万千商家帮你免费找货
0 人在求购买到急需产品
- 详细信息
- 询价记录
- 技术资料
- 提供商:
江西中洪博元生物技术有限公司
- 服务名称:
动物造模
背景介绍:激素性股骨头缺血性坏死是一种代谢性疾病,多为双侧性,坏死范围广,主要累及中青年,其进展不可逆,具有极高的致残率,是非创伤性股骨头坏死最常见的形式。研究表明,肾上腺皮质激素(以下简称激素)已成为股骨头缺血坏死的主要原因,据报道,激素可以诱导骨细胞和软骨细胞凋亡,并诱导炎症来促进非创伤性股骨头坏死的发生。长期应用激素或关节内注射激素会增加股骨头坏死的发生率,其机制至今不明,主要考虑激素会导致股骨头血供中断或损伤,骨细胞和骨髓细胞死亡,进而导致股骨头结构改变,股骨头塌陷,最终造成髋关节疼痛和功能障碍。血供中断可能是由于血管内皮损伤,微循环功能障碍和股骨头血流量下降等,最终缺血缺氧造成骨结构和功能的损害,从而发生股骨头缺血性坏死。本实验采用注射用甲泼尼龙琥珀酸钠构建激素性股骨头坏死模型。
应用方向:运动系统相关课题。
关键词:激素性股骨头坏死、SONFH、Steroid-induced osteonecrosis of the femoral head
实验动物:大鼠品系:SD、Wistar;小鼠品系:C57BL/6、KM;周龄:6-8周;性别不限。
造模方法:大鼠连续3d臀肌注射庆大霉素防止感染,第4、5d腹腔注射LPS,1次/d,第5d注射LPS的同时臀肌注射甲泼尼龙琥珀酸钠(甲基强的松龙,MPS),1次/d,连续3d,第8d-14d开始臀肌注射庆大霉素,1次/d。
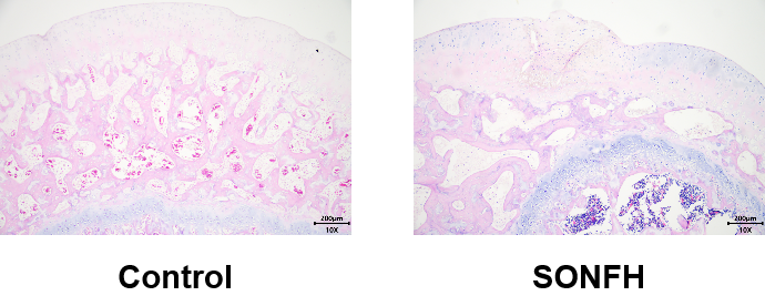
模型验证:对照组骨小梁结构清晰,排列整齐,致密饱满,骨髓腔增生活跃,造血细胞丰富,股骨头未见坏死。模型组中,骨组织均出现一定程度破坏,其中骨小梁结构改变最为明显,排列紊乱,同时伴有骨小梁轻微断裂的现象,骨髓腔内造血细胞减少,骨小梁明显的增厚,同时软骨病变,疑似纤维化,镜头下可见少量脂肪细胞。
参考文献:Huang Zengfa, et al. Icariin Protects against Glucocorticoid-Induced Osteonecrosis of the Femoral Head in Rats.[J] .Cell Physiol Biochem, 2018, 47: 694-706.(IF=5.5)
其他检测:如离体股骨MicroCT检测,ELISA检测血清中炎症因子的表达水平等。
应用方向:运动系统相关课题。
关键词:激素性股骨头坏死、SONFH、Steroid-induced osteonecrosis of the femoral head
实验动物:大鼠品系:SD、Wistar;小鼠品系:C57BL/6、KM;周龄:6-8周;性别不限。
造模方法:大鼠连续3d臀肌注射庆大霉素防止感染,第4、5d腹腔注射LPS,1次/d,第5d注射LPS的同时臀肌注射甲泼尼龙琥珀酸钠(甲基强的松龙,MPS),1次/d,连续3d,第8d-14d开始臀肌注射庆大霉素,1次/d。
模型验证:对照组骨小梁结构清晰,排列整齐,致密饱满,骨髓腔增生活跃,造血细胞丰富,股骨头未见坏死。模型组中,骨组织均出现一定程度破坏,其中骨小梁结构改变最为明显,排列紊乱,同时伴有骨小梁轻微断裂的现象,骨髓腔内造血细胞减少,骨小梁明显的增厚,同时软骨病变,疑似纤维化,镜头下可见少量脂肪细胞。
参考文献:Huang Zengfa, et al. Icariin Protects against Glucocorticoid-Induced Osteonecrosis of the Femoral Head in Rats.[J] .Cell Physiol Biochem, 2018, 47: 694-706.(IF=5.5)
其他检测:如离体股骨MicroCT检测,ELISA检测血清中炎症因子的表达水平等。
风险提示:丁香通仅作为第三方平台,为商家信息发布提供平台空间。用户咨询产品时请注意保护个人信息及财产安全,合理判断,谨慎选购商品,商家和用户对交易行为负责。对于医疗器械类产品,请先查证核实企业经营资质和医疗器械产品注册证情况。
- 作者
- 内容
- 询问日期
技术资料暂无技术资料 索取技术资料
激素性股骨头坏死模型
¥400 - 600










