万千商家帮你免费找货
0 人在求购买到急需产品
- 详细信息
- 文献和实验
- 技术资料
- 品系:
/
- 细胞类型:
原代细胞
- 肿瘤类型:
/
- 供应商:
优利科(上海)生命科学有限公司
- 库存:
/
- 英文名:
无
- 生长状态:
/
- 年限:
/
- 运输方式:
快递形式
- 器官来源:
/
- 是否是肿瘤细胞:
/
- 细胞形态:
/
- 免疫类型:
/
- 物种来源:
/
- 相关疾病:
/
- 组织来源:
/
- 规格:
1×10⁶cells/T25培养瓶
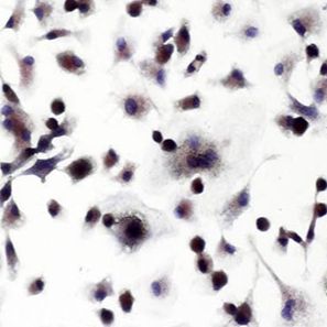
小鼠破骨细胞
1.产品名称:小鼠破骨细胞
2.组织来源:骨髓
3.产品规格:5×105cells/T25细胞培养瓶
4.细胞简介:
小鼠破骨细胞分离自骨组织和骨髓;破骨细胞是骨组织中的多核巨细胞,位于骨组织表面的浅凹处。目前一般认为破骨细胞是分离自骨骼外的造血系统,其前体可能属于造血干细胞的前单核细胞。破骨细胞的主要功能是维持骨吸收和骨形成的相对平衡,若失去这种平衡则发生病理性变化。因此多数学者从破骨细胞着手研究破骨细胞的结构、功能探讨骨吸收,形成相互平衡的机制。但破骨细胞是一种终末分化细胞,属于不增殖细胞群,不能增殖和传代,只能进行原代培养且存活时间较短。
5.方法简介:
实验室分离的小鼠破骨细胞采用机械分离法/密度梯度离心法和骨髓单核细胞诱导法制备而来,细胞总量约为5×10⁵cells/瓶。
6.质量检测:
实验室分离的小鼠破骨细胞经TRAP染色检测,纯度可达30%以上,且不含有HIV-1、HBV、HCV、支原体、细菌、酵母和真菌等。
7.培养信息:
| 培养基 | 含FBS、生长添加剂、Penicillin、Streptomycin等 |
| 换液频率 | 每2-3天换液一次 |
| 生长特性 | 贴壁 |
| 细胞形态 | 多核巨细胞 |
| 传代特性 | 属于终末分化细胞;属于不增殖细胞群 |
| 消化液 | 0.25%胰蛋白酶 |
| 培养条件 | 气相:空气,95%;CO2,5% |
小鼠破骨细胞体外培养周期有限;建议使用配套的专用生长培养基及正确的操作方法来培养,以此保证该细胞的最佳培养状态。

产品用途:
本产品只提供给进一步的科研使用,不可应用于治疗等其他方面。



风险提示:丁香通仅作为第三方平台,为商家信息发布提供平台空间。用户咨询产品时请注意保护个人信息及财产安全,合理判断,谨慎选购商品,商家和用户对交易行为负责。对于医疗器械类产品,请先查证核实企业经营资质和医疗器械产品注册证情况。
文献和实验一、饲养环境 小鼠对环境的适应性的自体调节能力和疾病抗御能力较其他实验动物差,而小鼠的品种和品系繁多,各个品种和品系都有自己的特殊要求,因此必须根据实际情况给予一个清洁舒适的生活环境。不同等级的小鼠应生活在相应的设施中。 小鼠临界温度为低温 10℃,高温 37℃,温度中性范围 30~33℃。饲养环境控制应达到如下要求:温度 18~29℃;相对湿度 40~70%;最好控制在 18~22℃,湿度 50~60%。一般小鼠饲养盒内温度比环境高 1~2℃,湿度高 5~10%。 要保持温度、湿度相对稳定
亦称溶骨细胞。为多核的大形细胞,具有破坏吸收骨组织的功能。骨化时靠它进行从海绵骨质向致密骨质转变,以及髓腔的形成和骨外形的调整等。结果是它参与钙和磷的贮存与释放,因破骨细胞可被甲状旁腺激素活化,从而促进了骨基质的吸收,使血中钙和磷的含量增加。相反,鳃后腺( ultimobranchialgland)的降钙素( calcitonin)则可抑制其功能。此种细胞来源于骨髓的网状细胞,但也有认为是由造骨细胞一时性愈合而产生的。
原创 SOOF 生物学霸 2022-04-20 17:59 4 月 12 日,江苏集萃药康生物科技股份有限公司开启申购,在公司公开的招股书中显示该公司主营业务为实验动物小鼠模型的研发、生产、销售及提供相关技术服务。部分品系的小白鼠单价高达万元以上,部分品系毛利率更是高达95% 左右。 随后一条「如何看待南大教授靠卖基因敲除小鼠,一只11723元,年赚近4亿」的讨论登上知乎热榜。 图片来源:知乎 作为天坑专业之首的生物,一直以来在大家的印象里总是和辛苦,清贫,回报周期长的标签挂钩











