万千商家帮你免费找货
0 人在求购买到急需产品
- 详细信息
- 技术资料
- 提供商:
嘉兴硕玺生物有限公司
- 服务名称:
苏丹黑B染色
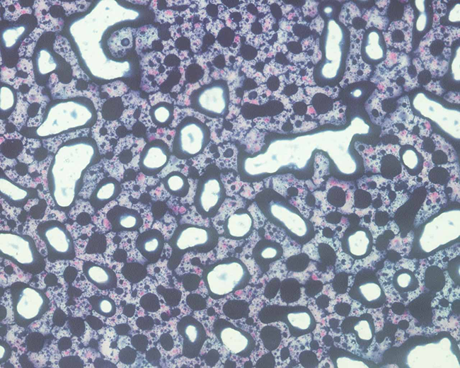
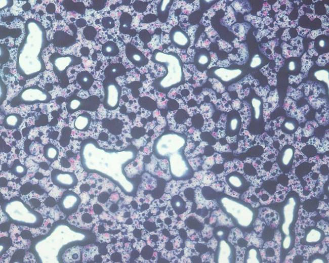
苏丹黑B染色原理 苏丹黑B是一种脂溶性染料,可溶解于脂类中,使细胞内脂类着色而显示出来。对中性脂肪,尤其对磷脂的亲和力更具有特 异性,不仅能显示大的脂肪滴,而且可显示微细结构中的隐性脂类。
苏丹黑B染色实验方法:
- 干燥涂片浸于10%甲醛盐水中10min。
- 自来水冲洗10min,蒸馏水冲洗,晾干。
- 置入染液中,37℃染色1~12h。
- 置70%乙醇溶液中脱色3min,晾干。
(5)用瑞氏染液复染20~30min。
注意事项
霍奇金病、恶性贫血、戈谢病可见阳性或弱阳性反应;再生障碍性贫血时,阳性增多。
参考范围
阳性产物为黑色或蓝黑色颗粒定位于胞浆中。
粒细胞除原粒细胞外,均可见阳性颗粒,l嗜酸粒细胞呈泡状阳性;单核细胞大多呈弱阳性反应,其颗粒细小,l散在分布; 淋巴细胞、幼红细胞、巨核细胞和血小板呈阴性反应。
影响因素
- 苏丹黑B贮存液配好后,染料充分溶解后再用。
- 苏丹黑B贮存液为无水乙醇所配,易挥发,所以容器封闭性能要好,并置4℃冰箱保存。
- 苏丹黑B染色液可用1~2个月,如发生沉淀由蓝色变为褐色,l则不宜再用。 4.缓冲液在临用前应混匀,l对结果方能无影响。
5.避免部分脂肪溶解,涂片在染色前勿沾上丙.酮、yi醚、氯仿等溶剂。
临床意义
SB染色与POX结果相似,l但SB较POX更敏感。SB染色主要应用于各种急性白血病鉴别。急性粒细胞白血病原粒细胞呈阴 性反应,l少数阳性;早幼粒细胞呈阳性反应。急性淋巴细胞白血病各期淋巴细胞均为阴性,l急性单核细胞白血病原单核细 胞为阴性,l少数为小而细小的阳性。再生障碍贫血时成熟中性粒细胞的反应阳性程度增高;慢性粒细胞白血病、i霍奇金 病、i恶性贫血可见阳性减弱;戈谢细胞呈弱阳性;尼曼-匹克细胞呈中等阳性。再生障碍性贫血时阳性增多。
风险提示:丁香通仅作为第三方平台,为商家信息发布提供平台空间。用户咨询产品时请注意保护个人信息及财产安全,合理判断,谨慎选购商品,商家和用户对交易行为负责。对于医疗器械类产品,请先查证核实企业经营资质和医疗器械产品注册证情况。
技术资料暂无技术资料 索取技术资料
苏丹黑B染色
询价










