相关产品推荐更多 >
万千商家帮你免费找货
0 人在求购买到急需产品
- 详细信息
- 文献和实验
- 技术资料
- 形态:
Liquid
- 保存条件:
Store at 4ºC. Protect from light.
- 标记物:
Unconjugated
- 保质期:
12 months from the shipping date of the product.
- 目录编号:
GTX03600
- 级别:
Reagents
- 库存:
Available
- 供应商:
GeneTex
- 应用范围:
IHC-P
- 抗体英文名:
Mono AEC/Plus
- 抗体名:
Mono AEC/Plus
- 规格:
30 ml
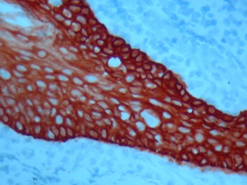
IHC-P analysis of human tonsil tissue using high Cytokeratin H.M.W antibody with GTX03600 Mono AEC/Plus.
风险提示:丁香通仅作为第三方平台,为商家信息发布提供平台空间。用户咨询产品时请注意保护个人信息及财产安全,合理判断,谨慎选购商品,商家和用户对交易行为负责。对于医疗器械类产品,请先查证核实企业经营资质和医疗器械产品注册证情况。
文献和实验Analysis of Linker Histone Binding to Mono- and Dinucleosomes
The assembly of DNA into the eukaryotic nucleus via an ascending hierarchy of intermediate chromatin structures has two major functional consequences: 1. The intermediate chromatin
Determination of Histone Methylation in Mono- and Dicotyledonous Plants
Epigenetics includes DNA methylation and histones posttranslational modifications such as methylation, acetylation, phosphorylation among others. One of the most abundant modifications in histone tail is the methylation
Capillary Electrophoresis of Neutral Carbohydrates: Mono-, Oligosaccharides, Glycosides
with chromatography is also presented, with special attention to separation efficiency and sensitivity. The main routes aimed at pretreatment and CE analysis of uncharged mono-, oligosaccharides, and glycosides are described. Representative examples of such procedures
技术资料暂无技术资料 索取技术资料










