相关产品推荐更多 >
万千商家帮你免费找货
0 人在求购买到急需产品
- 详细信息
- 文献和实验
- 技术资料
- 免疫原:
Bromodeoxyuridine (BrdU) conjugated to KLH
- 亚型:
IgG
- 形态:
Liquid
- 保存条件:
Store as concentrated solution. Centrifuge briefly prior to opening vial. Store at 4ºC.
- 克隆性:
Monoclonal
- 标记物:
Unconjugated
- 适应物种:
Species independent
- 保质期:
12 months from the shipping date of the product.
- 目录编号:
GTX02762
- 级别:
Primary Antibodies
- 库存:
Available
- 供应商:
GeneTex
- 宿主:
Rabbit
- 应用范围:
IHC-P
- 浓度:
200 μg/ml (Please refer to the vial label for the specific concentration.)
- 靶点:
BrdU
- 抗体英文名:
BrdU antibody [BRD2888R]
- 抗体名:
BrdU 抗体 [BRD2888R]
- 规格:
100 μg
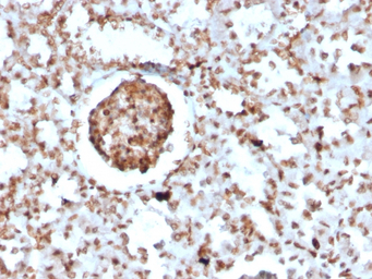
IHC-P analysis of mouse BrdU-incorporated kidney tissue section using GTX02762 BrdU antibody [BRD2888R].
风险提示:丁香通仅作为第三方平台,为商家信息发布提供平台空间。用户咨询产品时请注意保护个人信息及财产安全,合理判断,谨慎选购商品,商家和用户对交易行为负责。对于医疗器械类产品,请先查证核实企业经营资质和医疗器械产品注册证情况。
文献和实验a variety of cellular sources from human olfactory epithelium (Hahn et al., 2005) and neural progenitors (Nieoullon et al., 2005) to neural stem cells (Chu et al., 2004). BrdU antibody from Abcam Identification of the labelled cells can be applied
Immunohistochemistry and Detection of Proliferating Cells by BrdU
Immunohistochemistry is a classic technique used for the localization of antigenic target molecules in �tissue. The method exploits the principle that the target antigen is recognized by specific antibody and is visualized using different
Anti-GFP/BrdU In Situ Immunostaining
IgG (Jackson ImmunoResearch, 111-096-006) Biotinylated anti-BrdU (AbCam, ab2284-125) Streptavidin-Alexa Flour 555 (Invitrogen/Molecular Probes, S21381) Goat serum Horse serum BSA 2N HCl DAPI Fluorescent mounting medium (Vectashield
技术资料暂无技术资料 索取技术资料





![SUMO1 antibody [SUMO1/1188]](https://img1.dxycdn.com/2023/0711/451/6106825198874858761-14.jpg!wh200)



