相关产品推荐更多 >
万千商家帮你免费找货
0 人在求购买到急需产品
- 详细信息
- 文献和实验
- 技术资料
- 免疫原:
E.coli-derived human B7H4/VTCN1 recombinant protein (Position: T57-A258).
- 亚型:
IgG
- 形态:
Liquid
- 保存条件:
Store as concentrated solution. Centrifuge briefly prior to opening vial. For short-term storage (1-2 weeks), store at 4ºC. For long-term storage, aliquot and store at -20ºC or below. Avoid multiple freeze-thaw cycles.
- 克隆性:
Polyclonal
- 标记物:
Unconjugated
- 适应物种:
Human, Mouse, Rat
- 保质期:
12 months from the shipping date of the product.
- 抗原来源:
Human
- 目录编号:
GTX03785
- 级别:
Primary Antibodies
- 库存:
Available
- 供应商:
GeneTex
- 宿主:
Rabbit
- 应用范围:
WB, ICC/IF, IHC-P, FACS, ELISA
- 浓度:
0.5 mg/ml (Please refer to the vial label for the specific concentration.)
- 靶点:
B7-H4
- 抗体英文名:
B7-H4 antibody
- 抗体名:
B7-H4 抗体
- 规格:
100 μl
WB analysis of various lysates using GTX03785 B7-H4 antibody.
Lane 1 : U2OS cells
Lane 2 : Mouse thymus issue
Dilution : 0.5 μg/mL
Loading : 50μg per lane
FACS analysis of U2OS cells using GTX03785 B7-H4 antibody.
Antibody amount : 1μg/1x106 cells
Blue : Primary antibody
Green : Isotype control
Red : Unlabelled sample
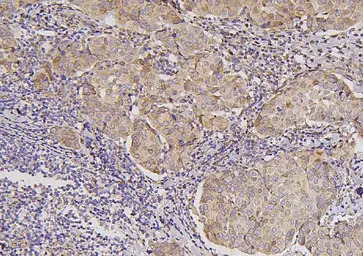
IHC-P analysis of human mammary cancer tissue using GTX03785 B7-H4 antibody.
Antigen retrieval : Heat mediated antigen retrieval was performed in EDTA buffer (pH8.0, epitope retrieval solution)
Dilution : 1μg/ml
ICC/IF analysis of U2OS cells using GTX03785 B7-H4 antibody.
Antigen retireval : Enzyme antigen retrieval was performed using IHC enzyme antigen retrieval reagent for 15 mins.
Dilution : 2μg/mL
风险提示:丁香通仅作为第三方平台,为商家信息发布提供平台空间。用户咨询产品时请注意保护个人信息及财产安全,合理判断,谨慎选购商品,商家和用户对交易行为负责。对于医疗器械类产品,请先查证核实企业经营资质和医疗器械产品注册证情况。
文献和实验人B7-H4 ( B7-H4 )ELISA 试剂盒 ( 用于血清、血浆、细胞培养上清液和尿液生物体液内 ) 原理 本实验采用双抗体夹心 ABC-ELISA 法。用抗人 B7-H4 单抗包被于酶标板上,标准品和样品中的 B7-H4与单抗结合,加入生物素化的抗人 B7-H4 ,形成免疫复合物连接在板上,辣根过氧化物酶标记的 Streptavidin 与生物素结合,加入底物工作液显蓝色,最后加终止
Generation of Antibody Molecules Through Antibody Engineering
been overcome to a large extent using genetic-engineering techniques to produce chimeric mouse/human and completely human antibodies. Such an approach is particularly suitable because of the domain structure of the antibody molecule ( 2 ), where functional
The importance of antibody molecules was first recognized in the 1890s, when it was shown that immunity to tetanus and diphtheria was caused by antibodies against the bacterial exotoxins (1 ). Around the same time, it was shown that antisera
技术资料暂无技术资料 索取技术资料






![5-Hydroxymethylcytosine / 5-hmC antibody [GT13612]](https://img1.dxycdn.com/2022/0329/918/1244468400285020453-14.jpg!wh200)
![alpha Tubulin 8 antibody [2C2]](https://img1.dxycdn.com/2022/0328/530/9020345248587500453-14.jpg!wh200)
![ICAM2 antibody [mIC2/4 (3C4)] (Low endotoxin, azide free)](https://img1.dxycdn.com/2022/0328/257/8053088236824400453-14.jpg!wh200)

