相关产品推荐更多 >
万千商家帮你免费找货
0 人在求购买到急需产品
- 详细信息
- 技术资料
- 免疫原:
E.coli-derived human LONP1/Lon recombinant protein (Position: R137-A320).
- 亚型:
IgG
- 形态:
Liquid
- 保存条件:
Store as concentrated solution. Centrifuge briefly prior to opening vial. For short-term storage (1-2 weeks), store at 4ºC. For long-term storage, aliquot and store at -20ºC or below. Avoid multiple freeze-thaw cycles.
- 克隆性:
Polyclonal
- 标记物:
Unconjugated
- 适应物种:
Human, Mouse, Rat
- 保质期:
12 months from the shipping date of the product.
- 抗原来源:
Human
- 目录编号:
GTX03806
- 级别:
Primary Antibodies
- 库存:
Available
- 供应商:
GeneTex
- 宿主:
Rabbit
- 应用范围:
WB, ICC/IF, IHC-P, FACS, ELISA
- 浓度:
0.5 mg/ml (Please refer to the vial label for the specific concentration.)
- 靶点:
LONP1
- 抗体英文名:
LONP1 antibody
- 抗体名:
LONP1 抗体
- 规格:
100 μg
FACS analysis of HL-60 cells using GTX03806 LONP1 antibody.
Antibody amount : 1μg/1x106 cells
Blue : Primary antibody
Green : Isotype control
Red : Unlabelled sample
WB analysis of various sample lysates using GTX03806 LONP1 antibody.
Lane 1 : K562 cells
Lane 2 : U87-MG cells
Lane 3 : PC-3 cells
Lane 4 : A549 cells
Lane 5 : Mouse liver tissue
Lane 6 : Mouse kidney tissue
Lane 7 : SP20 cells
Dilution : 0.5 μg/mL
Loading : 50 μg per lane
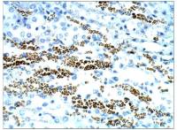
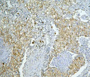
IHC-P analysis of human lung cancer tissue using GTX03806 LONP1 antibody.
Antigen retrieval : Heat mediated antigen retrieval was performed in citrate buffer (pH6, epitope retrieval solution) for 20 mins
Dilution : 1μg/mL
ICC/IF analysis of A431 cells using GTX03806 LONP1 antibody.
Antigen retrieval : Enzyme antigen retrieval was performed using enzyme antigen retrieval reagent for 15 mins.
Dilution : 2μg/mL
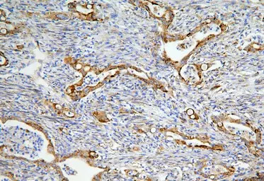
IHC-P analysis of human rectal cancer tissue using GTX03806 LONP1 antibody.
Antigen retrieval : Heat mediated antigen retrieval was performed in citrate buffer (pH6, epitope retrieval solution) for 20 mins
Dilution : 1μg/mL
IHC-P analysis of human mammary cancer tissue using GTX03806 LONP1 antibody.
Antigen retrieval : Heat mediated antigen retrieval was performed in citrate buffer (pH6, epitope retrieval solution) for 20 mins
Dilution : 1μg/mL
风险提示:丁香通仅作为第三方平台,为商家信息发布提供平台空间。用户咨询产品时请注意保护个人信息及财产安全,合理判断,谨慎选购商品,商家和用户对交易行为负责。对于医疗器械类产品,请先查证核实企业经营资质和医疗器械产品注册证情况。
技术资料暂无技术资料 索取技术资料





![CDC37 (phospho Ser13) antibody [GT1338]](https://img1.dxycdn.com/2022/0328/469/7458546940730800453-14.jpg!wh200)




