相关产品推荐更多 >
万千商家帮你免费找货
0 人在求购买到急需产品
- 详细信息
- 文献和实验
- 技术资料
- 免疫原:
Purified glucose regulated protein 94 (grp94) from chicken oviducts
- 亚型:
IgG2a
- 形态:
Liquid
- 保存条件:
Store as concentrated solution. Centrifuge briefly prior to opening vial. For short-term storage (1-2 weeks), store at 4ºC. For long-term storage, aliquot and store at -20ºC or below. Avoid multiple freeze-thaw cycles.
- 克隆性:
Monoclonal
- 标记物:
Unconjugated
- 适应物种:
Human, Mouse, Rat, Rabbit, Sheep, Bovine, Dog, Hamster, Chicken, Guinea pig, Pig, Monkey, Xenopus laevis, Horse
- 保质期:
12 months from the shipping date of the product.
- 抗原来源:
Chicken
- 目录编号:
GTX34771
- 级别:
Primary Antibodies
- 库存:
Available
- 供应商:
GeneTex
- 宿主:
Rat
- 应用范围:
WB, ICC/IF, IHC-P, FACS
- 浓度:
0.2 mg/ml (Please refer to the vial label for the specific concentration.)
- 靶点:
This MAb is highly specific to grp94 and shows minimal cross-reaction with other members of the HSP90 family.
- 抗体英文名:
GRP94 antibody [9G10.F8.2]
- 抗体名:
GRP94 抗体 [9G10.F8.2]
- 规格:
100 μg
ICC/IF analysis of HepG2 cells using GTX34771 GRP94 antibody [9G10.F8.2].
Green : Primary antibody
Red : nucleus
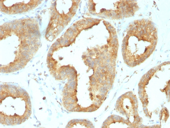
IHC-P analysis of human breast carcinoma tissue using GTX34771 GRP94 antibody [9G10.F8.2].
IHC-P analysis of human breast carcinoma tissue using GTX34771 GRP94 antibody [9G10.F8.2].
FACS analysis of PFA-fixed HepG2 cells using GTX34771 GRP94 antibody [9G10.F8.2].
Blue : Primary antibody
Red : Isotype control
风险提示:丁香通仅作为第三方平台,为商家信息发布提供平台空间。用户咨询产品时请注意保护个人信息及财产安全,合理判断,谨慎选购商品,商家和用户对交易行为负责。对于医疗器械类产品,请先查证核实企业经营资质和医疗器械产品注册证情况。
文献和实验问:BAF cell的来源是什么?有什么特性和用途呢?答:ATCC上没有你所谓的BAF cell,DSMZ上有两种BAF cell,如下:Cell line:BA-F8Cell type:mouse hybridoma(anti-rat fiber/myosin)Origin:this hybridoma cell line was described to secrete a mouse monoclonal antibody(IgG2b)that reacts with rat type
the top of the gel with filter paper to remove excess H2O. Prepare 10% SDS Stacking (or upper) Gel: 1.25 ml upper gel buffer at room temperature 0.56 ml 40% acrylamide 3.2 ml H2O (-- or 0.75 ml 30% acrylamide plus 3.0 ml H2O --) 30 µl 10% APS
技术资料暂无技术资料 索取技术资料





![Interferon gamma antibody [7-B6-1] (Biotin)](https://img1.dxycdn.com/2023/0711/451/6106825198874858761-14.jpg!wh200)


