相关产品推荐更多 >
万千商家帮你免费找货
0 人在求购买到急需产品
- 详细信息
- 文献和实验
- 技术资料
- 免疫原:
Recombinant full-length human NCL protein
- 亚型:
IgG1
- 形态:
Liquid
- 保存条件:
Store as concentrated solution. Centrifuge briefly prior to opening vial. For short-term storage (1-2 weeks), store at 4ºC. For long-term storage, aliquot and store at -20ºC or below. Avoid multiple freeze-thaw cycles.
- 克隆性:
Monoclonal
- 标记物:
Unconjugated
- 适应物种:
Human
- 保质期:
12 months from the shipping date of the product.
- 抗原来源:
Human
- 目录编号:
GTX34914
- 级别:
Primary Antibodies
- 库存:
Available
- 供应商:
GeneTex
- 宿主:
Mouse
- 应用范围:
WB, ICC/IF, IHC-P, FACS
- 浓度:
0.2 mg/ml (Please refer to the vial label for the specific concentration.)
- 靶点:
We do not recommend use of this product for Bovine,Mouse,Rat.
- 抗体英文名:
Nucleolin antibody [NCL/902]
- 抗体名:
Nucleolin 抗体 [NCL/902]
- 规格:
100 μg
FACS analysis of Jurkat cells using GTX34914 Nucleolin antibody [NCL/902].
Grey : Isotype Control
Other : Primary antibody
ICC/IF analysis of HeLa cells using GTX34914 Nucleolin antibody [NCL/902].
Green : Primary antibody
Blue : nucleus
IHC-P analysis of human tonsil tissue using GTX34914 Nucleolin antibody [NCL/902].
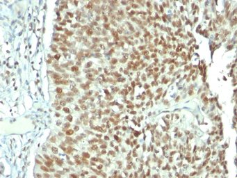
IHC-P analysis of human bladder carcinoma tissue using GTX34914 Nucleolin antibody [NCL/902].
ICC/IF analysis of PFA-fixed MCF-7 cells using GTX34914 Nucleolin antibody [NCL/902].
Green : Primary antibody
Red : Phalloidin
ICC/IF analysis of PFA-fixed K562 cells using GTX34914 Nucleolin antibody [NCL/902].
Green : Primary antibody
Red : Phalloidin
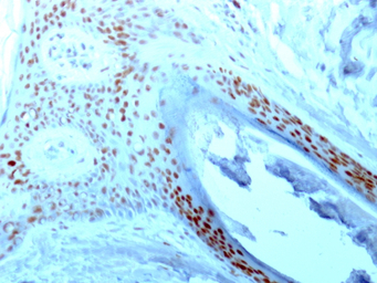
IHC-P analysis of human skin tissue using GTX34914 Nucleolin antibody [NCL/902].
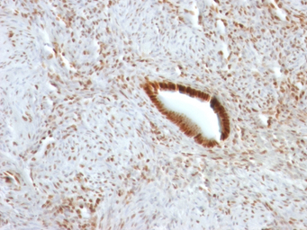
IHC-P analysis of human uterus tissue using GTX34914 Nucleolin antibody [NCL/902].
ICC/IF analysis of HeLa cells using GTX34914 Nucleolin antibody [NCL/902].
Green : Primary antibody
Blue : nucleus
WB analysis of A431 cell lysate using GTX34914 Nucleolin antibody [NCL/902].
FACS analysis of 293T cells using GTX34914 Nucleolin antibody [NCL/902].
Black : Blank
Grey : Isotype Control
Green : Primary antibody
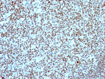
IHC-P analysis of human ovarian carcinoma tissue using GTX34914 Nucleolin antibody [NCL/902].
风险提示:丁香通仅作为第三方平台,为商家信息发布提供平台空间。用户咨询产品时请注意保护个人信息及财产安全,合理判断,谨慎选购商品,商家和用户对交易行为负责。对于医疗器械类产品,请先查证核实企业经营资质和医疗器械产品注册证情况。
文献和实验Typical modification sites: RGG box or RXR sequence motifs R-arginine, G-glycine, X-any aminoacid. Enzymes catalysing protein arginine methylation: PRMT1 from rat and the human homologue HRMT1L2, human PRMT2 (HRMT1L1), rat and human PRMT
【讨论】抗体和那些不能说的"秘密"-抗体选择的PASS标准 (请加精)
。 几年前很多科研工作者都使用一个公司生产的anti-hTERT antibody并发表了像Cancer Research等高影响因子的论文约20篇。但后来法国和中国的研究人员无意中发现这个抗体 实际上识别的是另外一个叫做nucleolin 的蛋白,并非hTERT,并将验证的工作发表在200 6年的Journal of Cell Science. 很多抗体公司几乎不去对那些同源性很近的蛋白,或者同一个蛋白家族的其他成员去做一 些抗体的交叉
[资源] 所有的看家基因(housekeeping genes)列表+引物设计服务
NM_005381 Homo sapiens nucleolin (NCL), mRNA 2043 NM_005439 Homo sapiens myeloid leukemia factor 2 (MLF2), mRNA 697 NM_006445 Homo sapiens PRP8 pre-mRNA processing factor 8 homolog (yeast) (PRPF8), mRNA 1384 NM_019059 Homo sapiens homolog
技术资料暂无技术资料 索取技术资料





![TNF Receptor II antibody [R204]](https://img1.dxycdn.com/2023/0711/451/6106825198874858761-14.jpg!wh200)


