万千商家帮你免费找货
0 人在求购买到急需产品
- 详细信息
- 文献和实验
- 技术资料
- 供应商:
一研
- 库存:
53
- 靶点:
说明书
- 级别:
说明书
- 目录编号:
说明书
- 克隆性:
单克隆
- 抗原来源:
Mouse
- 保质期:
说明书
- 抗体英文名:
human CD20/FITC
- 抗体名:
FITC标记小鼠抗人CD20单克隆抗体
- 标记物:
Unconjugated
- 宿主:
说明书
- 适应物种:
说明书
- 免疫原:
Recombinant human CD20 protein
- 亚型:
LgG
- 形态:
液体
- 应用范围:
说明书
- 保存条件:
Shipped at 4℃. Store at -20 °C for one year. Avoid repeated freeze/thaw cycles.
- 浓度:
1mg/ml
- 规格:
100ul




| 产品名称:FITC标记小鼠抗人CD20单克隆抗体 英文名称:human CD20/FITC 英文别名: CD20_HUMAN; B-lymphocyte antigen CD20; B-lymphocyte surface antigen B1; Bp35; Leukocyte surface antigen Leu-16; Membrane-spanning 4-domains subfamily A member 1; MS4A1; MS4A2; B1; CVID5; LEU-16; S7. 交叉反应: Human, Mouse, Rat, Chicken, Dog, Pig, Cow, Horse, Rabbit, Goose, Zebrafish, Sheep, GPV, Firefly, Bee, Belt Jellyfish, Fish, GuineaPig, Hamster, Shrimp, Fruit Fly, Goat, Monkey, Cat, Donkey, Duck, Chimpanzee, Arabidopsis Thalian 标记: Unconjugated 抗体来源: Mouse 抗体类型: Monoclonal 克隆号: HI20a 免疫原: Recombinant human CD20 protein 蛋白细胞定位: 细胞膜 纯化方法: Affinity purified by Protein G 性状: Liquid 储存液: 0.01M PBS, 0.5%BSA, 0.03% Proclin300 保存条件: Store at 2-8℃. Protect from light. Avoid freezing. |
| 产品名称 | 浓度 | 型号 |
| FITC标记小鼠抗人CD20单克隆抗体 | 1mg/ml | EY-01K0601 |
(1)结合特异性抗原:抗体与其他免疫球蛋白分子区别,就在于抗体能与相应抗原发生特异性结合,在体内导致生理或病理效应;在体外产生各种直接或间接的可见的抗原抗体结合反应。抗体是靠其分子上的特殊的结合部位与抗原结合的。
(2)激活补体:抗体与相应抗原结合后,借助暴露的补体结合点去激活补体系统、激发补体的溶菌、溶细胞等免疫作用。
(3)结合细胞:不同类别的免疫球蛋白,可结合不同种的细胞,产生不同的疚,参与免疫应答。
(4)可通过胎盘及粘膜:免疫球蛋白G(IgG)能通过胎盘进入胎儿血流中,使胎儿形成自然被动免疫。免疫球蛋白A(IgA)可通过消化道及呼吸道粘膜,是粘膜局部抗感染免疫的主要因素。
(5)具有抗原性:抗体分子是一种蛋白质,也具有刺激机体产生免疫应答的性能。不同的免疫球蛋白分子,各具有不同的抗原性。
(6)抗体对理化因子的抵抗力与一般球蛋白相同:不耐热,60~70℃即被破坏。各种酶及能使蛋白质凝固变性的物质,均能破坏抗体的作用。抗体可被中性盐类沉淀。在上常可用硫酸铵或硫酸钠从免疫血清中沉淀出含有抗体的球蛋白,再经透析法将其纯化。
实验原理 :
(1)特异性结合抗原:抗体本身不能直接溶解或杀伤带有特异抗原的靶细胞,通常需要补体或吞噬细胞等共同发挥效应以清除病原微生物或导致病理损伤。然而,抗体可通过与病毒或毒素的特异性结合,直接发挥中和病毒的作用。
(2)活补体:IgM、IgG1、IgG2和IgG3可通过经典途径激活补体,凝聚的IgA、IgG4和IgE可通过替代途径激活补体。
(3)结合细胞:不同类别的免疫球蛋白,可结合不同种的细胞,参与免疫应答。
(4)可通过胎盘及粘膜:免疫球蛋白G(IgG)能通过胎盘进入胎儿血流中,使胎儿形成自然被动免疫。免疫球蛋白A(IgA)可通过消化道及呼吸道粘膜,是粘膜局部抗感染免疫的主要因素。
(5)具有抗原性:抗体分子是一种蛋白质,也具有刺机体产生免疫应答的性能。不同的免疫球蛋白分子,各具有不同的抗原性。
(6)抗体对理化因子的抵抗力与一般球蛋白相同:不耐热,60~70℃即被破坏。各种酶及能使蛋白质凝固变性的物质,均能破坏抗体的作用。抗体可被中性盐类沉淀。在上常可用硫酸铵或硫酸钠从免疫血清中沉淀出含有抗体的球蛋白,再经透析法将其纯化。
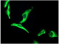
免疫荧光技术的实验步骤:
一、准备好试剂与仪器:
磷酸盐缓冲盐水、荧光标记的抗体溶液、缓冲甘油、搪瓷桶三只、有盖搪瓷盒一只、荧光显微镜、玻片架、滤纸、37℃温箱等。
二、实验步骤
1.滴加0.01mol/L,pH7.4的PBS于待检标本片上,十分钟后弃去,使标本保持一定湿度。
2.滴加适当稀释的荧光标记的抗体溶液,使其完全覆盖标本,置于有盖搪瓷盒内,保温一定时间以三十分钟为参考。
3.取出玻片,置玻片架上,先用0.01mol/L,pH7.4的PBS冲洗后,再按顺序过0.01mol/L,pH7.4的PBS三缸浸泡,每缸三到五分钟,并不停地摇晃振荡。
4.取出玻片,用滤纸吸去多余水分,但不使标本干燥,加一滴缓冲甘油,以盖玻片覆盖。
5.立即用荧光显微镜观察。观察标本的特异性荧光强度。
Anti-ATG1/ULK1/FITC 荧光素标记自噬相关1抗体IgGMulti-class antibodies规格: 0.2ml
Anti-phospho-GAB2 (Ser623) /FITC 荧光素标记磷酸化接头Gab 2抗体IgGMulti-class antibodies规格: 0.2ml
Rhesus antibody Rh C-Met/Met/HGFR 肝生长受体抗体 规格 0.1ml
MSH2 (mutS homolog 2) MSH2抗原 0.5mg
ICK 丝酸/苏酸激酶ICK抗体 0.2ml
Rhesus antibody Rh TRPM7 瞬时受体电位离子通道7抗体(M亚家族) 规格 0.2ml
Anti-phospho-GAB2 (Ser623) /FITC 荧光素标记磷酸化接头Gab 2抗体IgGMulti-class antibodies规格: 0.2ml
Anti-K-ras/FITC 荧光素标记原基因K-ras抗体IgGMulti-class antibodies规格: 0.2ml
Anti-Phospho-Smad1 (Ser206) /FITC 荧光素标记磷酸化信号转导分子Smad-1抗体IgGMulti-class antibodies规格: 0.2ml
Rhesus antibody Rh Aldolase C 醛缩酶C抗体 规格 0.2ml
Rabbit Anti-human IgG/Cy5 Cy5标记的兔抗人IgG 0.1ml
Glycogenin 1 糖原1 0.2ml
Rhesus antibody Rh Rabbit Anti-Guinea pig IgG/PE-CY5 PE-CY5标记的兔抗豚鼠IgG 规格 0.1ml
Anti-Phospho-Smad1 (Ser206) /FITC 荧光素标记磷酸化信号转导分子Smad-1抗体IgGMulti-class antibodies规格: 0.2ml
PPI(Human Peptidyl prolyl cis/trans isomerase) ELISA Kit 人肽基脯氨酰顺反异构酶Multi-class antibodies规格: 48T
Anti-nectin 2/CD112 黏附分子CD112抗体Multi-class antibodies规格: 0.2ml
Rhesus antibody Rh IL-26/AK155 白介素26抗体 规格 0.2ml
MDC/CCL22 ELISA Kit 大鼠巨噬来源的趋化 96T
phospho-P53(Ser46) 磷酸化抑制基因P53抗体 0.1ml
CPA1 胰羧肽酶A1抗体 0.1ml
Anti-nectin 2/CD112 黏附分子CD112抗体Multi-class antibodies规格: 0.2ml
DPPA2 (developmental pluripotency associated gene2) 多能发育相关基因2抗原 0.5mg
HIF Prolyl Hydroxylases 缺氧诱导脯酰羟化酶4抗体 0.2ml
Rhesus antibody Rh CARD15 凋亡加强结构域15抗体 规格 0.2ml
Anti-DRD2 receptor/FITC 荧光素标记多巴胺受体-D2抗体IgGMulti-class antibodies规格: 0.2ml
Rhesus antibody Rh SHC SH2结构域转化1抗体 规格 0.2ml
Anti-LRIG3/FITC 荧光素标记抗LRIG3抗体IgGMulti-class antibodies规格: 0.2ml
FITC标记小鼠抗人CD20单克隆抗体鸡乌头酸酶1(ACO1)试剂盒Anti-TLN1 AntibodyAPC标记的兔抗牛IgG
鸡骨碱性磷酸酶(BALP)试剂盒 Anti-TLR1 AntibodyAlexa Fluor 350标记的兔抗牛IgG
鸡纤连蛋白富亮跨膜蛋白2(FLRT2)试剂盒Anti-TLN2 AntibodyAlexa Fluor 488标记的兔抗牛IgG
鸡髓过氧化物酶抗体(Anti-MPO)试剂盒Anti-TLR1 AntibodyAlexa Fluor 555标记的兔抗牛IgG
鸡载脂蛋白F(ApoF)试剂盒 Anti-TLR1 AntibodyPE-Cy3标记的兔抗牛IgM
鸡甲状腺过氧化物酶(TPO)试剂盒Anti-TLR10 AntibodyPE-CY5标记的兔抗牛IgM
鸡球蛋白G Fc段受体II(FcγR II/CD32)试剂盒 Anti-TLR1 AntibodyAPC标记的兔抗牛IgM
风险提示:丁香通仅作为第三方平台,为商家信息发布提供平台空间。用户咨询产品时请注意保护个人信息及财产安全,合理判断,谨慎选购商品,商家和用户对交易行为负责。对于医疗器械类产品,请先查证核实企业经营资质和医疗器械产品注册证情况。
文献和实验Fraction Monoclonal Mouse Anti-Digoxin 产品详情 FITC标记小鼠抗地高辛Digoxin单克隆抗体 FITC-conjugated IgG Fraction Monoclonal Mouse Anti-Digoxin
临床验证。抗人CD20(Rituximab)是第1个为FDA批准可用于临床癌症治疗的单抗。Rituximab与细胞表面的CD20分子结合后,可通过诱导ADCC和CDC清除高表达CD20分子的恶性B细胞,从而被认为在低分化的B细胞淋巴瘤和非霍奇金淋巴瘤的治疗中起重要作用。 近年来,另一个备受人们关注的治疗性单抗是抗Her-2的抗体。Her-2是表皮生长因子受体(EGFR)成员,参与乳腺癌的发生,且与乳腺癌患者的预后有关。相应单抗与Her-2结合可阻止Her-2与相应的生长因子的结合,抑制乳腺
CD20抗体Fab’片段,并在大肠杆菌中高效可溶性分泌表达[ 8 ] ,本研究的目的在于研究嵌合抗CD20Fab’片段的抗肿瘤活性及其作用机制。一、材料和方法1、材料MTT购自Sigma公司;Annexin-V为宝灵曼公司试剂盒;TRIZOL RNA提取试剂盒为美国Gibco公司产品;兔抗人bcl-2单克隆抗体和辣根过氧化物酶标记的羊抗兔IgG为北京中山生物技术有限公司产品,嵌合抗CD20Fab’片段为我室表达并纯化。β-actin引物(上游:5-TCATGTTTGAGACCTTCAA-3,下游
技术资料暂无技术资料 索取技术资料









