Centrifuge briefly prior to opening vial. For short-term storage (1-2 weeks), store at 4ºC. For long-term storage, aliquot and store at -20ºC or below. Avoid multiple freeze-thaw cycles.
- 克隆性:
Monoclonal
- 标记物:
Unconjugated
- 适应物种:
Human
- 保质期:
12 months from the shipping date of the product.
- 抗原来源:
Human
- 目录编号:
GTX34662
- 级别:
Primary Antibodies
- 库存:
Available
- 供应商:
GeneTex
- 宿主:
Mouse
- 应用范围:
WB, ICC/IF, IHC-P, FACS
- 浓度:
0.2 mg/ml (Please refer to the vial label for the specific concentration.)
- 靶点:
This antibody recognizes an intermediate filament protein (IFP) of 55kDa, which is identified as cytokeratin 7. This MAb is highly specific to cytokeratin 7 and shows no cross-reaction with other IFPs.
- 抗体英文名:
Cytokeratin 7 antibody [OV-TL12/30]
- 抗体名:
Cytokeratin 7 抗体 [OV-TL12/30]
- 规格:
100 μg
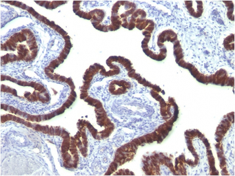
IHC-P analysis of human ovarian carcinoma tissue using GTX34662 Cytokeratin 7 antibody [OV-TL12/30].
FACS analysis of HeLa cells using GTX34662 Cytokeratin 7 antibody [OV-TL12/30].
Blue : Primary antibody
Red : Isotype control
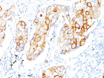
IHC-P analysis of human lung scc tissue using GTX34662 Cytokeratin 7 antibody [OV-TL12/30].
WB analysis of HeLa cell lysate using GTX34662 Cytokeratin 7 antibody [OV-TL12/30].
ICC/IF analysis of methanol-fixed HeLa cells using GTX34662 Cytokeratin 7 antibody [OV-TL12/30].
Green : Primary antibody
Red : nucleus
风险提示:丁香通仅作为第三方平台,为商家信息发布提供平台空间。用户咨询产品时请注意保护个人信息及财产安全,合理判断,谨慎选购商品,商家和用户对交易行为负责。对于医疗器械类产品,请先查证核实企业经营资质和医疗器械产品注册证情况。
文献和实验Antibody Staining of Imaginal Discs
minutes each wash. 7. Replace last wash with 452 ul Tri-PBS, 5 ul 10% BSA, and 40 ul normal goat serum (NGS); rock for 30 minutes. 8. Add primary antibody directly to the tube and rock overnight at room temperature. 9. Wash tissues 5 times
Antibody Staining of Larval Imaginal Discs
Antibody Staining of Larval Imaginal Discs 1. Dissect discs in PBS. 2. Fix in 3% formalin in PBS for 15-30 minutes at room temperature. 3. Wash for 30 minutes in 3 changes of PBT.
Protocol for anti-HA antibody Western Blotting
of interest. 2) Transfer proteins in acrylamide gel to nylon membrane. 3) Block overnight @4℃ in PBS (or TBS, it doesn't matter) with 5% non-fat dry milk. I dilute 2.5 mg in 50 ml. 4) Wash off excess milk sol'n with PBS x3 .(important if you are re-using your antibody
技术资料暂无技术资料 索取技术资料






![Renin Receptor antibody [N3C3]](https://img1.dxycdn.com/2023/0711/255/2344116916935858761-14.jpg!wh200)
![gamma Catenin antibody [CTNG/1664]](https://img1.dxycdn.com/2023/0711/451/6106825198874858761-14.jpg!wh200)

