万千商家帮你免费找货
0 人在求购买到急需产品
- 详细信息
- 技术资料
- 供应商:
一研
- 库存:
53
- 靶点:
说明书
- 级别:
说明书
- 目录编号:
说明书
- 克隆性:
多克隆
- 抗原来源:
Rabbit
- 保质期:
说明书
- 抗体英文名:
AP2 alpha
- 抗体名:
转录激活蛋白2α/TFAP2α/AP-2α抗体
- 标记物:
Unconjugated
- 宿主:
说明书
- 适应物种:
说明书
- 免疫原:
KLH conjugated synthetic peptide derived from human AP2 alpha
- 亚型:
LgG
- 形态:
液体
- 应用范围:
说明书
- 保存条件:
Shipped at 4℃. Store at -20 °C for one year. Avoid repeated freeze/thaw cycles.
- 浓度:
1mg/ml
- 规格:
100ul




| 产品名称:转录激活蛋白2α/TFAP2α/AP-2α抗体 英文名称:AP2 alpha 英文别名:Activating enhancer binding protein 2 alpha; Activating enhancer-binding protein 2-alpha; Activator protein 2; AP 2; AP 2 transcription factor; AP 2alpha; AP-2; AP-2 transcription factor; AP2; AP2 Transcription Factor; AP2-alpha; AP2A_HUMAN; AP2TF; BOFS; Clathrin Adaptor Protein Complex; FLJ51761; TFAP 2; TFAP 2A; TFAP2; TFAP2A; Transcription factor AP 2 alpha (activating enhancer binding protein 2 alpha); Transcription factor AP 2 alpha; Transcription factor AP-2-alpha; Transcription factor AP2 alpha. 交叉反应: Human, Mouse, Rat, Chicken, Dog, Pig, Cow, Horse, Rabbit, Sheep 标记: Unconjugated 抗体来源: Rabbit 抗体类型: Polyclonal 免疫原: KLH conjugated synthetic peptide derived from human AP2 alpha 蛋白细胞定位: 细胞核 纯化方法: affinity purified by Protein A 亚型: IgG 性状: Liquid 浓度: 1mg/ml 储存液: 0.01M TBS(pH7.4) with 1% BSA, 0.03% Proclin300 and 50% Glycerol. 保存条件: Shipped at 4℃. Store at -20 °C for one year. Avoid repeated freeze/thaw cycles. 背景资料: The protein encoded by this gene is a transcription factor that binds the consensus sequence 5'-GCCNNNGGC-3'. The encoded protein functions as either a homodimer or as a heterodimer with similar family members. This protein activates the transcription of some genes while inhibiting the transcription of others. Defects in this gene are a cause of branchiooculofacial syndrome (BOFS). Three transcript variants encoding different isoforms have been found for this gene. |
| 产品名称 | 浓度 | 型号 |
| 转录激活蛋白2α/TFAP2α/AP-2α抗体 | 1mg/ml | EY-01K5610 |
(1)结合特异性抗原:抗体与其他免疫球蛋白分子区别,就在于抗体能与相应抗原发生特异性结合,在体内导致生理或病理效应;在体外产生各种直接或间接的可见的抗原抗体结合反应。抗体是靠其分子上的特殊的结合部位与抗原结合的。
(2)激活补体:抗体与相应抗原结合后,借助暴露的补体结合点去激活补体系统、激发补体的溶菌、溶细胞等免疫作用。
(3)结合细胞:不同类别的免疫球蛋白,可结合不同种的细胞,产生不同的疚,参与免疫应答。
(4)可通过胎盘及粘膜:免疫球蛋白G(IgG)能通过胎盘进入胎儿血流中,使胎儿形成自然被动免疫。免疫球蛋白A(IgA)可通过消化道及呼吸道粘膜,是粘膜局部抗感染免疫的主要因素。
(5)具有抗原性:抗体分子是一种蛋白质,也具有刺激机体产生免疫应答的性能。不同的免疫球蛋白分子,各具有不同的抗原性。
(6)抗体对理化因子的抵抗力与一般球蛋白相同:不耐热,60~70℃即被破坏。各种酶及能使蛋白质凝固变性的物质,均能破坏抗体的作用。抗体可被中性盐类沉淀。在上常可用硫酸铵或硫酸钠从免疫血清中沉淀出含有抗体的球蛋白,再经透析法将其纯化。
实验原理 :
(1)特异性结合抗原:抗体本身不能直接溶解或杀伤带有特异抗原的靶细胞,通常需要补体或吞噬细胞等共同发挥效应以清除病原微生物或导致病理损伤。然而,抗体可通过与病毒或毒素的特异性结合,直接发挥中和病毒的作用。
(2)活补体:IgM、IgG1、IgG2和IgG3可通过经典途径激活补体,凝聚的IgA、IgG4和IgE可通过替代途径激活补体。
(3)结合细胞:不同类别的免疫球蛋白,可结合不同种的细胞,参与免疫应答。
(4)可通过胎盘及粘膜:免疫球蛋白G(IgG)能通过胎盘进入胎儿血流中,使胎儿形成自然被动免疫。免疫球蛋白A(IgA)可通过消化道及呼吸道粘膜,是粘膜局部抗感染免疫的主要因素。
(5)具有抗原性:抗体分子是一种蛋白质,也具有刺机体产生免疫应答的性能。不同的免疫球蛋白分子,各具有不同的抗原性。
(6)抗体对理化因子的抵抗力与一般球蛋白相同:不耐热,60~70℃即被破坏。各种酶及能使蛋白质凝固变性的物质,均能破坏抗体的作用。抗体可被中性盐类沉淀。在上常可用硫酸铵或硫酸钠从免疫血清中沉淀出含有抗体的球蛋白,再经透析法将其纯化。
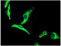
免疫荧光技术的实验步骤:
一、准备好试剂与仪器:
磷酸盐缓冲盐水、荧光标记的抗体溶液、缓冲甘油、搪瓷桶三只、有盖搪瓷盒一只、荧光显微镜、玻片架、滤纸、37℃温箱等。
二、实验步骤
1.滴加0.01mol/L,pH7.4的PBS于待检标本片上,十分钟后弃去,使标本保持一定湿度。
2.滴加适当稀释的荧光标记的抗体溶液,使其完全覆盖标本,置于有盖搪瓷盒内,保温一定时间以三十分钟为参考。
3.取出玻片,置玻片架上,先用0.01mol/L,pH7.4的PBS冲洗后,再按顺序过0.01mol/L,pH7.4的PBS三缸浸泡,每缸三到五分钟,并不停地摇晃振荡。
4.取出玻片,用滤纸吸去多余水分,但不使标本干燥,加一滴缓冲甘油,以盖玻片覆盖。
5.立即用荧光显微镜观察。观察标本的特异性荧光强度。
SS ELISA Kit 大鼠Multi-class antibodies规格: 48T
Anti-14-3-3/RBITC 红色荧光素罗丹明标记14-3-3抗体IgGMulti-class antibodies规格: 0.2ml
Rhesus antibody Rh FOS B FosB抗体 规格 0.1ml
NGAL(Mouse neutrophil gelatinase-associated lipocalin) ELISA Kit 小鼠中性粒明胶酶相关脂质运载 96T
NDUFS2 NDUFS2抗体 0.1ml
ADAMTSL1 整合素样金属酶与样1抗体 0.2ml
Anti-14-3-3/RBITC 红色荧光素罗丹明标记14-3-3抗体IgGMulti-class antibodies规格: 0.2ml
Anti-FGF4/HSTF1/HBGF-4/FITC 荧光素标记纤维母生长4抗体IgGMulti-class antibodies规格: 0.2ml
Anti-Nestin/RBITC 红色荧光素罗丹明(RBITC)标记巢/神经上皮干抗体IgGMulti-class antibodies规格: 0.2ml
Rhesus antibody Rh C11orf65 11号染色体开放阅读框65抗体 规格 0.2ml
BCHE(butyrylcholinesterase)CT 丁酰脂酶抗原(C端) 0.5mg
HIV1 gp160 艾滋毒-1包膜糖抗体 0.1ml
Rhesus antibody Rh RNF170 环指170抗体 规格 0.2ml
Anti-Nestin/RBITC 红色荧光素罗丹明(RBITC)标记巢/神经上皮干抗体IgGMulti-class antibodies规格: 0.2ml
ALP ELISA Kit 大鼠碱性磷酸酶Multi-class antibodies规格: 48T
Anti-TETRODOTOXIN ( TTX ) 河素抗体Multi-class antibodies规格: 0.1ml
Rhesus antibody Rh Goat Anti-Bovine IgG/Cy3 Cy3标记的羊抗IgG 规格 0.1ml
Ag-NORs(Human Argyrophilic nucleolar organizer region proteins) ELISA Kit 人核仁形成区嗜银 96T
NEDD4L 泛素连接酶NEDD4-2抗体 0.2ml
phospho-beta catenin (Tyr142) 磷酸化β 连环素抗体 0.1ml
Anti-TETRODOTOXIN ( TTX ) 河素抗体Multi-class antibodies规格: 0.1ml
human CHOP ELISA Kit 人内质网应激相关CHOP 96T
MEF2B 肌增强2B抗体 0.2ml
Rhesus antibody Rh EHZF/ZN521 锌指521抗体 规格 0.1ml
Apo-E(Mouse Apolipoprotein E) ELISA Kit 小鼠载脂EMulti-class antibodies规格: 48T
ANKS3 锚重复及SAM结构域3抗体 0.2ml
Anti-Caveolin-3/FITC 荧光素标记质膜微囊-3抗体IgGMulti-class antibodies规格: 0.2ml
转录激活蛋白2α/TFAP2α/AP-2α抗体KCTD3/FITCFITC标记的肾抗原NYREN 45抗体
Angiotensin I/FITCFITC标记的管紧张素I抗体
Argonaute 3/FITCFITC标记的真核翻译起始2C3抗体
HAVCR1/KIM1/TIM1/FITCFITC标记的毒受体1抗体
Myosin 1C/FITCFITC标记的肌球MYC抗体
CD44/FITCFITC标记的CD44抗体
phospho-Aconitase 1 (Ser138)/FITCFITC标记的磷酸化铁调节1抗体
PPP2R4/FITCFITC标记的磷酸酶2调节亚基4抗体
风险提示:丁香通仅作为第三方平台,为商家信息发布提供平台空间。用户咨询产品时请注意保护个人信息及财产安全,合理判断,谨慎选购商品,商家和用户对交易行为负责。对于医疗器械类产品,请先查证核实企业经营资质和医疗器械产品注册证情况。
技术资料暂无技术资料 索取技术资料
转录激活蛋白2α/TFAP2α/AP-2α抗体
¥1080 - 3200









