相关产品推荐更多 >
万千商家帮你免费找货
0 人在求购买到急需产品
- 详细信息
- 文献和实验
- 技术资料
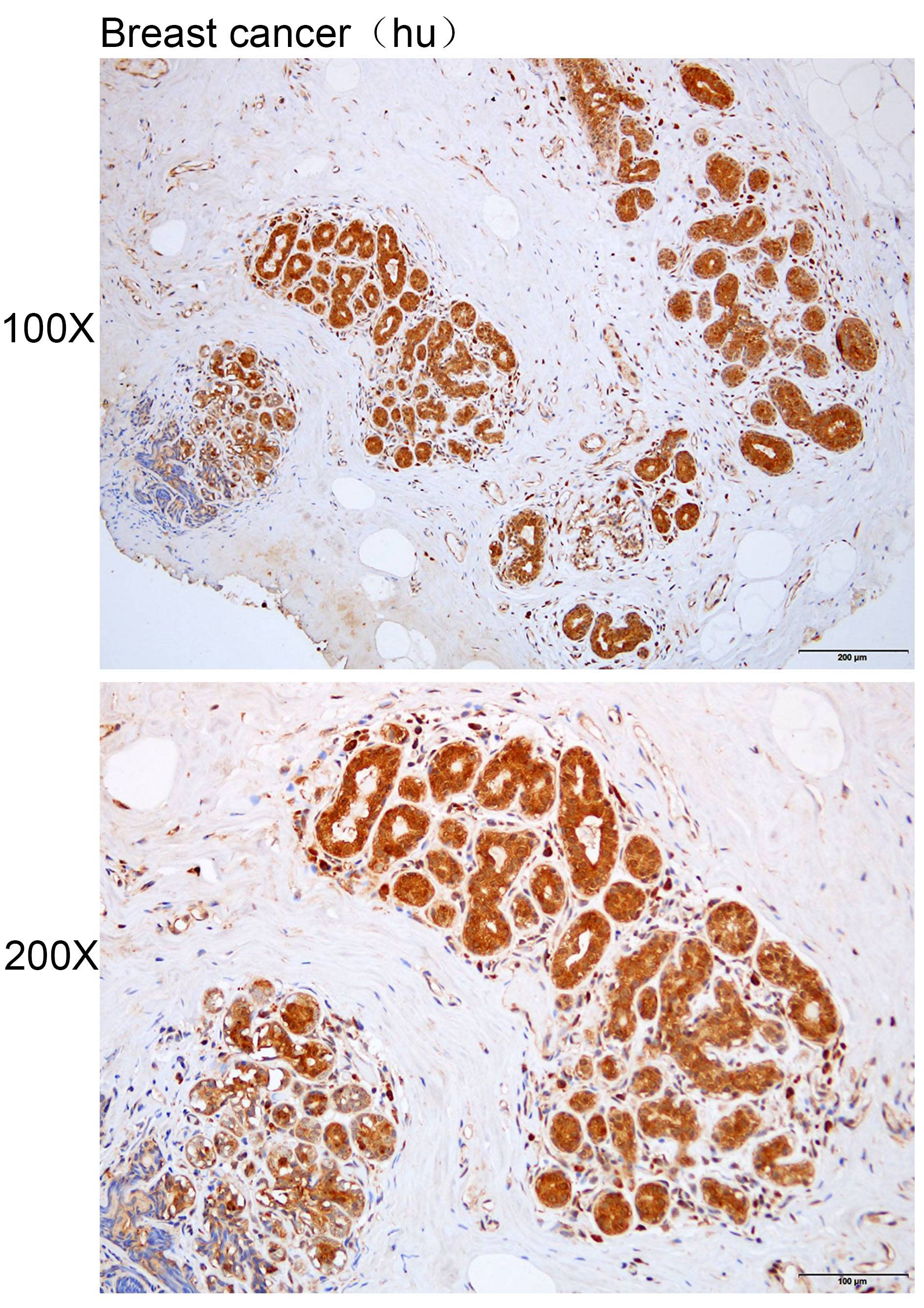
- 抗体名:
具有SH3结构域、锚蛋白重复序列和PH结构域的ArfGAP蛋白2抗体
- 抗体英文名:
Anti-ASAP2 Polyclonal Antibody
- 靶点:
ASAP2
- 浓度:
IHC 1:50-200.
- 应用范围:
IHC
- 宿主:
Rabbit
- 适应物种:
Human;Mouse
- 保质期:
1-3年
- 抗原来源:
Recombinant protein of human ASAP2
- 目录编号:
8853
- 级别:
科研级别
- 库存:
999
- 供应商:
北京索莱宝科技有限公司
- 标记物:
Biotin,Cy3,Cy3.5,Cy5,Cy5.5,Cy7,FITC,HRP,RBITC,SAlexa Fluor 350,SAlexa Fluor 405,SAlexa Fluor 488,SAlexa Fluor 532,SAlexa Fluor 555,SAlexa Fluor 568,SAlexa Fluor 594,SAlexa Fluor 633,SAlexa Fluor 640,SAlexa Fluor 647,SAlexa Fluor 660,SAlexa Fluor 680,SAlexa Fluor 750
- 克隆性:
多克隆
- 保存条件:
Store at -20℃. Avoid freeze / thaw cycles.
- 形态:
液体/冻干粉
- 亚型:
IgG
- 免疫原:
Recombinant protein of human ASAP2
- 规格:
50ul/100ul
| 规格: | 50ul | 产品价格: | ¥960.0 |
|---|---|---|---|
| 规格: | 100ul | 产品价格: | ¥1600.0 |
This gene encodes a multidomain protein containing an N-terminal alpha-helical region with a coiled-coil motif, followed by a pleckstrin homology (PH) domain, an Arf-GAP domain, an ankyrin homology region, a proline-rich region, and a C-terminal Src homology 3 (SH3) domain. The protein localizes in the Golgi apparatus and at the plasma membrane, where it colocalizes with protein tyrosine kinase 2-beta (PYK2). The encoded protein forms a stable complex with PYK2 in vivo. This interaction appears to be mediated by binding of its SH3 domain to the C-terminal proline-rich domain of PYK2. The encoded protein is tyrosine phosphorylated by activated PYK2. It has catalytic activity for class I and II ArfGAPs in vitro, and can bind the class III Arf ARF6 without immediate GAP activity. The encoded protein is believed to function as an ARF GAP that controls ARF-mediated vesicle budding when recruited to Golgi membranes. In addition, it functions as a substrate and downstream target for PYK2 and SRC, a pathway that may be involved in the regulation of vesicular transport. Multiple transcript variants encoding different isoforms have been found for this gene. [provided by RefSeq, Sep 2008]
风险提示:丁香通仅作为第三方平台,为商家信息发布提供平台空间。用户咨询产品时请注意保护个人信息及财产安全,合理判断,谨慎选购商品,商家和用户对交易行为负责。对于医疗器械类产品,请先查证核实企业经营资质和医疗器械产品注册证情况。
文献和实验Polyclonal Antibody Production
, if desired this is best accomplished by Protein A Affinity Chromatography. 上一篇:make an Antibody against a Peptides 下一篇:Immunization Protocol for Monoclonal Antibody Production
Polyclonal Antibody Production
Polyclonal Antibody Production Very useful for rapid and simple generation of antibodies for western blots, ELISA assays, and immunoprecipitation. Rabbit Immunization Initial Preparation Your antigen
a simple ELISA method to detect human anti-antibody response.












