相关产品推荐更多 >
万千商家帮你免费找货
0 人在求购买到急需产品
- 详细信息
- 技术资料
- 抗体名:
硫酯酶超家族成员2抗体
- 抗体英文名:
Anti-ACOT13 Polyclonal Antibody
- 靶点:
ACOT13
- 浓度:
WB 1:1000-3000. IHC 1:50-200.
- 应用范围:
WB;IHC
- 宿主:
Rabbit
- 适应物种:
Human;Mouse;Rat
- 保质期:
一年
- 目录编号:
K112543P
- 级别:
科研级别
- 库存:
999
- 供应商:
北京索莱宝科技有限公司
- 标记物:
Biotin,Cy3,Cy3.5,Cy5,Cy5.5,Cy7,FITC,HRP,RBITC,SAlexa Fluor 350,SAlexa Fluor 405,SAlexa Fluor 488,SAlexa Fluor 532,SAlexa Fluor 555,SAlexa Fluor 568,SAlexa Fluor 594,SAlexa Fluor 633,SAlexa Fluor 640,SAlexa Fluor 647,SAlexa Fluor 660,SAlexa Fluor 680,SAlexa Fluor 750
- 克隆性:
Polyclonal Antibody
- 保存条件:
Store at -20℃. Avoid freeze / thaw cycles.
- 形态:
液体/冻干粉
- 亚型:
IgG
- 免疫原:
Recombinant protein of human ACOT13
- 规格:
50ul/100ul
| 规格: | 50ul | 产品价格: | ¥960.0 |
|---|---|---|---|
| 规格: | 100ul | 产品价格: | ¥1600.0 |
Atalyzes the hydrolysis of acyl-CoAs to the free fatty acid and coenzyme A (CoASH), providing the potential to regulate intracellular levels of acyl-CoAs, free fatty acids and CoASH (PubMed:16934754, PubMed:19170545).Has acyl-CoA thioesterase activity towards medium (C12) and long-chain (C18) fatty acyl-CoA substrates (By similarity) (PubMed:16934754, PubMed:19170545).Can also hydrolyze 3-hydroxyphenylacetyl-CoA and 3,4-dihydroxyphenylacetyl-CoA (in vitro) (By similarity) (PubMed:16934754, PubMed:19170545).May play a role in controlling adaptive thermogenesis (By similarity).
实验图
Western blot analysis with ACOT13 antibody diluted at 1:2000;Lane: MCF7,Liver cancer.
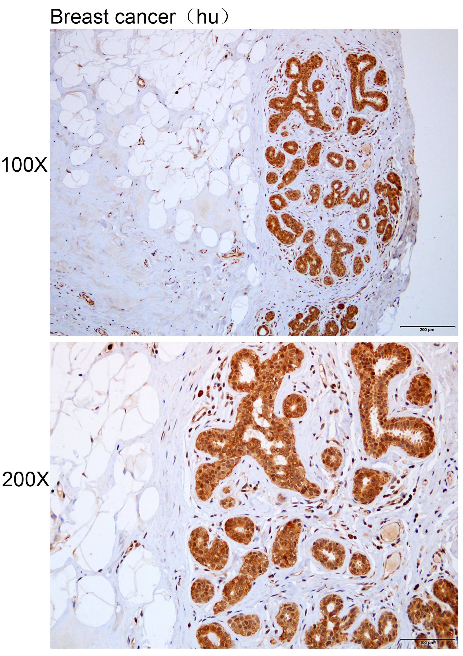
Immunohistochemistry of paraffin-embedded human breast cancer with ACOT13 antibody diluted at 1:100.
风险提示:丁香通仅作为第三方平台,为商家信息发布提供平台空间。用户咨询产品时请注意保护个人信息及财产安全,合理判断,谨慎选购商品,商家和用户对交易行为负责。对于医疗器械类产品,请先查证核实企业经营资质和医疗器械产品注册证情况。







