相关产品推荐更多 >
万千商家帮你免费找货
0 人在求购买到急需产品
- 详细信息
- 技术资料
- 靶点:
LATS1/LATS2
- 应用范围:
IHC
- 宿主:
Rabbit
- 适应物种:
Human;Mouse
- 保质期:
一年
- 供应商:
北京索莱宝科技有限公司
- 克隆性:
Polyclonal Antibody
- 保存条件:
Store at -20℃. Avoid freeze / thaw cycles.
- 亚型:
IgG
- 免疫原:
A synthetic peptide of human LATS1/LATS2
- 规格:
50ul
产品简介
备注:
以上数据均来自公开文献, Solarbio暂未进行独立验证, 仅供参考。
These protocols are for reference only. Solarbio does not independently validate these methods.
温馨提示:
使用前请离心。如有问题请及时联系我们。
Quick spin before use. If you have any questions, please contact us.
实验图
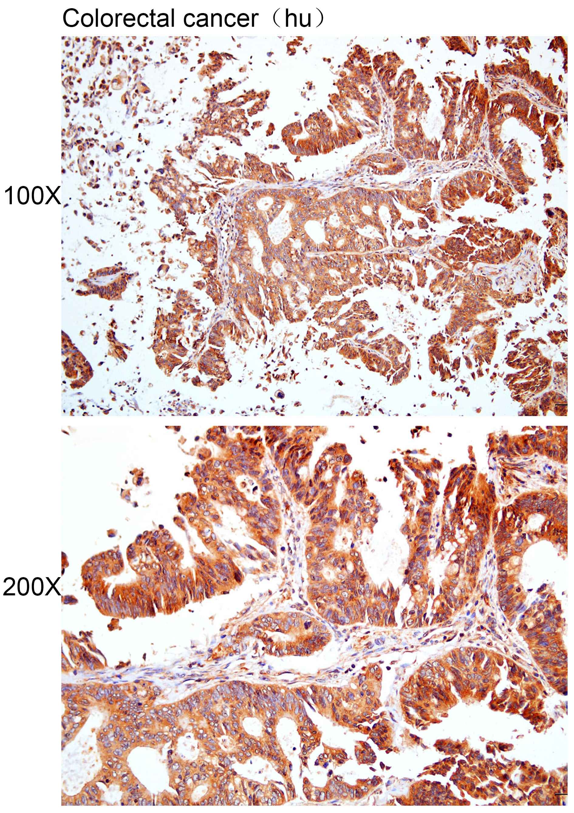
Immunohistochemistry of paraffin-embedded human colorectal cancer with LATS1/LATS2 antibody diluted at 1:100.
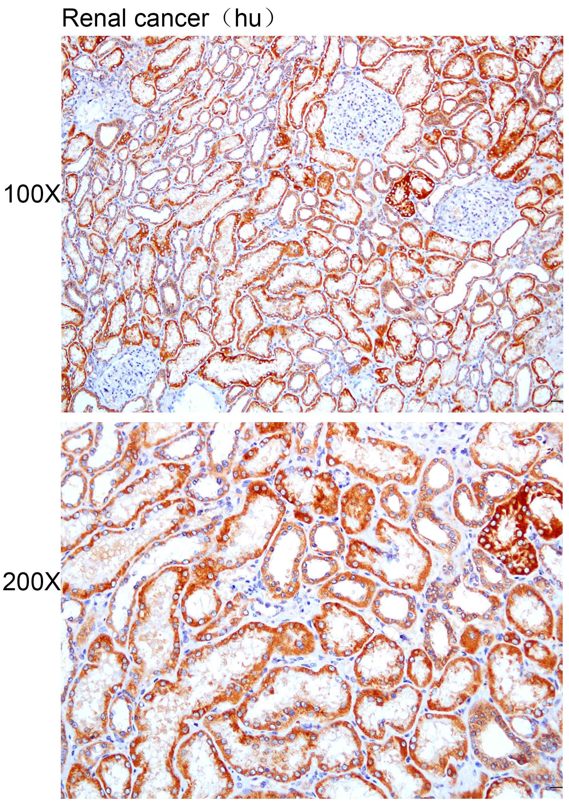
Immunohistochemistry of paraffin-embedded human renal cancer with LATS1/LATS2 antibody diluted at 1:100.
| 靶标 | LATS1/LATS2 |
| 别名 | h-warts; Large tumor suppressor homolog 1; LATS large tumor suppressor homolog 1; LATS1; LATS1_HUMAN; Serine threonine protein kinase LATS1; Serine/threonine-protein kinase LATS1; WARTS; WARTS protein kinase; wts; |
| 背景资料 | The protein encoded by this gene is a putative serine/threonine kinase that localizes to the mitotic apparatus and complexes with cell cycle controller CDC2 kinase in early mitosis. The protein is phosphorylated in a cell-cycle dependent manner, with late prophase phosphorylation remaining through metaphase. The N-terminal region of the protein binds CDC2 to form a complex showing reduced H1 histone kinase activity, indicating a role as a negative regulator of CDC2/cyclin A. In addition, the C-terminal kinase domain binds to its own N-terminal region, suggesting potential negative regulation through interference with complex formation via intramolecular binding. Biochemical and genetic data suggest a role as a tumor suppressor. This is supported by studies in knockout mice showing development of soft-tissue sarcomas, ovarian stromal cell tumors and a high sensitivity to carcinogenic treatments. |
| Swiss Prot | O95835/Q9NRM7 |
| 亚细胞定位 | Cytoplasm |
| 宿主 | Rabbit |
| 克隆类型 | Polyclonal Antibody |
| 亚型 | IgG |
| 蛋白分子量 | 76/127KDa |
| 稀释比例 | IHC 1:50-200. |
| 免疫原 | A synthetic peptide of human LATS1/LATS2 |
| Public Immunogen Range | 800-850/1130aa |
| 纯化方法 | Octanoic acid-ammonium sulfate precipitation |
| 储存液 | Buffer: PBS with 0.03% Proclin300, 50% glycerol, pH7.3. |
| 保存 | Store at -20℃. Avoid freeze / thaw cycles. |
| 交叉反应 | Human;Mouse |
| 应用 | IHC |
| 规格 | 50ul 100ul |
| 单位 | 支 |
备注:
以上数据均来自公开文献, Solarbio暂未进行独立验证, 仅供参考。
These protocols are for reference only. Solarbio does not independently validate these methods.
温馨提示:
使用前请离心。如有问题请及时联系我们。
Quick spin before use. If you have any questions, please contact us.
实验图
Immunohistochemistry of paraffin-embedded human colorectal cancer with LATS1/LATS2 antibody diluted at 1:100.
Immunohistochemistry of paraffin-embedded human renal cancer with LATS1/LATS2 antibody diluted at 1:100.
风险提示:丁香通仅作为第三方平台,为商家信息发布提供平台空间。用户咨询产品时请注意保护个人信息及财产安全,合理判断,谨慎选购商品,商家和用户对交易行为负责。对于医疗器械类产品,请先查证核实企业经营资质和医疗器械产品注册证情况。
技术资料暂无技术资料 索取技术资料
Anti-LATS1/LATS2 Polyclonal Antibody
¥960






