相关产品推荐更多 >
万千商家帮你免费找货
0 人在求购买到急需产品
- 详细信息
- 文献和实验
- 技术资料
- 形态:
Liquid
- 保存条件:
Store at room temperature.
- 标记物:
Unconjugated
- 保质期:
12 months from the shipping date of the product.
- 目录编号:
GTX03611
- 级别:
Reagents
- 库存:
Available
- 供应商:
GeneTex
- 应用范围:
IHC-P
- 抗体英文名:
DP3 reagent, One-Step Deparaffinization
- 抗体名:
DP3 reagent, One-Step Deparaffinization
- 规格:
500 ml
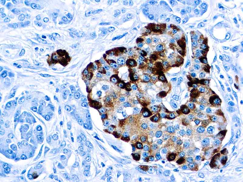
IHC-P analysis of human normal pancreas tissue using GTX73638 Chromogranin A antibody [LK2H10] (ready-to-use) with GTX03611 DP3 reagent, One-Step Deparaffinization.
风险提示:丁香通仅作为第三方平台,为商家信息发布提供平台空间。用户咨询产品时请注意保护个人信息及财产安全,合理判断,谨慎选购商品,商家和用户对交易行为负责。对于医疗器械类产品,请先查证核实企业经营资质和医疗器械产品注册证情况。
文献和实验Western blotting using ECL reagent
diluted 1:8000 in TBS-T + 1.5% gelatin for 1 hour.6. Repeat step # 4 (wash)7. Prepare ECL solution for detection: mix equal volume of ECL reagent 1 and 2, (1:1) with final volume regarding of 0.125 ml/cm2 (for a mini gel- 4 ml of each reagent).8. Remove
Extraction of DNA using DNAzol® Reagent
before extraction with DNAzol® Reagent. 2. Centrifugation (optional): Sediment the homogenate for 10 min at 10,000 × g at 4°C or room temperature. Following centrifugation, transfer the resulting viscous supernatant to a fresh tube. This step removes
Reagent-Based and Product-Based Computational Strategies in Library Design
for experimentation is an essential step in the design of combinatorial libraries. Several approaches to this problem can be envisaged, involving either reagent-based or product-based considerations. Reagent-based designs tend to be popular with chemists
技术资料暂无技术资料 索取技术资料










