相关产品推荐更多 >
万千商家帮你免费找货
0 人在求购买到急需产品
- 详细信息
- 文献和实验
- 技术资料
- 免疫原:
A synthesized peptide derived from human Phospho-Smad3 (S423 + S425)
- 形态:
liquid
- 保存条件:
Store at -20˚C
- 克隆性:
Monoclonal
- 适应物种:
Human;Mouse;Rat
- 保质期:
12 months
- 抗原来源:
Recombinant Rabbit
- 供应商:
南京赛戈巍生物科技有限公司
- 宿主:
Recombinant Rabbit
- 应用范围:
WB;ICC/IF;IHC
- 靶点:
Uniprot:P84022
- 抗体英文名:
Smad3 (Phospho-Ser423/Ser425) Rabbit mAb
- 规格:
50ul/100ul
计算分子量:48 kDa
配方:Rabbit IgG in phosphate buffered saline , pH 7.4, 150mM NaCl, 0.02% sodium azide and 50% glycerol.
应用详情:WB: 1:500-1:2000
ICC/IF: 1:50-1:200
IHC: 1:50-1:200
图片:

Western blot analysis of Phospho-Smad3 (S423/S425) expression in A549 cell lysate treated with TGF-?1.
,

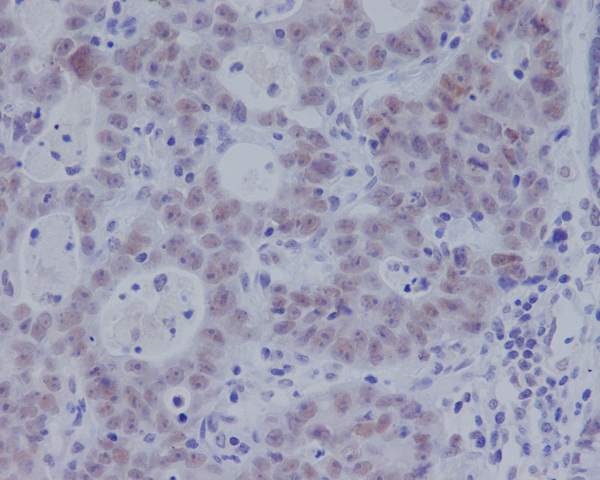
Immunohistochemical analysis of paraffin-embedded human gastric adenocarcinoma, using Phospho-Smad3 (S423 + S425) Antibody.
,

Immunofluorescent analysis of A549 cells treated with TGF?? , using Phospho-Smad3 (S423 + S425) Antibody.
风险提示:丁香通仅作为第三方平台,为商家信息发布提供平台空间。用户咨询产品时请注意保护个人信息及财产安全,合理判断,谨慎选购商品,商家和用户对交易行为负责。对于医疗器械类产品,请先查证核实企业经营资质和医疗器械产品注册证情况。
文献和实验TBS 和 5% NGS 中封闭样品。市售的含有酪蛋白的封闭溶液与磷酸化的一抗结合后易减弱信号;因此,我们建议不使用含有酪蛋白的封闭剂进行磷酸化特异性抗体的检测。以上针对封闭步骤所提建议均是在以 SignalStain. Boost IHC Detection Reagent 作为检测试剂的情况下提出的。如果选择使用其他检测试剂,我们则建议使用与二抗来源相同的血清进行封闭。抗体:Phospho–Histone H2A.X (Ser139) (20E3) Rabbit mAb #9718样本:石蜡
:使用 Anti-phospho-Akt (Ser473) Rabbit mAb 对石蜡包埋的人乳腺癌组织进行免疫组织化学分析。(图 A)使用免疫组化试剂盒M&R HRP/DAB Detection IHC Kit,抗体 1:100 稀释;(图 B) 采用普通免疫组化试剂盒,抗体 1:25 稀释。 图 6 免疫组化实验检测 Erk1/2 表达 注:使用 Anti-Erk1/2 Mouse mAb与p44/42 MAPK (Erk1/2)Rabbit mAb 对正常小鼠心脏组织进行免疫
v468. chapter 4 WNT 细胞通路 检测细胞GSK3活性与表达水平
3.1 and 3.6 ). This will provide a “specific activity” measurement relative to total protein in the cell, and is themost accurate measure of total GSK3 activity, or2. Immunoblot using antibodies to phospho-Ser21 (GSK3a)or phospho-Ser9 (GSK3b) (see Sections 3.1 –
技术资料暂无技术资料 索取技术资料





![NCEH1 Antibody[36001]](https://img1.dxycdn.com/p/s14/2025/0922/359/6146153295428599691.jpg!wh200)

![Rabbit Anti-Horse IgG (H&L) - AF633[L35417]](https://img1.dxycdn.com/p/s14/2025/0922/498/0460884283108299691.jpg!wh200)

