相关产品推荐更多 >
万千商家帮你免费找货
0 人在求购买到急需产品
- 详细信息
- 技术资料
- 免疫原:
Recombinant full-length human BAX protein.
- 亚型:
IgG1
- 形态:
Liquid
- 保存条件:
Store as concentrated solution. Centrifuge briefly prior to opening vial. For short-term storage (1-2 weeks), store at 4ºC. For long-term storage, aliquot and store at -20ºC or below. Avoid multiple freeze-thaw cycles.
- 克隆性:
Monoclonal
- 标记物:
Unconjugated
- 适应物种:
Human, Monkey
- 保质期:
12 months from the shipping date of the product.
- 抗原来源:
Human
- 目录编号:
GTX34421
- 级别:
Primary Antibodies
- 库存:
Available
- 供应商:
GeneTex
- 宿主:
Mouse
- 应用范围:
IHC-P, FACS
- 浓度:
0.2 mg/ml (Please refer to the vial label for the specific concentration.)
- 靶点:
This MAb is highly specific to Bax and shows no cross-reaction with Bcl-2 or Bcl-X protein.,We do not recommend use of this product for Mouse,Rat.
- 抗体英文名:
Bax antibody [BAX/962]
- 抗体名:
Bax 抗体 [BAX/962]
- 规格:
100 μg
FACS analysis of Jurkat cells using GTX34421 Bax antibody [BAX/962].
Blue : Primary antibody
Red : Isotype control
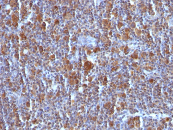
IHC-P analysis of human melanoma tissue using GTX34421 Bax antibody [BAX/962].
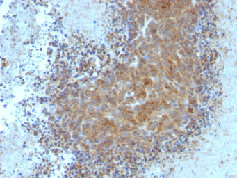
IHC-P analysis of Hodgkin's lymphoma tissue using GTX34421 Bax antibody [BAX/962].
风险提示:丁香通仅作为第三方平台,为商家信息发布提供平台空间。用户咨询产品时请注意保护个人信息及财产安全,合理判断,谨慎选购商品,商家和用户对交易行为负责。对于医疗器械类产品,请先查证核实企业经营资质和医疗器械产品注册证情况。
技术资料暂无技术资料 索取技术资料


![Bax antibody [BAX/962]](https://img1.dxycdn.com/2023/0711/451/6106825198874858761-14.jpg)


![LEO1 antibody [C1C3]](https://img1.dxycdn.com/2023/0711/255/2344116916935858761-14.jpg!wh200)
![SSEA-5 antibody [8e11]](https://img1.dxycdn.com/2023/0711/451/6106825198874858761-14.jpg!wh200)

