相关产品推荐更多 >
万千商家帮你免费找货
0 人在求购买到急需产品
- 详细信息
- 文献和实验
- 技术资料
- 免疫原:
Recombinant protein between 1-258 amino acids from human USP2.
- 亚型:
IgG1
- 形态:
Liquid
- 保存条件:
Store as concentrated solution. Centrifuge briefly prior to opening vial. For short-term storage (1-2 weeks), store at 4ºC. For long-term storage, aliquot and store at -21ºC or below. Avoid multiple freeze-thaw cycles.
- 克隆性:
Monoclonal
- 标记物:
Unconjugated
- 适应物种:
Human, Monkey
- 保质期:
12 months from the shipping date of the product.
- 抗原来源:
Human
- 目录编号:
GTX03924
- 级别:
Primary Antibodies
- 库存:
Available
- 供应商:
GeneTex
- 宿主:
Mouse
- 应用范围:
WB
- 浓度:
Batch dependent (Please refer to the vial label for the specific concentration.)
- 靶点:
USP2
- 抗体英文名:
USP2 antibody [1738CT331.50.87]
- 抗体名:
USP2 抗体 [1738CT331.50.87]
- 规格:
100 μl
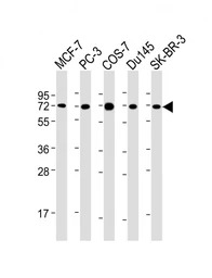
WB analysis of various lysates using GTX03924 USP2 antibody [1738CT331.50.87].
Lane 1 : MCF-7
Lane 2 : PC-3
Lane3 : COS-7
Lane 4 : Du145
Lane 5 : SK-BR-3
Dilution : 1:2000
Loading : 20 μg per lane
风险提示:丁香通仅作为第三方平台,为商家信息发布提供平台空间。用户咨询产品时请注意保护个人信息及财产安全,合理判断,谨慎选购商品,商家和用户对交易行为负责。对于医疗器械类产品,请先查证核实企业经营资质和医疗器械产品注册证情况。
文献和实验【资源】全面归类网址:毕赤酵母表达各种来源蛋白(细菌,真菌,植物,人类等)
-Acetylgalactosaminidase (a-NAGAL)S, 11.6 mg/L, α-MF[197]Antibody: scFv (against ovarian carcinoma)-biotin mimetic peptideS[263, 264]Antibody: scFv (against squamous carcinoma)S, 50 mg/L, α-MF[245]Antibody: scFv (against prostate-specific antigen)S, α-MF, 20 mg/L
【分享】Human press METHODS IN MOLECULAR BIOLOGY
Protocols Edited by Gartland, Kevan M. A., 1995 45. Monoclonal Antibody Protocols Edited by Davis, William C., 1995 46. Diagnostic Bacteriology Protocols Edited by Howard, Jenny, 1995 47. Electroporation Protocols for Microorganisms Edited
Determining In Vivo Phosphorylation Sites Using Mass Spectrometry
or TiO2 , and LC?MS/MS. Alternatively, the protein lysate can be fractionated by SDS?PAGE, followed by digestion, phosphopeptide enrichment, and LC?MS/MS. One can also immunoprecipitate only phosphotyrosine peptides using a pTyr antibody followed by LC
技术资料暂无技术资料 索取技术资料







![ACAT2 antibody [1C5]](https://img1.dxycdn.com/2022/0328/036/6927674134398500453-14.jpg!wh200)
![HLA-A2 antibody [BB7.2] (PE)](https://img1.dxycdn.com/2022/0329/397/3213277613726020453-14.jpg!wh200)


