相关产品推荐更多 >
万千商家帮你免费找货
0 人在求购买到急需产品
- 详细信息
- 询价记录
- 文献和实验
- 技术资料
- 品系:
/
- 细胞类型:
细胞系
- 肿瘤类型:
/
- 供应商:
优利科(上海)生命科学有限公司
- 库存:
100
- 英文名:
SF9; sf9; SF-9; Sf-9; sf-9; Sf 9; Spodoptera frugiperda clone 9; Sf clone 9; IPLB-Sf-9AE; IPLB-SF-9AE; IPLB-SF-9; IPLB-Sf-9; IPLB-Sf9
- 生长状态:
半贴半悬
- 年限:
永久
- 运输方式:
快递形式
- 器官来源:
/
- 是否是肿瘤细胞:
/
- 细胞形态:
圆形
- 免疫类型:
/
- 物种来源:
人
- 相关疾病:
/
- 组织来源:
/
- 规格:
1×10⁶cells/T25培养瓶
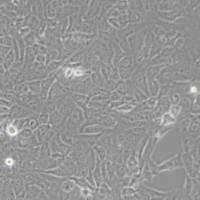
细胞中文名称:Sf9昆虫卵巢细胞(带鉴定)
| 名称 | Sf9 (昆虫卵巢细胞) |
| 别称 | SF9; sf9; SF-9; Sf-9; sf-9; Sf 9; Spodoptera frugiperda clone 9; Sf clone 9; IPLB-Sf-9AE; IPLB-SF-9AE; IPLB-SF-9; IPLB-Sf-9; IPLB-Sf9 |
| 种属 | 草地贪夜蛾 |
| 年龄(性别) | 蛹 |
| 组织来源 | 卵巢 |
| 生长特性 | 半贴半悬 |
| 细胞形态 | 圆形 |
| 背景描述 | Sf9细胞是源于雌性草地贪夜蛾蛹的卵巢组织,可以用于复制杆状病毒表达载体。 |
| 生长培养基 | TNM-FH+10% FBS+1% P/S |
| 推荐传代比例 | 5×10^5-1×10^6cells/mL |
| 推荐换液频率 | 2~3次/周 |
| 倍增时间 | ~27-50小时 |
| 冻存条件 | 冻存液:55% 基础培养基+40%FBS+5%DMSO温度:液氮 |
| 培养条件 | 气相:空气,100%;温度:28℃ |
| 注意事项 | 该细胞为28℃培养,不通二氧化碳,请提前准备专用培养箱。 |
| 保藏机构 | ATCC; CRL-1711 DSMZ; ACC-125 ECACC; 89070101 |


1、 细胞传代:
1)细胞生长至覆盖培养瓶的 80%面积时,弃 25cm2 培养瓶中的培养液,用 PBS 清洗细胞一次;
2)添加 0.25%胰蛋白酶消化液约 1ml 至培养瓶中,倒置显微镜下观察,待细胞回缩变圆后加入 5ml 完全培养
液终止消化,再轻轻吹打细胞使之脱落,然后将悬液转移至 15ml 离心管中, 1000rpm 离心 5min;
3)弃上清,沉淀细胞用 1-2ml 完全培养基重悬,然后按 1:2 比例进行分瓶传代,最后放入 37℃, 5%CO2 细胞
培养箱中培养;
2、 细胞冻存:
1)细胞生长至覆盖培养瓶的 80%面积时,弃 25cm2 培养瓶中的培养液,用 PBS 清洗细胞一次;
2)添加 0.25%胰蛋白酶消化液约 1ml 至培养瓶中,倒置显微镜下观察,待细胞回缩变圆后加入完全培养液终
止消化,轻轻吹打细胞使之脱落,然后将悬液转移至 15ml 离心管中, 1000rpm 离心 5min;
3)用适量的冻存液(FBS: DMSO=9 : 1)重悬细胞,并放置于冻存管中;
4)先将细胞冻存管放置于-20℃ 1.5h,然后将其移入-80℃过夜, 24h 后转入液氮中进行长期保存。使用程序
降温盒可直接放入-80℃。
3、细胞复苏:
1)从液氮中取出细胞冻存管(注意:佩戴防爆管面具),快速将其置入 37℃水浴中解冻,直至冻存管中无结
晶,然后用 75%的酒精擦拭冻存管外壁;
2)将冻存管中的细胞移至含 6ml 完全培养基的 15ml 离心管中, 1000rpm 离心 5min;
3)弃上清,沉淀用 6ml 完全培养基重悬,接种 25cm2 培养瓶,于 37℃, 5%CO2 细胞培养箱中培养


Sf9昆虫卵巢细胞(带鉴定)收到后处理
细胞在培养瓶中培养至良好状态后灌满完全培养液并封好瓶口是细胞运输的最好办法。收到细胞回到自己的实验室后,先打开外包装,用75%酒精喷洒整个瓶消毒后放到超净台内,严格无菌操作。镜下观察:未超过80%汇合度时,可将瓶装的完全培养液移入废液缸中,悬浮细胞需离心处理,加入6ml新鲜完全培养基,放入37℃、5%CO2孵箱培养;超过80%汇合度时,根据情况传代或者冻存,具体操作见细胞培养步骤说明书。
风险提示:丁香通仅作为第三方平台,为商家信息发布提供平台空间。用户咨询产品时请注意保护个人信息及财产安全,合理判断,谨慎选购商品,商家和用户对交易行为负责。对于医疗器械类产品,请先查证核实企业经营资质和医疗器械产品注册证情况。
- 作者
- 内容
- 询问日期
文献和实验胚胎成纤维细胞 NBLE 新生牛眼晶体上皮细胞 NBTF 新生牛眼Tenon's囊成纤维细胞 NIH3T3 小鼠胚胎成纤维细胞 P815 小鼠肥大细胞 PA12 小鼠成纤维细胞 RCBBF 兔角膜后基质层成纤维细胞 RCFBF 兔角膜前基质层成纤维细胞 RTE 大鼠气管上皮细胞 RYTF 兔眼Tenon's囊成纤维细胞 SF9 昆虫卵巢细胞 SMC 兔主动脉平滑肌细胞 Vero 猴肾细胞 WEHI-3 小鼠血液细胞 Y2
【专题讨论】杆状病毒——昆虫细胞蛋白表达系统,影响蛋白表达的因素?
不知道有多少人成功用杆状病毒——昆虫细胞表达系统成功进行过蛋白表达?我最近表达一段病毒的非结构蛋白nsp-6,构建的重组Bacmid质粒经PCR鉴定正确,可是进行表达时,却未见蛋白表达,同时进行的试剂盒对照(含CAT基因的重组细胞中则有较好的表达。 我听说约有70%的蛋白在原核表达系统中是不表达的,但不知道这样的情况会不会发生在我用的昆虫细胞表达系统,除了实验操作失误方面的原因,还有什么因素是不使蛋白表达的,请大家讨论一下。 下面是我的实验过程,请高手指教,同时希望也给新手一个指导
Gateway技术提供以下可能: 通过去除冗长的亚克隆步骤节省您的时间 同时将您的基因转移到多个表达系统 在任何您选择的系统――体外,细菌,酵母,昆虫,或哺乳动物――分析表达 一、一种更好的克隆方法 Gateway技术能够克隆一个或多个基因进入到任何蛋白表达系统(图1)。这项强大的体外技术大大地简化了基因克隆和亚克隆的步骤,而同时典型的克隆效率高达95%或更高。当基因在目的表达载体之间快速简便的穿梭时,还可以保证正确的方向和阅读框。Gateway也有助于进行带不同数目







![HT-1080 [HT1080]人纤维肉瘤细胞(带STR鉴定)](https://img1.dxycdn.com/2022/0305/429/7288955982510775353-14.jpg!wh200)


