相关产品推荐更多 >
万千商家帮你免费找货
0 人在求购买到急需产品
- 详细信息
- 技术资料
- 靶点:
KIAA0562
- 应用范围:
IHC
- 宿主:
Rabbit
- 适应物种:
Human;Mouse
- 保质期:
一年
- 供应商:
北京索莱宝科技有限公司
- 克隆性:
Polyclonal Antibody
- 保存条件:
Store at -20℃. Avoid freeze / thaw cycles.
- 亚型:
IgG
- 免疫原:
Recombinant protein of human KIAA0562
- 规格:
50ul
产品简介
备注:
以上数据均来自公开文献, Solarbio暂未进行独立验证, 仅供参考。
These protocols are for reference only. Solarbio does not independently validate these methods.
温馨提示:
使用前请离心。如有问题请及时联系我们。
Quick spin before use. If you have any questions, please contact us.
实验图
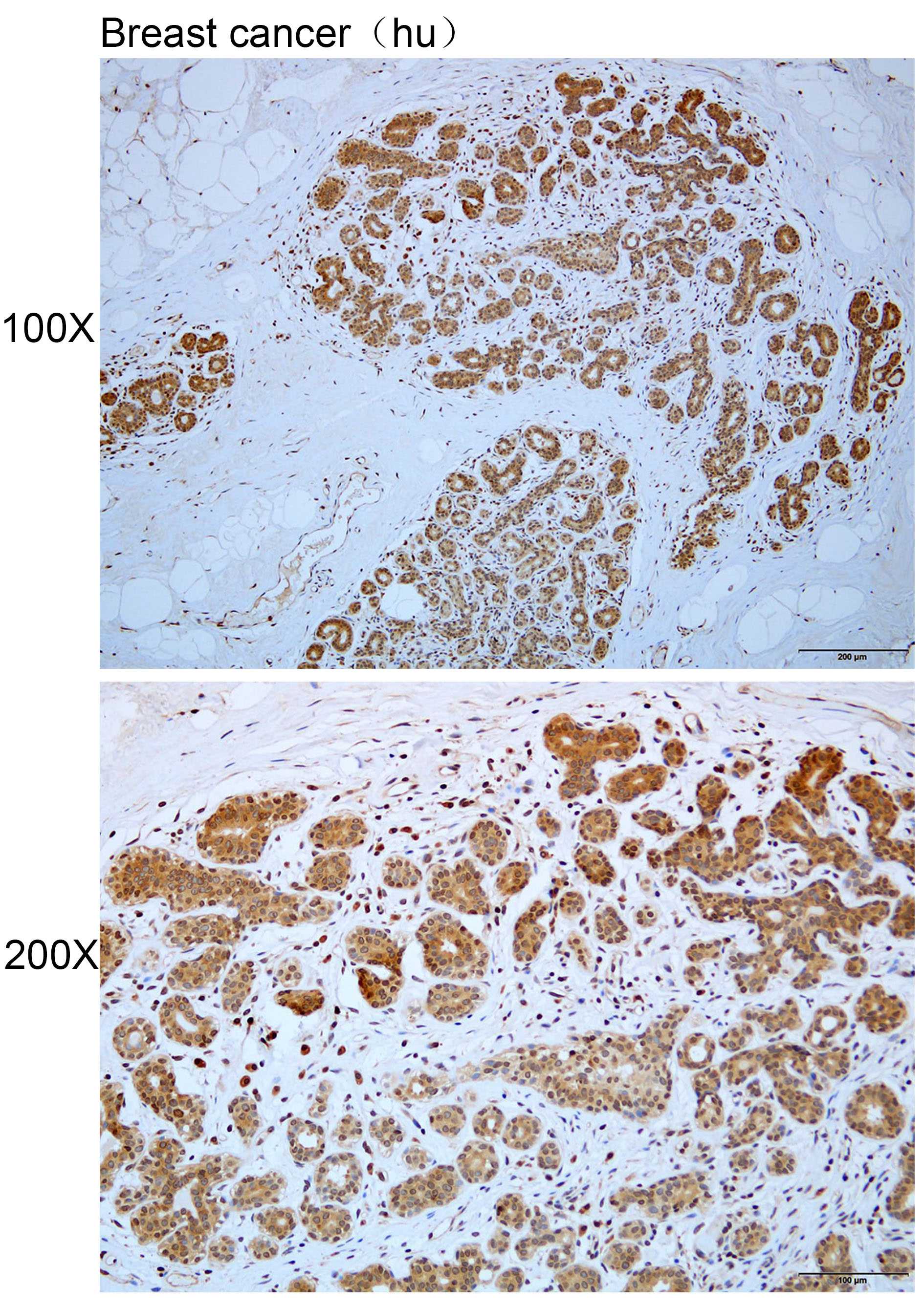
Immunohistochemistry of paraffin-embedded human breast cancer with KIAA0562 antibody diluted at 1:100.
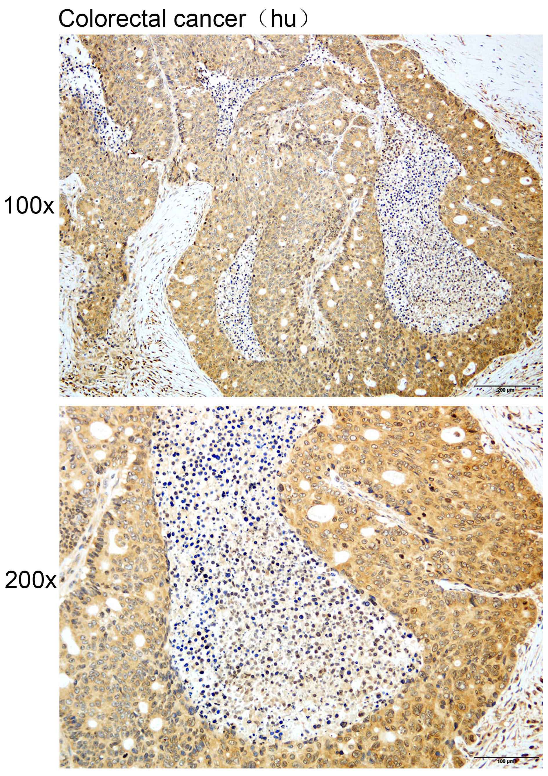
Immunohistochemistry of paraffin-embedded human colorectal cancer with KIAA0562 antibody diluted at 1:100.
| 靶标 | KIAA0562 |
| 别名 | CE104_HUMAN; Centrosomal protein of 104 kDa; Cep104; GlyBP; KIAA0562; LOC246295; RP1-286D6.4 |
| 背景资料 | Binds peptides derived from antigens that access the endocytic route of antigen presenting cells (APC) and presents them on the cell surface for recognition by the CD4 T-cells. The peptide binding cleft accommodates peptides of 10-30 residues. The peptides presented by MHC class II molecules are generated mostly by degradation of proteins that access the endocytic route, where they are processed by lysosomal proteases and other hydrolases. Exogenous antigens that have been endocytosed by the APC are thus readily available for presentation via MHC II molecules, and for this reason this antigen presentation pathway is usually referred to as exogenous. As membrane proteins on their way to degradation in lysosomes as part of their normal turn-over are also contained in the endosomal/lysosomal compartments, exogenous antigens must compete with those derived from endogenous components. Autophagy is also a source of endogenous peptides, autophagosomes constitutively fuse with MHC class II loading compartments. In addition to APCs, other cells of the gastrointestinal tract, such as epithelial cells, express MHC class II molecules and CD74 and act as APCs, which is an unusual trait of the GI tract. To produce a MHC class II molecule that presents an antigen, three MHC class II molecules (heterodimers of an alpha and a beta chain) associate with a CD74 trimer in the ER to form a heterononamer. Soon after the entry of this complex into the endosomal/lysosomal system where antigen processing occurs, CD74 undergoes a sequential degradation by various proteases, including CTSS and CTSL, leaving a small fragment termed CLIP (class-II-associated invariant chain peptide). The removal of CLIP is facilitated by HLA-DM via direct binding to the alpha-beta-CLIP complex so that CLIP is released. HLA-DM stabilizes MHC class II molecules until primary high affinity antigenic peptides are bound. The MHC II molecule bound to a peptide is then transported to the cell membrane surface. In B-cells, the interaction between HLA-DM and MHC class II molecules is regulated by HLA-DO. Primary dendritic cells (DCs) also to express HLA-DO. Lysosomal microenvironment has been implicated in the regulation of antigen loading into MHC II molecules, increased acidification produces increased proteolysis and efficient peptide loading. |
| Swiss Prot | O60308 |
| Gene ID | 9731 |
| 亚细胞定位 | Cytoplasm |
| 宿主 | Rabbit |
| 克隆类型 | Polyclonal Antibody |
| 亚型 | IgG |
| 蛋白分子量 | 27/63/104kDa |
| 稀释比例 | IHC 1:50-200. |
| 免疫原 | Recombinant protein of human KIAA0562 |
| Public Immunogen Range | 1-245aa |
| 纯化方法 | Affinity purification |
| 储存液 | Buffer: PBS with 0.03% Proclin300, 50% glycerol, pH7.3. |
| 保存 | Store at -20℃. Avoid freeze / thaw cycles. |
| 交叉反应 | Human;Mouse |
| 应用 | IHC |
| 规格 | 50ul 100ul |
| 单位 | 支 |
备注:
以上数据均来自公开文献, Solarbio暂未进行独立验证, 仅供参考。
These protocols are for reference only. Solarbio does not independently validate these methods.
温馨提示:
使用前请离心。如有问题请及时联系我们。
Quick spin before use. If you have any questions, please contact us.
实验图
Immunohistochemistry of paraffin-embedded human breast cancer with KIAA0562 antibody diluted at 1:100.
Immunohistochemistry of paraffin-embedded human colorectal cancer with KIAA0562 antibody diluted at 1:100.
风险提示:丁香通仅作为第三方平台,为商家信息发布提供平台空间。用户咨询产品时请注意保护个人信息及财产安全,合理判断,谨慎选购商品,商家和用户对交易行为负责。对于医疗器械类产品,请先查证核实企业经营资质和医疗器械产品注册证情况。
技术资料暂无技术资料 索取技术资料
Anti-KIAA0562 Polyclonal Antibody
¥960








