相关产品推荐更多 >
万千商家帮你免费找货
0 人在求购买到急需产品
- 详细信息
- 文献和实验
- 技术资料
- 品系:
人胶质母细胞瘤
- 细胞类型:
人胶质母细胞瘤
- 肿瘤类型:
人胶质母细胞瘤
- 供应商:
优利科(上海)生命科学有限公司
- 库存:
12
- 英文名:
Human Glioblastoma Cells ,T98G
- 生长状态:
贴壁生长
- 年限:
永久
- 运输方式:
快递形式
- 器官来源:
脑
- 是否是肿瘤细胞:
是
- 细胞形态:
成纤维细胞,贴壁生长
- 免疫类型:
/
- 物种来源:
人胶质母细胞瘤
- 相关疾病:
胶质母细胞瘤
- 组织来源:
人胶质母细胞瘤
- 规格:
1x10^6
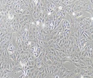
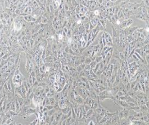
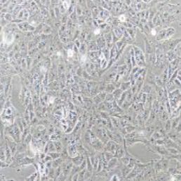
T98G人胶质母细胞瘤(提供STR鉴定报告)细胞介绍
Human Glioblastoma Cells ,T98G
T98G人胶质母细胞瘤(提供STR鉴定报告)细胞特性
1) 来源:脑
2) 形态:成纤维细胞,贴壁生长
3) 含量:>1x10^6 细胞数
4) 规格:T25瓶或者1mL冻存管包装
5) 用途:仅供科研使用。

T98G人胶质母细胞瘤(提供STR鉴定报告)运输和保存
干冰运输及复苏好存活细胞
(1)1mL冻存管包装干冰运输,收到后-80度冰箱保存过夜后转入液氮或直接复苏,若发现干冰已挥发干净、冻存管瓶盖脱落、破损及细胞有污染,请立即与我们联系。
(2)T25瓶复苏的存活细胞常温发货,收到后按照细胞接收后的处理方法操作。

T98G人胶质母细胞瘤(提供STR鉴定报告)培养基及培养冻存条件准备:
1) 准备MEM培养基;优质胎牛血清,10%;双抗,1%。
2) 培养条件: 气相:空气,95%;二氧化碳,5%。 温度:37摄氏度,培养箱湿度为70%-80%。
3) 冻存液:90%血清,10%DMSO,现用现配。

T98G人胶质母细胞瘤(提供STR鉴定报告)接收后的处理
1)收到细胞后,75%酒精消毒瓶壁将T25瓶置于37℃培养箱放置约2-3h,若发现培养瓶破损、有液溢出及细胞有污染,请拍照后及时联系我们。
2)请在4或5X显微镜下确认细胞状态,同时给刚收到的细胞拍照(10×,20×)各2-3张以及培养瓶外观照片一张留存,作为售后时收到时细胞状态的依据。
3)贴壁细胞:细胞在37℃培养箱中放置2-3h,显微镜下观察细胞的生长和贴壁情况,有些贴壁细胞在快递运送过程中会因振动脱落和脱落后成团的情况。若镜下观察细胞的生长密度若在60%以下,可去除培养瓶中灌液培养基(若有未贴壁的细胞需要离心回收,重悬打入到原培养瓶中),加入新配制的完全培养基6-8mL,放到细胞培养箱中继续培养。若细胞生长密度达70%-80%以上,可以对细胞进行传代处理。传代过程中,若因运输振动脱落的细胞需要离心回收。
4)备注:运输用的培养基(灌液培养基)不能再用来培养细胞,请换用按照说明书细胞培养条件新配制的完全培养基来培养细胞。 收到细胞后第一次传代建议T25培养瓶1:2传代 。

T98G人胶质母细胞瘤(提供STR鉴定报告)相关产品:
| 人胃癌细胞 | MKN-45 |
| 人胃癌细胞 | MKN-74 |
| 人多发性骨髓瘤细胞 | MM.1R |
| 人多发性骨髓瘤细胞 | MM.1S |
| 人急性淋巴母细胞白血病细胞 | MOLT-4 |
| 人急性单核细胞白血病细胞 | MonoMac6 |
| 人胚肺成纤维细胞 | MRC-5(有限细胞系) |
| 人子宫颈表皮癌细胞 | MS751 |
| 人急性淋巴母细胞白血病细胞 | MT-4 |
| 人侵袭性脉络膜黑色素瘤细胞 | MUM2B |
风险提示:丁香通仅作为第三方平台,为商家信息发布提供平台空间。用户咨询产品时请注意保护个人信息及财产安全,合理判断,谨慎选购商品,商家和用户对交易行为负责。对于医疗器械类产品,请先查证核实企业经营资质和医疗器械产品注册证情况。
文献和实验









