相关产品推荐更多 >
万千商家帮你免费找货
0 人在求购买到急需产品
- 详细信息
- 文献和实验
- 技术资料
- 免疫原:
Recombinant fragment of human HHIP
- 亚型:
IgG
- 形态:
Liquid
- 保存条件:
Store as concentrated solution. Centrifuge briefly prior to opening vial. For short-term storage (1-2 weeks), store at 4ºC. For long-term storage, aliquot and store at -20ºC or below. Avoid multiple freeze-thaw cycles.
- 克隆性:
Monoclonal
- 标记物:
Unconjugated
- 适应物种:
Human, Mouse
- 保质期:
12 months from the shipping date of the product.
- 抗原来源:
Human
- 目录编号:
GTX637862
- 级别:
Primary Antibodies
- 库存:
Available
- 供应商:
GeneTex
- 宿主:
Rabbit
- 应用范围:
WB, IHC-P
- 浓度:
1 mg/ml (Please refer to the vial label for the specific concentration.)
- 靶点:
HHIP
- 抗体英文名:
HHIP antibody [HL1969]
- 抗体名:
HHIP 抗体 [HL1969]
- 规格:
100 μl/25 μl
| 规格: | 100 μl | 产品价格: | ¥4000.0 |
|---|---|---|---|
| 规格: | 25 μl | 产品价格: | ¥1700.0 |
HHIP antibody [HL1969] detects HHIP protein at cell membrane and secreted by immunohistochemical analysis.
Sample: Paraffin-embedded mouse kidney.
HHIP stained by HHIP antibody [HL1969] (GTX637862) diluted at 1:100.
Antigen Retrieval: Citrate buffer, pH 6.0, 15 min
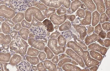
HHIP antibody [HL1969] detects HHIP protein at cell membrane and secreted by immunohistochemical analysis.
Sample: Paraffin-embedded mouse duodenum.
HHIP stained by HHIP antibody [HL1969] (GTX637862) diluted at 1:100.
Antigen Retrieval: Citrate buffer, pH 6.0, 15 min
HHIP antibody [HL1969] detects HHIP protein at cell membrane and secreted by immunohistochemical analysis.
Sample: Paraffin-embedded human hepatocellular carcinoma.
HHIP stained by HHIP antibody [HL1969] (GTX637862) diluted at 1:100.
Antigen Retrieval: Citrate buffer, pH 6.0, 15 min
Various whole cell extracts (30 μg) were separated by 7.5% SDS-PAGE, and the membrane was blotted with HHIP antibody [HL1969] (GTX637862) diluted at 1:1000. The HRP-conjugated anti-rabbit IgG antibody (GTX213110-01) was used to detect the primary antibody, and the signal was developed with Trident ECL plus-Enhanced. Corresponding RNA expression data for the same cell lines are based on Human Protein Atlas program.
风险提示:丁香通仅作为第三方平台,为商家信息发布提供平台空间。用户咨询产品时请注意保护个人信息及财产安全,合理判断,谨慎选购商品,商家和用户对交易行为负责。对于医疗器械类产品,请先查证核实企业经营资质和医疗器械产品注册证情况。
文献和实验Lightning-Link 30 seconds hands on Very Easy to use 100% Antibody Recovery No separation steps Little antibody needed Easy to Scale Up Over 40 available labels http://www.youtube.com/v/w0XmU
The Kabat Database and a Bioinformatics Example
In 1969, Elvin A. Kabat of Columbia University College of Physicians and Surgeons and Tai Te Wu of Cornell University Medical College began to collect and align amino acid sequences of human and mouse Bence Jones proteins and immunoglobulin
charge (GEC) for three human acute myelogenous leukemia (AML) cell lines: HL60 (M3 subtype of AML), THP1 (M5 subtype of AML), and HEL (M6 subtype of AML) in French-American-British classification (FAB) and for one chronic myelogenous leukemia (CML) cell
技术资料暂无技术资料 索取技术资料





![HDAC3 antibody [GT9080]](https://img1.dxycdn.com/2022/0328/915/4286463623743500453-14.jpg!wh200)




