万千商家帮你免费找货
0 人在求购买到急需产品
- 详细信息
- 技术资料
- 形态:
液体
- 保存条件:
冷冻(-20℃)避光
- 克隆性:
多克隆
- 保质期:
一年
- 抗原来源:
NOS2(Phospho-Tyr151)
- 库存:
200
- 供应商:
上海酶联生物科技有限公司
- 宿主:
Rabbit
- 应用范围:
仅供科研使用
- 抗体英文名:
Anti-NOS2(Phospho-Tyr151)rabbitpolyclonalantibody
- 抗体名:
兔抗NOS2(Phospho-Tyr151)多克隆抗体
- 规格:
100ul/200ul/25ul
| 规格: | 100ul | 产品价格: | ¥1560.0 |
|---|---|---|---|
| 规格: | 200ul | 产品价格: | ¥2800.0 |
| 规格: | 25ul | 产品价格: | ¥880.0 |
中文名称: 兔抗NOS2(Phospho-Tyr151)多克隆抗体
英文名称:Anti-NOS2(Phospho-Tyr151)rabbitpolyclonalantibody
别名:NOS;INOS;NOS2A;HEP-NOS
相关类别:一抗
储存:冷冻(-20℃)避光
宿主:Rabbit
抗原:NOS2(Phospho-Tyr151)
反应种属:Human
标记物:Unconjugate
克隆类型:rabbitpolyclonal
技术规格
英文名称:Anti-NOS2(Phospho-Tyr151)rabbitpolyclonalantibody
别名:NOS;INOS;NOS2A;HEP-NOS
相关类别:一抗
储存:冷冻(-20℃)避光
宿主:Rabbit
抗原:NOS2(Phospho-Tyr151)
反应种属:Human
标记物:Unconjugate
克隆类型:rabbitpolyclonal
技术规格
| Background: | Nitricoxideisareactivefreeradicalwhichactsasabiologicmediatorin severalprocesses,includingneurotransmissionandantimicrobiala ndantitumoralactivities.Thisgeneencodesanitricoxidesynthasewh ichisexpressedinliverandisinduciblebyacombinationoflipopolysac charideandcertaincytokines.Threerelatedpseudogenesarelocated withintheSmith-Magenissyndromeregiononchromosome17.[providedbyRefSeq,Jul2008] |
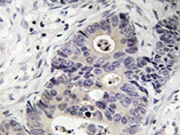
| Applications: | IHC |
| Nameofantibody: | NOS2(Phospho-Tyr151) |
| Immunogen: | Peptidesequencearoundphosphorylationsiteoftyrosine151(Q-Y-Y(p)-G-S)derivedfromHumaniNOS. |
| Fullname: | nitricoxidesynthase2,inducible |
| Synonyms: | NOS;INOS;NOS2A;HEP-NOS |
| SwissProt: | P35228 |
| IHCpositivecontrol: | Humancoloncarcinomatissue |
| IHCRecommenddilution: | 50-100 |
风险提示:丁香通仅作为第三方平台,为商家信息发布提供平台空间。用户咨询产品时请注意保护个人信息及财产安全,合理判断,谨慎选购商品,商家和用户对交易行为负责。对于医疗器械类产品,请先查证核实企业经营资质和医疗器械产品注册证情况。
技术资料兔抗NOS2(Phospho-Tyr151)多克隆抗体
¥880 - 2800








