相关产品推荐更多 >
万千商家帮你免费找货
0 人在求购买到急需产品
- 详细信息
- 文献和实验
- 技术资料
- 免疫原:
Recombinant fusion protein containing a sequence corresponding to amino acids 1-150 of human CEBPG (NP_001797.1).
- 亚型:
IgG
- 形态:
Liquid
- 保存条件:
Store as concentrated solution. Centrifuge briefly prior to opening vial. For short-term storage (1-2 weeks), store at 4ºC. For long-term storage, aliquot and store at -20ºC or below. Avoid multiple freeze-thaw cycles.
- 克隆性:
Polyclonal
- 标记物:
Unconjugated
- 适应物种:
Human, Mouse
- 保质期:
12 months from the shipping date of the product.
- 抗原来源:
Human
- 目录编号:
GTX32514
- 级别:
Primary Antibodies
- 库存:
Available
- 供应商:
GeneTex
- 宿主:
Rabbit
- 应用范围:
WB, ICC/IF, IHC-P
- 浓度:
Batch dependent (Please refer to the vial label for the specific concentration.)
- 靶点:
CEBP gamma
- 抗体英文名:
CEBP gamma antibody
- 抗体名:
CEBP gamma 抗体
- 规格:
100 μl
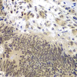
IHC-P analysis of human kidney cancer tissue using GTX32514 CEBP gamma antibody.
Dilution : 1:100
ICC/IF analysis of A549 cells using GTX32514 CEBP gamma antibody.
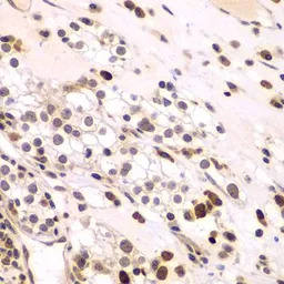
IHC-P analysis of human colon carcinoma tissue using GTX32514 CEBP gamma antibody.
Dilution : 1:100
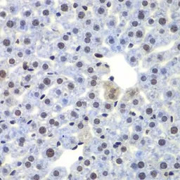
IHC-P analysis of mouse liver tissue using GTX32514 CEBP gamma antibody.
Dilution : 1:100
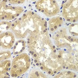
IHC-P analysis of human kidney tissue using GTX32514 CEBP gamma antibody.
Dilution : 1:100
WB analysis of various sample lysates using GTX32514 CEBP gamma antibody. The signal was developed with ECL plus-Enhanced.
Dilution : 1:1000
Loading : 25μg per lane
风险提示:丁香通仅作为第三方平台,为商家信息发布提供平台空间。用户咨询产品时请注意保护个人信息及财产安全,合理判断,谨慎选购商品,商家和用户对交易行为负责。对于医疗器械类产品,请先查证核实企业经营资质和医疗器械产品注册证情况。
文献和实验secondary antibody review -- data from 99 publications
cytometry used as a control to detect cell responses targeted antigen 7 Alexa Fluor 488 7 Cy3 8 goat IgG Alexa Fluor 488 1:2000 detect antibody binding in human embryonic kidney 293T cells Invitrogen 9 donkey
Coating of Platelets with Antibody in vitro
OUTLINE Antibody-coated platelets (opsnized) may be used in the subsequent thrombophagocytosis assay. PROTOCOL Resuspend 1.6x10^8 of CMFDA-labeled platelets in 200µl of BSGC-BSA (v/w 1%) either with a control Ab
, then membranous expression Most specific T cell antibody Positive staining (normal): thymocytes, peripheral T cells, NK cells; also Purkinje cells of cerebellum Positive staining (disease): 80% of T cell lymphomas Negative staining: gamma delta T
技术资料暂无技术资料 索取技术资料






![beta 2 Microglobulin antibody [N1C3]](https://img1.dxycdn.com/2023/0516/045/6925717576889828561-14.jpg!wh200)

