相关产品推荐更多 >
万千商家帮你免费找货
0 人在求购买到急需产品
- 详细信息
- 文献和实验
- 技术资料
- 品系:
人肺癌细胞
- 细胞类型:
人肺癌细胞
- 肿瘤类型:
人肺癌细胞
- 供应商:
优利科(上海)生命科学有限公司
- 库存:
15
- 英文名:
Human Lung Cancer Cells ,PC9
- 生长状态:
贴壁生长
- 年限:
永久
- 运输方式:
快递形式
- 器官来源:
人,肺腺癌组织
- 是否是肿瘤细胞:
是
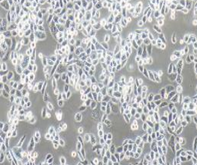
- 细胞形态:
上皮样,多数贴壁少量悬浮
- 免疫类型:
/
- 物种来源:
人肺癌细胞
- 相关疾病:
肺癌
- 组织来源:
人,肺腺癌组织
- 规格:
1x10^6
PC-9人肺癌细胞(提供STR鉴定报告)细胞介绍
来源于人类腺癌的肺组织,至今仍有分化。
PC-9人肺癌细胞(提供STR鉴定报告)细胞特性
1) 来源:人,肺腺癌组织
2) 形态:上皮样,多数贴壁少量悬浮,
3) 含量:>1x10^6 细胞数
4) 规格:T25瓶或者1mL冻存管包装
5) 用途:仅供科研使用。

PC-9人肺癌细胞(提供STR鉴定报告)运输和保存
干冰运输及复苏好存活细胞
(1)1mL冻存管包装干冰运输,收到后-80度冰箱保存过夜后转入液氮或直接复苏,若发现干冰已挥发干净、冻存管瓶盖脱落、破损及细胞有污染,请立即与我们联系。
(2)T25瓶复苏的存活细胞常温发货,收到后按照细胞接收后的处理方法操作。

PC-9人肺癌细胞(提供STR鉴定报告)培养基及培养冻存条件准备:
1) 准备1640培养基;优质胎牛血清,10%;双抗,1%。
注:上皮样细胞,多数贴壁,圆形细胞和梭形细胞同时存在。传代冻存时请收集圆形悬浮细胞。
2) 培养条件: 气相:空气,95%;二氧化碳,5%。 温度:37摄氏度,培养箱湿度为70%-80%。
3) 冻存液:90%血清,10%DMSO,现用现配。

PC-9人肺癌细胞(提供STR鉴定报告)接收后的处理
1)收到细胞后,75%酒精消毒瓶壁将T25瓶置于37℃培养箱放置约2-3h,若发现培养瓶破损、有液溢出及细胞有污染,请拍照后及时联系我们。
2)请在4或5X显微镜下确认细胞状态,同时给刚收到的细胞拍照(10×,20×)各2-3张以及培养瓶外观照片一张留存,作为售后时收到时细胞状态的依据。
3)贴壁细胞:细胞在37℃培养箱中放置2-3h,显微镜下观察细胞的生长和贴壁情况,有些贴壁细胞在快递运送过程中会因振动脱落和脱落后成团的情况。若镜下观察细胞的生长密度若在60%以下,可去除培养瓶中灌液培养基(若有未贴壁的细胞需要离心回收,重悬打入到原培养瓶中),加入新配制的完全培养基6-8mL,放到细胞培养箱中继续培养。若细胞生长密度达70%-80%以上,可以对细胞进行传代处理。传代过程中,若因运输振动脱落的细胞需要离心回收。
4)备注:运输用的培养基(灌液培养基)不能再用来培养细胞,请换用按照说明书细胞培养条件新配制的完全培养基来培养细胞。 收到细胞后第一次传代建议T25培养瓶1:2传代 。

PC-9人肺癌细胞(提供STR鉴定报告)相关产品:
| 人胃癌细胞 | MKN-45 |
| 人胃癌细胞 | MKN-74 |
| 人多发性骨髓瘤细胞 | MM.1R |
| 人多发性骨髓瘤细胞 | MM.1S |
| 人急性淋巴母细胞白血病细胞 | MOLT-4 |
| 人急性单核细胞白血病细胞 | MonoMac6 |
| 人胚肺成纤维细胞 | MRC-5(有限细胞系) |
| 人子宫颈表皮癌细胞 | MS751 |
| 人急性淋巴母细胞白血病细胞 | MT-4 |
| 人侵袭性脉络膜黑色素瘤细胞 | MUM2B |
风险提示:丁香通仅作为第三方平台,为商家信息发布提供平台空间。用户咨询产品时请注意保护个人信息及财产安全,合理判断,谨慎选购商品,商家和用户对交易行为负责。对于医疗器械类产品,请先查证核实企业经营资质和医疗器械产品注册证情况。
文献和实验littleyan0418 我现在的任务是要构建人肺癌细胞的cDNA文库,但我不是这个方面科班出身,好多地方还不是很明白,想请教师兄师姐的经验,应该注意些什么。现在对总RNA的提取我有点找不出头绪。麻烦师兄师姐们可以给我分享些这方面的资料和网址吗?非常感谢!! neuronboy http://www.takara.com.cn/ 价格、试剂盒和说明书都有。呵呵 littleyan0418
我培养过不少肺癌细胞(人类),其中绝大部分都是贴壁细胞,具体如: (1) A549(肺腺癌) (2) NCIH446(小肺细胞癌) (3) 801(非小肺细胞癌) (4) NCIH460 (大细胞肺癌) 在消化传代过程中,步骤基本一致: 吸去旧的培养液->用Hanks'(1X)清洗一两次->加入一定量的消化液(Trpsin-EDTA)->置显微镜下观察,待细胞大部分变圆时,回到超静台->吸去消化液->加入一定量的新培养液->反复吹打细胞->再置显微镜下观察,直到细胞全部悬浮起来->
所需的D-HANK'S液和胰酶和用1640配置的适当浓度小牛血清最好都放在37度预热十分钟左右,让它们和细胞生长环境的温度是一样的。这样能达到既对细胞没有外来刺激的作用又能达到反应的最佳条件。我用的是小培养瓶,方法是:先把旧的培养液倒掉,用D-HANK'S大约3ml洗一次,加浓度为0.1%的胰酶进行消化,添加量只要能均匀的覆盖培养瓶底,大约要1.5ml,最好把瓶盖旋紧放到37度培养箱里培养3-5分钟,在显微镜下观察细胞收缩,变圆,加入3ml的10%的血清终止消化。小心仔细的吹打培养瓶底使细胞











