相关产品推荐更多 >
万千商家帮你免费找货
0 人在求购买到急需产品
- 详细信息
- 询价记录
- 文献和实验
- 技术资料
- 库存:
大量
- 英文名:
Satellite Cell Isolation Kit, mouse
- 供应商:
德国美天旎生物技术有限公司
- 保存条件:
2−8°C
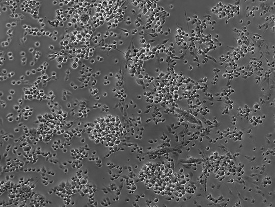
使用gentleMACS组织解离器和小鼠和大鼠骨骼肌解离试剂盒(#130-098-305)解离小鼠骨骼肌,随后使用小鼠卫星细胞分离试剂盒分离卫星细胞,并扩增培养6天。
风险提示:丁香通仅作为第三方平台,为商家信息发布提供平台空间。用户咨询产品时请注意保护个人信息及财产安全,合理判断,谨慎选购商品,商家和用户对交易行为负责。对于医疗器械类产品,请先查证核实企业经营资质和医疗器械产品注册证情况。
- 作者
- 内容
- 询问日期
文献和实验Isolation and Culture of Mouse Satellite Cells
we discuss the technical aspect of satellite cell isolation, the methods necessary to enrich the satellite cell fraction, and the culture conditions which optimize proliferation and myotube formation of mouse satellite cells.
Reproducible purification of DNA and RNA in 96-well format. Genomic DNA and total RNA were purified from mouse tissues using the AllPrep DNA/RNA 96 Kit. A Purified DNA samples were analyzed on a 0.8% agarose gel. B
实验步骤 1. Using the AbC™ Anti-Mouse Bead Kit 1) Completely resuspend the AbC™ capture beads (Component A) and negative beads (Component B) by gently vortexing for 30 seconds before use. 2) Label
技术资料暂无技术资料 索取技术资料











