相关产品推荐更多 >
万千商家帮你免费找货
0 人在求购买到急需产品
- 详细信息
- 技术资料
- 靶点:
EMC4
- 应用范围:
WB;IHC
- 宿主:
Rabbit
- 适应物种:
Human;Mouse;Rat
- 保质期:
一年
- 供应商:
北京索莱宝科技有限公司
- 克隆性:
Polyclonal Antibody
- 保存条件:
Store at -20℃. Avoid freeze / thaw cycles.
- 亚型:
IgG
- 免疫原:
A synthetic peptide of human EMC4
- 规格:
50ul
产品简介
| 靶标 | EMC4 |
| 别名 | Cell proliferation-inducing gene 17 protein; EMC4; ER membrane protein complex subunit 4; HSPC184; PIG17; tmem85; TMM85_HUMAN; Transmembrane protein 85; |
| 背景资料 | Part of the endoplasmic reticulum membrane protein complex (EMC) that enables the energy-independent insertion into endoplasmic reticulum membranes of newly synthesized membrane proteins (PubMed:30415835, PubMed:29809151, PubMed:29242231, PubMed:32459176, PubMed:32439656).Preferentially accommodates proteins with transmembrane domains that are weakly hydrophobic or contain destabilizing features such as charged and aromatic residues (PubMed:30415835, PubMed:29809151, PubMed:29242231).Involved in the cotranslational insertion of multi-pass membrane proteins in which stop-transfer membrane-anchor sequences become ER membrane spanning helices (PubMed:30415835, PubMed:29809151).It is also required for the post-translational insertion of tail-anchored/TA proteins in endoplasmic reticulum membranes (PubMed:29809151, PubMed:29242231).By mediating the proper cotranslational insertion of N-terminal transmembrane domains in an N-exo topology, with translocated N-terminus in the lumen of the ER, controls the topology of multi-pass membrane proteins like the G protein-coupled receptors (PubMed:30415835).By regulating the insertion of various proteins in membranes, it is indirectly involved in many cellular processes (Probable). |
| Swiss Prot | Q5J8M3 |
| Gene ID | 51234 |
| 亚细胞定位 | Cytoplasm |
| 宿主 | Rabbit |
| 克隆类型 | Polyclonal Antibody |
| 亚型 | IgG |
| 预测交叉反应 | Cow;Chimpanzee;Xenopus laevis;Xenopus tropicalis |
| 蛋白分子量 | 15/17/20kDa |
| 实际分子量 | 19kDa |
| 稀释比例 | WB 1:1000-3000. IHC 1:50-200. |
| 免疫原 | A synthetic peptide of human EMC4 |
| Public Immunogen Range | 20-70/183aa |
| 纯化方法 | Affinity purification |
| 储存液 | Buffer: PBS with 0.03% Proclin300, 50% glycerol, pH7.3. |
| 保存 | Store at -20℃. Avoid freeze / thaw cycles. |
| 交叉反应 | Human Mouse Rat |
| 应用 | WB IHC |
| 规格 | 50ul 100ul |
| 单位 | 支 |
备注:
以上数据均来自公开文献, Solarbio暂未进行独立验证, 仅供参考。
These protocols are for reference only. Solarbio does not independently validate these methods.
温馨提示:
使用前请离心。如有问题请及时联系我们。
Quick spin before use. If you have any questions, please contact us.
实验图
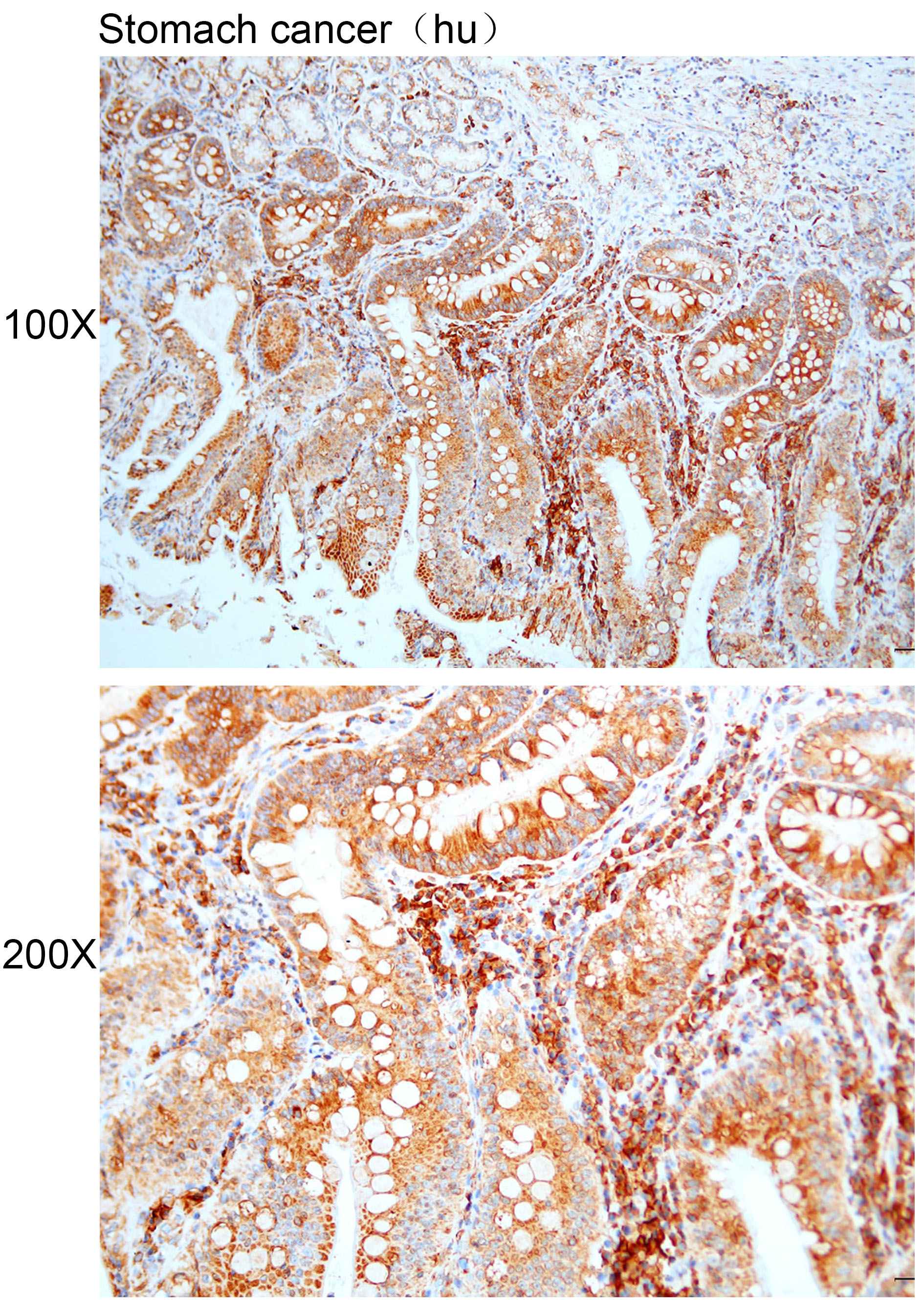
Immunohistochemistry of paraffin-embedded human stomach cancer with EMC4 antibody diluted at 1:100.
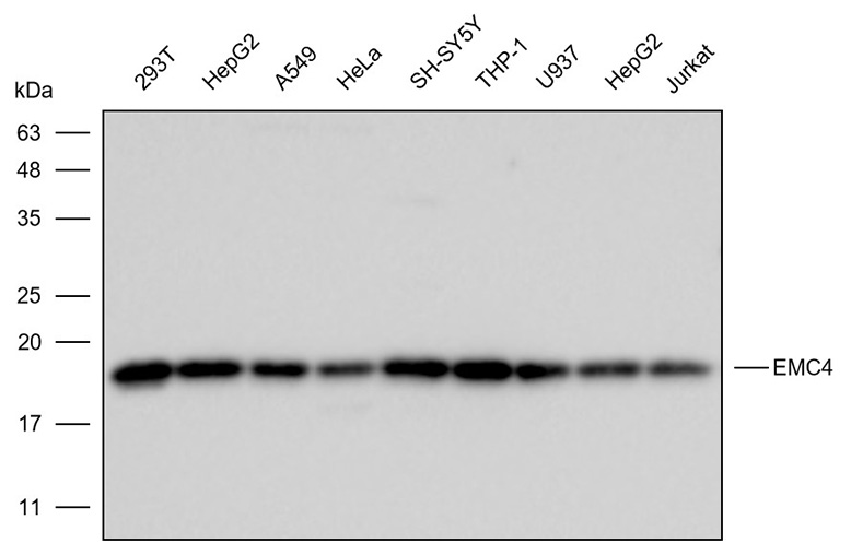
Western blot analysis with EMC4 antibody diluted at 1:2000;Lane: 293T,HepG2,A549,HeLa,SH-SY5Y,THP-1,U937,HepG2,Jurkat.
风险提示:丁香通仅作为第三方平台,为商家信息发布提供平台空间。用户咨询产品时请注意保护个人信息及财产安全,合理判断,谨慎选购商品,商家和用户对交易行为负责。对于医疗器械类产品,请先查证核实企业经营资质和医疗器械产品注册证情况。
技术资料暂无技术资料 索取技术资料
Anti-EMC4 Polyclonal Antibody
¥960








