万千商家帮你免费找货
0 人在求购买到急需产品
- 详细信息
- 技术资料
- 供应商:
一研
- 库存:
55
- 靶点:
说明书
- 级别:
说明书
- 目录编号:
说明书
- 克隆性:
多克隆
- 抗原来源:
Rabbit
- 保质期:
说明书
- 抗体英文名:
Cystatin B
- 抗体名:
胱抑素B/半胱氨酸蛋白酶抑制剂B抗体
- 标记物:
Unconjugated
- 宿主:
说明书
- 适应物种:
说明书
- 免疫原:
KLH conjugated synthetic peptide derived from human Cystatin B
- 亚型:
LgG
- 形态:
液体
- 应用范围:
说明书
- 保存条件:
Shipped at 4℃. Store at -20 °C for one year. Avoid repeated freeze/thaw cycles.
- 浓度:
1mg/ml
- 规格:
100ul
产品属性:
| 产品名称 | 胱抑素B/半胱氨酸蛋白酶抑制剂B抗体 |
| 浓度 | 1mg/ml |
| 型号 | EY-01K5533 |
英文名称:Cystatin B
英文别名:CPI B; CPI-B; CST6; CSTB; Cystatin B; Cystatin-B; CYTB; EPM1; Liver thiol proteinase inhibitor; PME; STFB; CHROW21; CYTB_HUMAN; EPM1A; Stefin-B; ULD.
交叉反应: Human, Mouse, Rat, Pig
标记: Unconjugated
抗体来源: Rabbit
抗体类型: Polyclonal
免疫原: KLH conjugated synthetic peptide derived from human Cystatin B
蛋白细胞定位: 细胞核,细胞浆,分泌型蛋白
纯化方法: affinity purified by Protein A
亚型: IgG
性状: Liquid
浓度: 1mg/ml
储存液: 0.01M TBS(pH7.4) with 1% BSA, 0.03% Proclin300 and 50% Glycerol.
保存条件: Shipped at 4℃. Store at -20 °C for one year. Avoid repeated freeze/thaw cycles.
背景资料: The cystatin superfamily encompasses proteins that contain multiple cystatin-like sequences. Some of the members are active cysteine protease inhibitors, while others have lost or perhaps never acquired this inhibitory activity. There are three inhibitory families in the superfamily, including the type 1 cystatins (stefins), type 2 cystatins and kininogens. This gene encodes a stefin that functions as an intracellular thiol protease inhibitor. The protein is able to form a dimer stabilized by noncovalent forces, inhibiting papain and cathepsins l, h and b. The protein is thought to play a role in protecting against the proteases leaking from lysosomes. Evidence indicates that mutations in this gene are responsible for the primary defects in patients with progressive myoclonic epilepsy (EPM1). [provided by RefSeq, Jul 2008]
抗体分子标记技术:
(一)原理
当应用化学氧化法时(NaI)遇强氧化剂,离子被氧化为分子,所生成的自由分子可与某些基团进行卤化反应。蛋白质分子可进行卤化反应的基团主要为酪氨酸残基,某些组氨酸残基也可能进行化。在应用胺T( Chloramine T)法的实验中,所用的氧化剂(1,3,4,6- tetrachloro-3a,6adipheny l-glucoluril)强挥发性的有机溶剂中。该溶剂加入试管后,先让其挥发(即让氧化剂将试管包被),然后把Na125I和蛋白质液加入包被好的试管中,反应完成即将混合液移入他管终止反应。
(二)准备
1.试剂
经亲和层析纯化的多克隆抗体或单克隆抗体;0.5mol/L磷酸钠缓冲液,pH7.5;无载体的Na125I3.7GBq/ml(100mCi/ml)的NaOH液;100g/L三醋酸;70%乙醇;新鲜制备的含2mg/m1络胺T的0.5mol/L磷酸钠缓冲液(pH7.5);胺T反应终止缓冲液;
2.仪器
凝胶过滤柱;¥-记数器;玻璃纤维滤。
(三)操作要点
1.用胺T法进行化,也可在大约pH7.0的缓冲液中进行;
2.如果氧化反应损伤蛋白质,可将抗体与异硫酸荧光素(FITC)偶联)胺T量减少到0.02mg/m,并将偏重亚硫酸液的浓度降到0.024mg/ml;
3. Iodogen-包被的试管可在干燥器中,于室温下保存多年;
4.1251标记的抗体,在制备后六周内均可使用(1251的半衰期为59.6天);
5.要注意保证所用的Na1251是新鲜的,陈旧制剂的比活性低;
6.酪氨酸的碘化偶尔会对抗原的抗体结合位点有干扰,因此降低其结合能力,但这种情况很少见。
抗体制备过程:
1.材料与试剂
a.提取的动物 Ig
b.弗氏完全佐剂和弗氏不完全佐剂
c.青霉素和链霉素
d.实验动物 兔
e.其它材料及试剂
2、选择实验活体。
3、进行动物免疫实验。
4、试取血样进行测试,查看免疫效果。
5、如果免疫成功,杀死实验活体,采集全部血清。
6、纯化出抗体。
7、鉴定抗体。胎牛血清(无菌采制)
sCKR ELISA Kit人可溶性受体检测试剂盒 sCKR ELISA KitHuman soluble cytokine receptor, sCKR Elisa Kit人可溶性受体(sCKR)elisa试剂盒人可溶性受体ELISA检测试剂,sCKR检测试剂盒sCKR检测试剂人可溶性受体ELISA试剂盒
sFASL/Apo-1 ELISA Kit人可溶性凋亡相关配体测定试剂盒 sFASL/Apo-1 ELISA KitHuman soluble Factor-related Apoptosis ligand, sFASL/Apo-1 Elisa Kit人可溶性凋亡相关配体(sFASL)elisa试剂盒人可溶性凋亡相关配体ELISA检测试剂,sFASL/Apo-1检测试剂盒sFASL/Apo-1检测试剂人可溶性凋亡相关配体ELISA试剂盒
IAP ELISA Kit人凋亡免费代测试剂盒 IAP ELISA KitHuman inhibitor of apoptosis, IAP Elisa Kit人凋亡(IAP)elisa试剂盒人凋亡ELISA检测试剂,IAP检测试剂盒IAP检测试剂人凋亡ELISA试剂盒
CSF ELISA Kit人集落刺激ELISA试剂盒 CSF ELISA KitHuman colony-stimulating factor, CSF Elisa Kit人集落刺激(CSF)elisa试剂盒人集落刺激ELISA检测试剂,CSF检测试剂盒CSF检测试剂人集落刺激ELISA试剂盒
MIGF ELISA Kit人γ干扰素诱导单核检测试剂盒 MIGF ELISA KitHuman monocyte interferon gamma inducing factor, MIGF Elisa Kit人γ干扰素诱导单核(MIGF/CXCL9)elisa试剂盒人γ干扰素诱导单核ELISA检测试剂,MIGF检测试剂盒MIGF检测试剂人γ干扰素诱导单核ELISA试剂盒
胱抑素B/半胱氨酸蛋白酶抑制剂B抗体Dnmt3b/PE-Cy5.5PE-Cy5.5标记的DNA甲基转移酶-3β抗体
PCDHA7/PE-Cy5.5PE-Cy5.5标记的原钙粘附α7抗体
Phospho-A Raf (Ser299)/PE-Cy5.5PE-Cy5.5标记的磷酸化A-Raf抗体
SCAPER/PE-Cy5.5PE-Cy5.5标记的SCAPER抗体
SLC29A3/PE-Cy5.5PE-Cy5.5标记的溶质载体转运家族29成员3抗体
CD3/PE-Cy5.5PE-Cy5.5标记的CD3抗体
lysozyme/PE-Cy5.5PE-Cy5.5标记的溶菌酶抗体
Collagen II/PE-Cy5.5PE-Cy5.5标记的Ⅱ型胶原α1/软骨钙素单克隆抗体
风险提示:丁香通仅作为第三方平台,为商家信息发布提供平台空间。用户咨询产品时请注意保护个人信息及财产安全,合理判断,谨慎选购商品,商家和用户对交易行为负责。对于医疗器械类产品,请先查证核实企业经营资质和医疗器械产品注册证情况。
技术资料暂无技术资料 索取技术资料
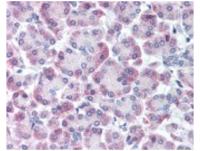
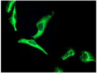
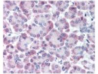
胱抑素B/半胱氨酸蛋白酶抑制剂B抗体
¥1080 - 3200









