相关产品推荐更多 >
万千商家帮你免费找货
0 人在求购买到急需产品
- 详细信息
- 技术资料
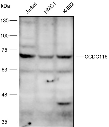
- 抗体名:
卷曲螺旋结构域包含蛋白116抗体
- 抗体英文名:
Anti-CCDC116 Polyclonal Antibody
- 靶点:
CCDC116
- 浓度:
WB 1:1000-3000.
- 应用范围:
WB
- 宿主:
Rabbit
- 适应物种:
Human;Mouse;Rat
- 保质期:
1-3年
- 抗原来源:
Recombinant protein of human CCDC116
- 目录编号:
164592
- 级别:
科研级别
- 库存:
999
- 供应商:
北京索莱宝科技有限公司
- 标记物:
Biotin,Cy3,Cy3.5,Cy5,Cy5.5,Cy7,FITC,HRP,RBITC,SAlexa Fluor 350,SAlexa Fluor 405,SAlexa Fluor 488,SAlexa Fluor 532,SAlexa Fluor 555,SAlexa Fluor 568,SAlexa Fluor 594,SAlexa Fluor 633,SAlexa Fluor 640,SAlexa Fluor 647,SAlexa Fluor 660,SAlexa Fluor 680,SAlexa Fluor 750
- 克隆性:
多克隆
- 保存条件:
Store at -20℃. Avoid freeze / thaw cycles.
- 形态:
液体/冻干粉
- 亚型:
IgG
- 免疫原:
Recombinant protein of human CCDC116
- 规格:
50ul/100ul
| 规格: | 50ul | 产品价格: | ¥960.0 |
|---|---|---|---|
| 规格: | 100ul | 产品价格: | ¥1600.0 |
CCDC116 is a 515 amino acid protein that exists as two alternatively spliced isoforms. Encoded by a gene that maps to human chromosome 22q11.21, CCDC116 is induced by curcumin (diferulolylmethane), although its role is unclear. CCDC116 is significantly affected by dietary curcumin, which may have a protective role in inflammatory bowel disease (IBD) and may reduce the relapse rate in human ulcerative colitis (UC). As the second smallest human chromosome, chromosome 22 contains over 500 genes and about 49 million bases. Phelan-McDermid syndrome, Neurofibromatosis type 2 and autism are associated with chromosome 22. A schizophrenia susceptibility locus has been identified on chromosome 22 and studies show that 22q11 deletion symptoms include a high incidence of schizophrenia. Translocation between chromosomes 9 and 22 may lead to the formation of Philadelphia Chromosome and subs equent production of a novel fusion protein known as BCR-Abl, a potent cell proliferation activator found in several types of leukemia.
风险提示:丁香通仅作为第三方平台,为商家信息发布提供平台空间。用户咨询产品时请注意保护个人信息及财产安全,合理判断,谨慎选购商品,商家和用户对交易行为负责。对于医疗器械类产品,请先查证核实企业经营资质和医疗器械产品注册证情况。








