相关产品推荐更多 >
万千商家帮你免费找货
0 人在求购买到急需产品
- 详细信息
- 技术资料
- 靶点:
RNF25
- 应用范围:
WB;IHC
- 宿主:
Rabbit
- 适应物种:
Human;Mouse
- 保质期:
一年
- 供应商:
北京索莱宝科技有限公司
- 克隆性:
Polyclonal Antibody
- 保存条件:
Store at -20℃. Avoid freeze / thaw cycles.
- 亚型:
IgG
- 免疫原:
Recombinant protein of human RNF25
- 规格:
50ul
产品简介
| 中文名称 | 环指蛋白25抗体 |
| 靶标 | RNF25 |
| 别名 | AO7;EC 6.3.2.-;FLJ13906;ring finger protein 25E3 ubiquitin-protein ligase RNF25;ring finger protein AO7 |
| 背景资料 | Ubiquitination is an important mechanism through which three classes of enzymes act in concert to target short-lived or abnormal proteins for destruction. The three classes of enzymes involved in ubiquitination are the ubiquitin-activating enzymes (E1s), the ubiquitin-conjugating enzymes (E2s) and the ubiquitin-protein ligases (E3s). RNF25 (RING finger protein 25), also known as AO7, is a 459 amino acid protein that contains one RWD domain and one RING-type zinc finger. Via its RING-type zinc finger (a common domain that contains a conserved cysteine-rich region and is found in a number of viral and eukaryotic proteins), RNF25 is thought to exhibit E2-dependent E3 ubiquitin-protein ligase activity. Specifically, the RING finger of RNF25 interacts with an E2 ligase and, through this interaction, facilitates the ubiquitination of target proteins. RNF25 may also regulate the transcriptional activity of NF-kappa-B, a protein that plays important roles in cell survival, inflammation response, host defense and proliferation. |
| Swiss Prot | Q96BH1 |
| 亚细胞定位 | Cytoplasm Nucleus |
| 宿主 | Rabbit |
| 克隆类型 | Polyclonal Antibody |
| 亚型 | IgG |
| 预测交叉反应 | Bovine |
| 蛋白分子量 | 51kDa |
| 实际分子量 | 64kDa |
| 稀释比例 | WB 1:2000-5000. IHC 1:25-100. |
| 免疫原 | Recombinant protein of human RNF25 |
| Public Immunogen Range | 1-350aa |
| 纯化方法 | Affinity purification |
| 储存液 | Buffer: PBS with 0.03% Proclin300, 50% glycerol, pH7.3. |
| 保存 | Store at -20℃. Avoid freeze / thaw cycles. |
| 交叉反应 | Human;Mouse |
| 应用 | WB;IHC |
| 规格 | 50ul 100ul |
| 单位 | 支 |
备注:
以上数据均来自公开文献, Solarbio暂未进行独立验证, 仅供参考。
These protocols are for reference only. Solarbio does not independently validate these methods.
温馨提示:
使用前请离心。如有问题请及时联系我们。
Quick spin before use. If you have any questions, please contact us.
实验图
"Western blot analysis with RNF25 antibody diluted at 1:3000;Lane: 293T
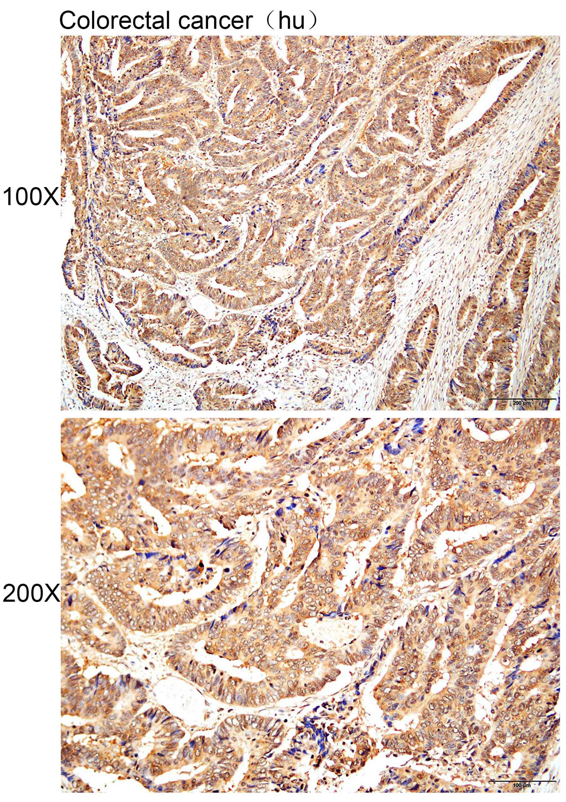
Immunohistochemistry of paraffin-embedded human colorectal cancer with RNF25 antibody diluted at 1:50.
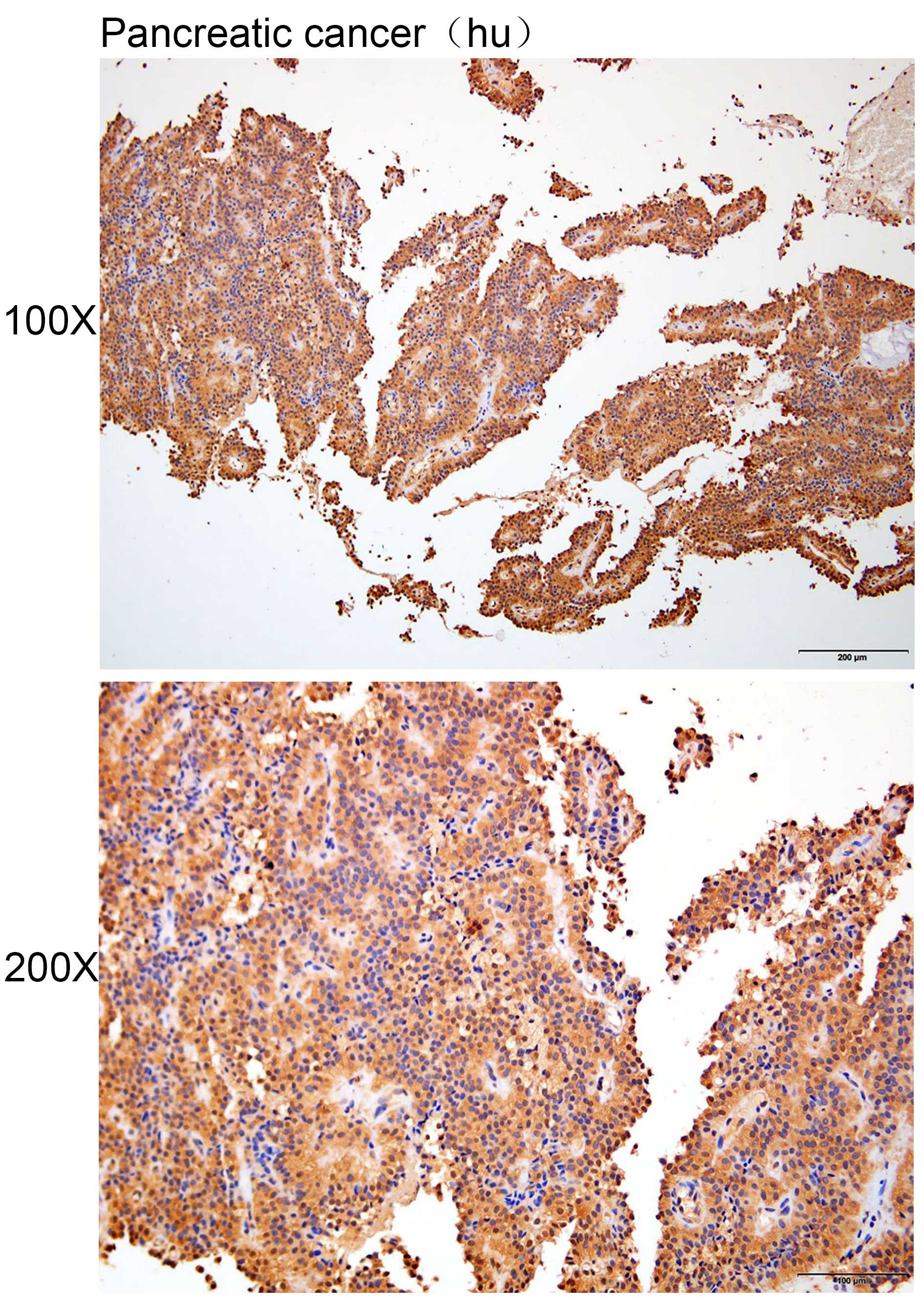
Immunohistochemistry of paraffin-embedded human pancreatic cancer with RNF25 antibody diluted at 1:50.
Immunohistochemistry of paraffin-embedded human testis cancer with RNF25 antibody diluted at 1:50.
风险提示:丁香通仅作为第三方平台,为商家信息发布提供平台空间。用户咨询产品时请注意保护个人信息及财产安全,合理判断,谨慎选购商品,商家和用户对交易行为负责。对于医疗器械类产品,请先查证核实企业经营资质和医疗器械产品注册证情况。
技术资料暂无技术资料 索取技术资料
Anti-RNF25 Polyclonal Antibody
¥960







