相关产品推荐更多 >
万千商家帮你免费找货
0 人在求购买到急需产品
- 详细信息
- 文献和实验
- 技术资料
- 免疫原:
Human native protein
- 亚型:
IgG
- 形态:
Liquid
- 保存条件:
Store as concentrated solution. Centrifuge briefly prior to opening vial. For short-term storage (1-2 weeks), store at 4ºC. For long-term storage, aliquot and store at -20ºC or below. Avoid multiple freeze-thaw cycles.
- 克隆性:
Monoclonal
- 标记物:
Unconjugated
- 适应物种:
Human
- 保质期:
12 months from the shipping date of the product.
- 抗原来源:
Human
- 目录编号:
GTX02807
- 级别:
Primary Antibodies
- 库存:
Available
- 供应商:
GeneTex
- 宿主:
Mouse
- 应用范围:
WB, IP
- 浓度:
1 mg/ml (Please refer to the vial label for the specific concentration.)
- 靶点:
The antibody detects the 50-kDa complement C3 fragment. The identified sequences include thee segments: a.a. 1321-1600, a.a. 200-440, and a.a. 741-930.
- 抗体英文名:
C3 antibody [M68]
- 抗体名:
C3 抗体 [M68]
- 规格:
100 μl
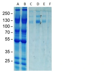
The two groups of complement C3 proteins can be purified by GTX02807 C3 antibody [M68] immunoaffinity chromatography from the partially purified milk fractions. Human milk proteins were loaded onto CM-Sepharose 4B column and proteins, including C3, were eluted by different salt (NaCl) concentration. The slat concentration was smaller than 0.3 N. The CM low salt fractions were collected and loaded to the mAb M68-Sepharose column to purify C3. After washing the immunoaffinity column, the captured proteins were eluted by 0.1 N glycine buffer pH 2.4. The eluates were collected into several fractions, E1, E2, E3, E4, E5 and E6. E1-E4 fractions were analyzed by SDS-PAGE and the eluted proteins were stained by CBB.
The protein band 2 and 7 as indicated are sliced out and subjected to MS/MS protein identification (by Prottech Inc.), confirming these bands to be complement C3. The relative abundance of peptides matching to C3 is 98% for band 2 and 96% for band 7.
For the best detection sensitivity, the samples should be treated under non-boiled and non-reducing conditions.
Lane A : Input (partially purified milk fractions)
Lane B : Flow through
Lane C : Elution 1
Lane D : Elution 2
Lane E : Elution 3
Lane F : Elution 4
Loading : 20 μl
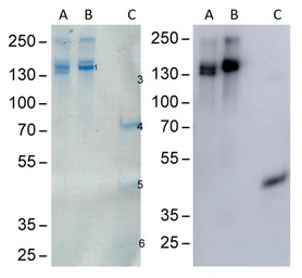
Complement C3 can be detected in human milk by western blot analysis under non-reducing non-boiled conditions using the GTX02807 C3 antibody [M68] as two groups of protein bands.
For the best detection sensitivity, the samples should be treated under non-boiled and non-reducing conditions.
Lane 1 : 10 μl
Lane 2 : 5 μl
Lane 3 : 2 μl
The purified complement C3 can be dissociated into four protein bands under reducing and boiled condition. The epitope recognized by GTX02807 C3 antibody [M68] is on the 50-kDa fragment.
The epitope recognized by GTX02807 is significantly destroyed by boiling and reducing treatment and requires much more proteins loaded for the detection.
The protein band 1, 3, 4, 5, and 6 as indicated are sliced out and subjected to MS/MS protein identification, confirming these bands to be complement C3. The relative abundance of peptides matching to C3 is 97% for band 1, 75% for band 3, 98% for band 4, 91% for band 5, and 45% for band 6.
For the best detection sensitivity, the samples should be treated under non-boiled and non-reducing conditions.
Lane A : M68 E2 (contained C3 at highest concentration), 1 μl
Lane B : Boiled sample, 5 μl
Lane C : Boiled and reduced sample, 20 μl
风险提示:丁香通仅作为第三方平台,为商家信息发布提供平台空间。用户咨询产品时请注意保护个人信息及财产安全,合理判断,谨慎选购商品,商家和用户对交易行为负责。对于医疗器械类产品,请先查证核实企业经营资质和医疗器械产品注册证情况。
文献和实验补体成分 C3(C3a/C3b) 补体成分:C3 血清浓度(μg/ml):550-1200 分子量(kDa):195 亚单位(链)及分子量(kDa):α∶110;β∶85 激活产物:C3a;C3b 生物学活性:C3a 过敏毒素、趋化作用等。 C3b 组成CP、AP中的C3、C5转化
上海西唐生物科技有限公司 021-55229872, 65333639 www.westang.com 大鼠补体 C3(C3)ELISA 试剂盒 ( 用于血清、血浆、细胞培养上清液和生物体液内 ) 原理 本实验采用双抗体夹心 ABC-ELISA 法。用抗大鼠 C3 单抗包被于酶标板上,标准品和样品中的 C3 与单抗结合,加入生物素化的抗大鼠 C3 ,形成免疫复合物连接在板上,辣根
人补体C3 (C3)ELISA 试剂盒 ( 用于血清、血浆、细胞培养上清液和其它生物体液内 ) 原理 本实验采用双抗体夹心 ABC-ELISA 法。用抗人 C3 单抗包被于酶标板上,标准品和样品中的 C3与单抗结合,加入生物素化的抗人 C3 ,形成免疫复合物连接在板上,辣根过氧化物酶标记的 Streptavidin 与生物素结合,加入底物工作液显蓝色,最后加终止液硫酸,在 450nm 处测
技术资料暂无技术资料 索取技术资料







![Rhodopsin antibody [1D4] (Biotin)](https://img1.dxycdn.com/2023/0711/451/6106825198874858761-14.jpg!wh200)

