相关产品推荐更多 >
万千商家帮你免费找货
0 人在求购买到急需产品
- 详细信息
- 文献和实验
- 技术资料
- 品系:
小鼠结肠癌细胞
- 细胞类型:
小鼠结肠癌细胞
- 肿瘤类型:
小鼠结肠癌细胞
- 供应商:
优利科(上海)生命科学有限公司
- 库存:
10
- 英文名:
Mouse Colon Cancer Cells ,CT26.WT
- 生长状态:
贴壁生长
- 年限:
永久
- 运输方式:
快递形式
- 器官来源:
小鼠结肠癌
- 是否是肿瘤细胞:
是
- 细胞形态:
成纤维细胞样,贴壁生长
- 免疫类型:
/
- 物种来源:
小鼠结肠癌细胞
- 相关疾病:
结肠癌
- 组织来源:
小鼠结肠癌
- 规格:
1x10^6
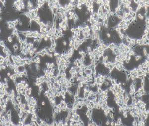
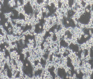
CT26.WT小鼠结肠癌细胞(提供种属鉴定)细胞介绍
CT26细胞是被N-亚硝基-N-甲基脲烷(NNMU)诱导得到的未分化的小鼠结肠癌细胞,该细胞的一个克隆形成的细胞系被命名为CT26.WT。CT26.WT被逆转录病毒载体LXSN稳定转化形成了一个致死性的亚克隆CT26.CL25,这一病毒载体含有lacZ基因、编码肿瘤相关抗原(TAA)和beta半乳糖苷酶。CT26.WT和CT26.CL25细胞在小鼠中生长速度和致死率都很相似,不同的是CT26.CL25细胞可以表达肿瘤相关抗原和beta半乳糖苷酶,因此这两株细胞可以联合用于免疫治疗和宿主免疫反应的研究
CT26.WT小鼠结肠癌细胞(提供种属鉴定)细胞特性
1) 来源:小鼠结肠癌
2) 形态:成纤维细胞样,贴壁生长
3) 含量:>1x10^6 细胞数
4) 规格:T25瓶或者1mL冻存管包装
5) 用途:仅供科研使用。

CT26.WT小鼠结肠癌细胞(提供种属鉴定)运输和保存
干冰运输及复苏好存活细胞
(1)1mL冻存管包装干冰运输,收到后-80度冰箱保存过夜后转入液氮或直接复苏,若发现干冰已挥发干净、冻存管瓶盖脱落、破损及细胞有污染,请立即与我们联系。
(2)T25瓶复苏的存活细胞常温发货,收到后按照细胞接收后的处理方法操作。

CT26.WT小鼠结肠癌细胞(提供种属鉴定)培养基及培养冻存条件准备:
1) 准备RPMI-1640培养基;优质胎牛血清,10%;双抗,1%。
2) 培养条件: 气相:空气,95%;二氧化碳,5%。 温度:37℃,培养箱湿度为70%-80%。
3) 冻存液:90%血清,10%DMSO,现用现配。

CT26.WT小鼠结肠癌细胞(提供种属鉴定)接收后的处理
1)收到细胞后,75%酒精消毒瓶壁将T25瓶置于37℃培养箱放置约2-3h,若发现培养瓶破损、有液溢出及细胞有污染,请拍照后及时联系我们。
2)请在4或5X显微镜下确认细胞状态,同时给刚收到的细胞拍照(10×,20×)各2-3张以及培养瓶外观照片一张留存,作为售后时收到时细胞状态的依据。
3)贴壁细胞:细胞在37℃培养箱中放置2-3h,显微镜下观察细胞的生长和贴壁情况,有些贴壁细胞在快递运送过程中会因振动脱落和脱落后成团的情况。若镜下观察细胞的生长密度若在60%以下,可去除培养瓶中灌液培养基(若有未贴壁的细胞需要离心回收,重悬打入到原培养瓶中),加入新配制的完全培养基6-8mL,放到细胞培养箱中继续培养。若细胞生长密度达70%-80%以上,可以对细胞进行传代处理。传代过程中,若因运输振动脱落的细胞需要离心回收。
4)备注:运输用的培养基(灌液培养基)不能再用来培养细胞,请换用按照说明书细胞培养条件新配制的完全培养基来培养细胞。 收到细胞后第一次传代建议T25培养瓶1:2传代 。

CT26.WT小鼠结肠癌细胞(提供种属鉴定)相关产品:
| 小鼠肝实质细胞 | AML-12 |
| 小鼠脑神经胶质母细胞 | G422 |
| 小鼠胚胎成纤维细胞 | 3T3-L1 |
| 小鼠乳腺癌细胞 | 4T1 |
| 小鼠乳腺癌细胞荧光素酶标记 | 4T1+luc |
| 小鼠巨噬细胞 | Ana-1 |
| 小鼠胚胎瘤细胞 | ATDC5 |
| 小鼠黑色素瘤细胞 | B16 |
| 小鼠黑色素瘤细胞 | B16-F10 |
| 小鼠黑色素瘤细胞荧光素酶标记 | B16-F10+LUC |
风险提示:丁香通仅作为第三方平台,为商家信息发布提供平台空间。用户咨询产品时请注意保护个人信息及财产安全,合理判断,谨慎选购商品,商家和用户对交易行为负责。对于医疗器械类产品,请先查证核实企业经营资质和医疗器械产品注册证情况。
文献和实验不佳,但也不至于那么糟吧。 LOVO细胞 百度搜出来好像是 大肠癌细胞 啊,不知道跟结肠癌细胞有没有区别。 本文由丁香园论坛提供,想了解更多有用的、有意思的前沿资讯以及酷炫的实验方法的你,都可以成为师兄的好伙伴 师兄微信号:shixiongcoming
「外泌体 + 环状 RNA」国自然双热点助力肿瘤研究发表高分文章
中性粒细胞表型转换有关。作者通过流式细胞术检测上述不同组别中 N2 中性粒细胞的比例。结果表明,CRC 来源的外泌体 circPACRGL 可以通过 miR-142-3p/miR-506-3p- TGF-β1 调节中性粒细细胞的 N1-N2 分化(Fig.6)。 Fig.6 circPACRGL 通过 miR-142-3p/miR-506-3p-TGF-β1 轴调控 N1-N2 中性粒细胞在小鼠结肠癌细胞中的分化(CT-26) 结论 本文揭示了肿瘤来源的外泌体可以携带
内消除β-链蛋白后,包括黏膜型基质金属蛋白酶(MTl-MMP)的84项基因表达下调。而在24株结肠癌细胞的22株中MTl-MMP的表达上调。因此,作者推测β-链蛋白的积累是通过影响MTl-MMP的表达而发挥对结肠黏膜的致癌作用的。 Nambiar等在某些结肠癌细胞中用基因芯片分析基因表达谱时发现p53的表达有不同的改变(表达上调、下调和正常),虽然在有些肿瘤组织中p53的表达水平上调30倍,但似乎并没有发挥生物学效应,也末见其诱导p27基因表达的变化。在用azoxymethane(AOM)诱导的鼠










