万千商家帮你免费找货
0 人在求购买到急需产品
- 详细信息
- 技术资料
- 供应商:
一研
- 库存:
45
- 靶点:
说明书
- 级别:
说明书
- 目录编号:
说明书
- 克隆性:
多克隆
- 抗原来源:
Rabbit
- 保质期:
说明书
- 抗体英文名:
KDM6B
- 抗体名:
组蛋白去甲基化酶JMJD3抗体
- 标记物:
Unconjugated
- 宿主:
说明书
- 适应物种:
说明书
- 免疫原:
KLH conjugated synthetic peptide derived from human KDM6B
- 亚型:
LgG
- 形态:
液体
- 应用范围:
说明书
- 保存条件:
Shipped at 4℃. Store at -20 °C for one year. Avoid repeated freeze/thaw cycles.
- 浓度:
1mg/ml
- 规格:
100ul
产品属性:
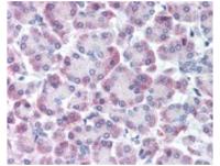
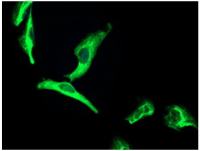
产品名称:组蛋白去甲基化酶JMJD3抗体
英文名称:KDM6B
英文别名:Histone demethylase JMJD3;
JmjC domain containing protein 3;
JmjC domain-containing protein 3;
Jumonji D3;
Jumonji domain containing 3;
Jumonji domain containing 3 histone lysine demethylase;
Jumonji domain containing protein 3;
Jumonji domain-containing protein 3;
Kdm6b;
KDM6B_HUMAN;
KIAA0346;
Lysine demethylase 6B;
Lysine K specific demethylase 6B;
Lysine specific demethylase 6B;
Lysine-specific demethylase 6B.
交叉反应: Human, Mouse, Rat, Pig, Cow, Horse, Rabbit, Sheep
标记: Unconjugated
抗体来源: Rabbit
抗体类型: Polyclonal
免疫原: KLH conjugated synthetic peptide derived from human KDM6B
蛋白细胞定位: 细胞核
纯化方法: affinity purified by Protein A
亚型: IgG
性状: Liquid
浓度: 1mg/ml
储存液: Preservative: 15mM Sodium Azide, Constituents: 1% BSA, 0.01M PBS, pH 7.4
保存条件: Shipped at 4℃. Store at -20 °C for one year. Avoid repeated freeze/thaw cycles.
背景资料: JMJD3 is a 1,679 amino acid nuclear protein that contains one JmjC domain and belongs to the highly conserved JmjC domain-containing protein family. Functioning as a histone demethylase, JMJD3 uses iron and ascorbate as cofactors to demethylate dimethylated and trimethylated Lys-27 residues of Histone H3, thereby playing an important role in the modification of the histone code. Additionally, JMJD3 regulates posterior development and is involved in the inflammatory response, specifically by mediating macrophage differentiation. JMJD3 is also thought to control the expression of neurogenesis-related proteins and, via this regulatory mechanism, may be necessary for neural commitment during early development. Two isoforms of JMJD3 exist due to alternative splicing events.
1.材料与试剂
a.提取的动物 Ig
b.弗氏完全佐剂和弗氏不完全佐剂
c.青霉素和链霉素
d.实验动物 兔
e.其它材料及试剂
2、选择实验活体。
3、进行动物免疫实验。
4、试取血样进行测试,查看免疫效果。
5、如果免疫成功,杀死实验活体,采集全部血清。
6、纯化出抗体。
7、鉴定抗体。胎牛血清(无菌采制)
抗体分子标记技术:
(一)原理
当应用化学氧化法时(NaI)遇强氧化剂,离子被氧化为分子,所生成的自由分子可与某些基团进行卤化反应。蛋白质分子可进行卤化反应的基团主要为酪氨酸残基,某些组氨酸残基也可能进行化。在应用胺T( Chloramine T)法的实验中,所用的氧化剂(1,3,4,6- tetrachloro-3a,6adipheny l-glucoluril)强挥发性的有机溶剂中。该溶剂加入试管后,先让其挥发(即让氧化剂将试管包被),然后把Na125I和蛋白质液加入包被好的试管中,反应完成即将混合液移入他管终止反应。
(二)准备
1.试剂
经亲和层析纯化的多克隆抗体或单克隆抗体;0.5mol/L磷酸钠缓冲液,pH7.5;无载体的Na125I3.7GBq/ml(100mCi/ml)的NaOH液;100g/L三醋酸;70%乙醇;新鲜制备的含2mg/m1络胺T的0.5mol/L磷酸钠缓冲液(pH7.5);胺T反应终止缓冲液;
2.仪器
凝胶过滤柱;¥-记数器;玻璃纤维滤。
(三)操作要点
1.用胺T法进行化,也可在大约pH7.0的缓冲液中进行;
2.如果氧化反应损伤蛋白质,可将抗体与异硫酸荧光素(FITC)偶联)胺T量减少到0.02mg/m,并将偏重亚硫酸液的浓度降到0.024mg/ml;
3. Iodogen-包被的试管可在干燥器中,于室温下保存多年;
4.1251标记的抗体,在制备后六周内均可使用(1251的半衰期为59.6天);
5.要注意保证所用的Na1251是新鲜的,陈旧制剂的比活性低;
6.酪氨酸的碘化偶尔会对抗原的抗体结合位点有干扰,因此降低其结合能力,但这种情况很少见。
Anti-CK7/FITC 荧光素标记抗角7抗体(大、小鼠)IgGMulti-class antibodies规格: 0.2ml
Anti-Integrin a7/FITC 荧光素标记整合素α7抗体IgGMulti-class antibodies规格: 0.2ml
Rhesus antibody Rh CCNYL1 周期素样Y1抗体 规格 0.2ml
IL-7(Interleukin-7) 白介素7抗原 0.5mg
IDO 吲哚胺2,3-双加氧酶抗体 0.2ml
Rhesus antibody Rh Sphingomyelin Synthase 1 鞘磷脂合成酶1抗体 规格 0.2ml
Anti-Integrin a7/FITC 荧光素标记整合素α7抗体IgGMulti-class antibodies规格: 0.2ml
Anti-Jab1/FITC 荧光素标记Jun激活区域-连接1抗体IgGMulti-class antibodies规格: 0.2ml
Anti-phospho-SHC (Tyr427) /FITC 荧光素标记磷酸化SH2结构域转化1抗体IgGMulti-class antibodies规格: 0.2ml
Rhesus antibody Rh Amphiphysin 神经元突触前膜抗体 规格 0.2ml
Rabbit Anti-mouse IgG-Fc/HRP 辣根过氧化物酶标记的兔抗小鼠IgG-Fc 0.1ml
GOLGA5 高尔基体膜相关5抗体 0.2ml
Rhesus antibody Rh Rabbit Anti-horse IgG/FITC FITC标记的兔抗马IgG 规格 0.3ml
Anti-phospho-SHC (Tyr427) /FITC 荧光素标记磷酸化SH2结构域转化1抗体IgGMulti-class antibodies规格: 0.2ml
Human glycosylated serum protein,GSP ELISA Kit 人糖化Multi-class antibodies规格: 48T
Anti-SDF-1/CXCL12 基质衍生-1抗体Multi-class antibodies规格: 0.1ml
Rhesus antibody Rh GPSM2 G信号调节2抗体 规格 0.2ml
sIgA ELISA Kit 大鼠分泌型免疫球A 96T
phospho-ODF2(Ser796) 磷酸化尾部结构抗体 0.1ml
BIN3 骨架衔接BIN3抗体 0.2ml
Anti-SDF-1/CXCL12 基质衍生-1抗体Multi-class antibodies规格: 0.1ml
EGFL7(EGF-like domain containing protein 7) 类表皮生长域7抗原 0.5mg
HBS1L hbs1样抗体 0.2ml
Rhesus antibody Rh Caspase 14 半胱胺酸酶14抗体 规格 0.2ml
Anti-CYP1A1/FITC 荧光素标记色素P450 1A1抗体IgGMulti-class antibodies规格: 0.2ml
Rhesus antibody Rh SIGLEC9 唾液酸结合免疫球样凝集素9抗体 规格 0.2ml
Anti-Livin /FITC 荧光素标记一种新的凋亡抑制抗体IgGMulti-class antibodies规格: 0.2ml
组蛋白去甲基化酶JMJD3抗体AP36(Human Apelin 36) ELISA Kit 人Apelin 36规格: 48T
Tn-T(Human Troponin T) ELISA Kit 人肌钙蛋白T规格: 48T
ES-Ab(Human Endostatin antibody) ELISA Kit 人内皮抑su规格: 48T
Agtr I a(Human angiotensin II receptor type I a) ELISA Kit 人紧张suⅡ受体Ⅰa型规格: 48T
ANGPTL3(Human angiopoietin-like protein 3) ELISA Kit 人生成su样蛋白3规格: 48T
| 产品名称 | 组蛋白去甲基化酶JMJD3抗体 |
| 浓度 | 1mg/ml |
| 型号 | EY-01K1014 |
英文名称:KDM6B
英文别名:Histone demethylase JMJD3;
JmjC domain containing protein 3;
JmjC domain-containing protein 3;
Jumonji D3;
Jumonji domain containing 3;
Jumonji domain containing 3 histone lysine demethylase;
Jumonji domain containing protein 3;
Jumonji domain-containing protein 3;
Kdm6b;
KDM6B_HUMAN;
KIAA0346;
Lysine demethylase 6B;
Lysine K specific demethylase 6B;
Lysine specific demethylase 6B;
Lysine-specific demethylase 6B.
交叉反应: Human, Mouse, Rat, Pig, Cow, Horse, Rabbit, Sheep
标记: Unconjugated
抗体来源: Rabbit
抗体类型: Polyclonal
免疫原: KLH conjugated synthetic peptide derived from human KDM6B
蛋白细胞定位: 细胞核
纯化方法: affinity purified by Protein A
亚型: IgG
性状: Liquid
浓度: 1mg/ml
储存液: Preservative: 15mM Sodium Azide, Constituents: 1% BSA, 0.01M PBS, pH 7.4
保存条件: Shipped at 4℃. Store at -20 °C for one year. Avoid repeated freeze/thaw cycles.
背景资料: JMJD3 is a 1,679 amino acid nuclear protein that contains one JmjC domain and belongs to the highly conserved JmjC domain-containing protein family. Functioning as a histone demethylase, JMJD3 uses iron and ascorbate as cofactors to demethylate dimethylated and trimethylated Lys-27 residues of Histone H3, thereby playing an important role in the modification of the histone code. Additionally, JMJD3 regulates posterior development and is involved in the inflammatory response, specifically by mediating macrophage differentiation. JMJD3 is also thought to control the expression of neurogenesis-related proteins and, via this regulatory mechanism, may be necessary for neural commitment during early development. Two isoforms of JMJD3 exist due to alternative splicing events.








1.材料与试剂
a.提取的动物 Ig
b.弗氏完全佐剂和弗氏不完全佐剂
c.青霉素和链霉素
d.实验动物 兔
e.其它材料及试剂
2、选择实验活体。
3、进行动物免疫实验。
4、试取血样进行测试,查看免疫效果。
5、如果免疫成功,杀死实验活体,采集全部血清。
6、纯化出抗体。
7、鉴定抗体。胎牛血清(无菌采制)
抗体分子标记技术:
(一)原理
当应用化学氧化法时(NaI)遇强氧化剂,离子被氧化为分子,所生成的自由分子可与某些基团进行卤化反应。蛋白质分子可进行卤化反应的基团主要为酪氨酸残基,某些组氨酸残基也可能进行化。在应用胺T( Chloramine T)法的实验中,所用的氧化剂(1,3,4,6- tetrachloro-3a,6adipheny l-glucoluril)强挥发性的有机溶剂中。该溶剂加入试管后,先让其挥发(即让氧化剂将试管包被),然后把Na125I和蛋白质液加入包被好的试管中,反应完成即将混合液移入他管终止反应。
(二)准备
1.试剂
经亲和层析纯化的多克隆抗体或单克隆抗体;0.5mol/L磷酸钠缓冲液,pH7.5;无载体的Na125I3.7GBq/ml(100mCi/ml)的NaOH液;100g/L三醋酸;70%乙醇;新鲜制备的含2mg/m1络胺T的0.5mol/L磷酸钠缓冲液(pH7.5);胺T反应终止缓冲液;
2.仪器
凝胶过滤柱;¥-记数器;玻璃纤维滤。
(三)操作要点
1.用胺T法进行化,也可在大约pH7.0的缓冲液中进行;
2.如果氧化反应损伤蛋白质,可将抗体与异硫酸荧光素(FITC)偶联)胺T量减少到0.02mg/m,并将偏重亚硫酸液的浓度降到0.024mg/ml;
3. Iodogen-包被的试管可在干燥器中,于室温下保存多年;
4.1251标记的抗体,在制备后六周内均可使用(1251的半衰期为59.6天);
5.要注意保证所用的Na1251是新鲜的,陈旧制剂的比活性低;
6.酪氨酸的碘化偶尔会对抗原的抗体结合位点有干扰,因此降低其结合能力,但这种情况很少见。
Anti-CK7/FITC 荧光素标记抗角7抗体(大、小鼠)IgGMulti-class antibodies规格: 0.2ml
Anti-Integrin a7/FITC 荧光素标记整合素α7抗体IgGMulti-class antibodies规格: 0.2ml
Rhesus antibody Rh CCNYL1 周期素样Y1抗体 规格 0.2ml
IL-7(Interleukin-7) 白介素7抗原 0.5mg
IDO 吲哚胺2,3-双加氧酶抗体 0.2ml
Rhesus antibody Rh Sphingomyelin Synthase 1 鞘磷脂合成酶1抗体 规格 0.2ml
Anti-Integrin a7/FITC 荧光素标记整合素α7抗体IgGMulti-class antibodies规格: 0.2ml
Anti-Jab1/FITC 荧光素标记Jun激活区域-连接1抗体IgGMulti-class antibodies规格: 0.2ml
Anti-phospho-SHC (Tyr427) /FITC 荧光素标记磷酸化SH2结构域转化1抗体IgGMulti-class antibodies规格: 0.2ml
Rhesus antibody Rh Amphiphysin 神经元突触前膜抗体 规格 0.2ml
Rabbit Anti-mouse IgG-Fc/HRP 辣根过氧化物酶标记的兔抗小鼠IgG-Fc 0.1ml
GOLGA5 高尔基体膜相关5抗体 0.2ml
Rhesus antibody Rh Rabbit Anti-horse IgG/FITC FITC标记的兔抗马IgG 规格 0.3ml
Anti-phospho-SHC (Tyr427) /FITC 荧光素标记磷酸化SH2结构域转化1抗体IgGMulti-class antibodies规格: 0.2ml
Human glycosylated serum protein,GSP ELISA Kit 人糖化Multi-class antibodies规格: 48T
Anti-SDF-1/CXCL12 基质衍生-1抗体Multi-class antibodies规格: 0.1ml
Rhesus antibody Rh GPSM2 G信号调节2抗体 规格 0.2ml
sIgA ELISA Kit 大鼠分泌型免疫球A 96T
phospho-ODF2(Ser796) 磷酸化尾部结构抗体 0.1ml
BIN3 骨架衔接BIN3抗体 0.2ml
Anti-SDF-1/CXCL12 基质衍生-1抗体Multi-class antibodies规格: 0.1ml
EGFL7(EGF-like domain containing protein 7) 类表皮生长域7抗原 0.5mg
HBS1L hbs1样抗体 0.2ml
Rhesus antibody Rh Caspase 14 半胱胺酸酶14抗体 规格 0.2ml
Anti-CYP1A1/FITC 荧光素标记色素P450 1A1抗体IgGMulti-class antibodies规格: 0.2ml
Rhesus antibody Rh SIGLEC9 唾液酸结合免疫球样凝集素9抗体 规格 0.2ml
Anti-Livin /FITC 荧光素标记一种新的凋亡抑制抗体IgGMulti-class antibodies规格: 0.2ml
组蛋白去甲基化酶JMJD3抗体AP36(Human Apelin 36) ELISA Kit 人Apelin 36规格: 48T
Tn-T(Human Troponin T) ELISA Kit 人肌钙蛋白T规格: 48T
ES-Ab(Human Endostatin antibody) ELISA Kit 人内皮抑su规格: 48T
Agtr I a(Human angiotensin II receptor type I a) ELISA Kit 人紧张suⅡ受体Ⅰa型规格: 48T
ANGPTL3(Human angiopoietin-like protein 3) ELISA Kit 人生成su样蛋白3规格: 48T
风险提示:丁香通仅作为第三方平台,为商家信息发布提供平台空间。用户咨询产品时请注意保护个人信息及财产安全,合理判断,谨慎选购商品,商家和用户对交易行为负责。对于医疗器械类产品,请先查证核实企业经营资质和医疗器械产品注册证情况。
技术资料暂无技术资料 索取技术资料
组蛋白去甲基化酶JMJD3抗体
¥1080 - 3200









