相关产品推荐更多 >
万千商家帮你免费找货
0 人在求购买到急需产品
- 详细信息
- 文献和实验
- 技术资料
- 靶点:
MUSK
- 应用范围:
WB;IHC
- 宿主:
Rabbit
- 适应物种:
Human;Mouse;Rat
- 保质期:
一年
- 供应商:
北京索莱宝科技有限公司
- 克隆性:
Polyclonal Antibody
- 保存条件:
Store at -20℃. Avoid freeze / thaw cycles.
- 亚型:
IgG
- 免疫原:
Recombinant protein of human MUSK
- 规格:
50ul
| 中文名称 | 骨骼受体酪氨酸蛋白激酶抗体 |
| 靶标 | MUSK |
| 别名 | CMS9; FADS; MDK 4; MDK4; MGC126323; MGC126324; Muscle; Muscle associated receptor tyrosine kinase; Muscle skeletal receptor tyrosine kinase; Muscle skeletal receptor tyrosine protein kinase; Muscle specific kinase receptor; Muscle specific tyrosine kinase receptor; Muscle specific tyrosine protein kinase receptor; Muscle-specific kinase receptor; Muscle-specific tyrosine-protein kinase receptor; MuSK; MUSK_HUMAN; Neural fold somite kinase 1; Neural fold somite kinase 2; Neural fold somite kinase 3; Neural fold somite kinase1; Neural fold somite kinase2; Neural fold somite kinase3; Nsk 1; Nsk 2; Nsk 3; Nsk1; Nsk2; Nsk3; Receptor tyrosine kinase MuSK; Skeletal muscle receptor tyrosine kinase; skeletal receptor tyrosine-protein kinase |
| 背景资料 | This gene encodes a muscle-specific tyrosine kinase receptor. The encoded protein may play a role in clustering of the acetylcholine receptor in the postsynaptic neuromuscular junction. Mutations in this gene have been associated with congenital myasthenic syndrome. Alternatively spliced transcript variants have been described. |
| Swiss Prot | O15146 |
| Gene ID | 4593 |
| 亚细胞定位 | Cytoplasm Cell membrane |
| 宿主 | Rabbit |
| 克隆类型 | Polyclonal Antibody |
| 亚型 | IgG |
| 预测交叉反应 | Bovine |
| 蛋白分子量 | 86/88/97kDa |
| 实际分子量 | 100kDa |
| 稀释比例 | WB 1:1000-3000. IHC 1:100-300. |
| 免疫原 | Recombinant protein of human MUSK |
| Public Immunogen Range | 20-370aa |
| 纯化方法 | Affinity purification |
| 储存液 | Buffer: PBS with 0.03% Proclin300, 50% glycerol, pH7.3. |
| 保存 | Store at -20℃. Avoid freeze / thaw cycles. |
| 交叉反应 | Human;Mouse;Rat |
| 应用 | WB;IHC |
| 规格 | 50ul 100ul |
| 单位 | 支 |
备注:
以上数据均来自公开文献, Solarbio暂未进行独立验证, 仅供参考。
These protocols are for reference only. Solarbio does not independently validate these methods.
温馨提示:
使用前请离心。如有问题请及时联系我们。
Quick spin before use. If you have any questions, please contact us.
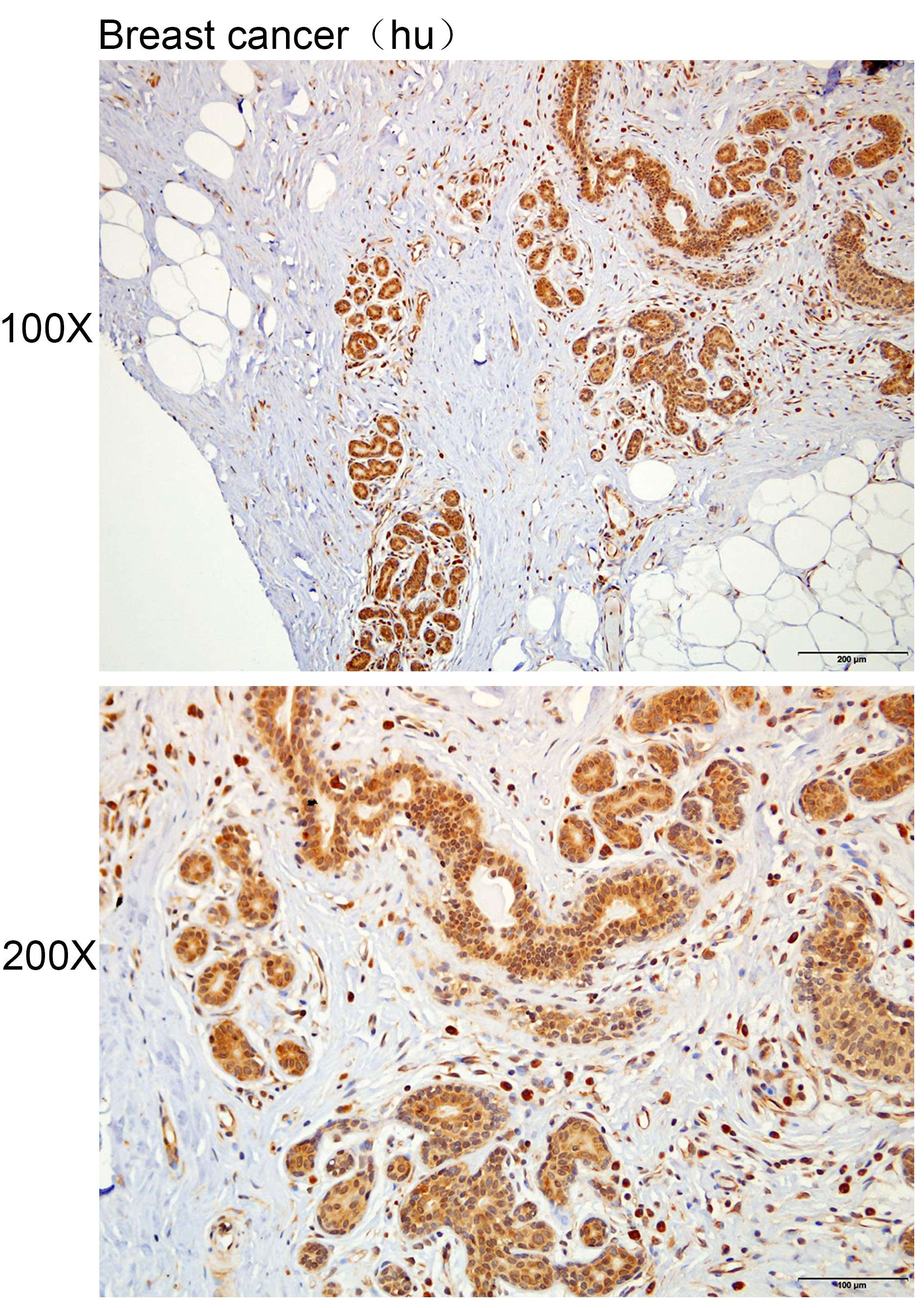
实验图
"Western blot analysis with MUSK antibody diluted at 1:2000;Lane: SW480
Immunohistochemistry of paraffin-embedded human breast cancer with MUSK antibody diluted at 1:200.
风险提示:丁香通仅作为第三方平台,为商家信息发布提供平台空间。用户咨询产品时请注意保护个人信息及财产安全,合理判断,谨慎选购商品,商家和用户对交易行为负责。对于医疗器械类产品,请先查证核实企业经营资质和医疗器械产品注册证情况。
文献和实验Polyclonal Antibody Production
, if desired this is best accomplished by Protein A Affinity Chromatography. 上一篇:make an Antibody against a Peptides 下一篇:Immunization Protocol for Monoclonal Antibody Production
Polyclonal Antibody Production
Polyclonal Antibody Production Very useful for rapid and simple generation of antibodies for western blots, ELISA assays, and immunoprecipitation. Rabbit Immunization Initial Preparation Your antigen
a simple ELISA method to detect human anti-antibody response.
技术资料暂无技术资料 索取技术资料









