相关产品推荐更多 >
万千商家帮你免费找货
0 人在求购买到急需产品
- 详细信息
- 文献和实验
- 技术资料
- 免疫原:
A synthesized peptide derived from human ELANE(Accession P08246), corresponding to amino acid residues I245-S264.
- 亚型:
IgG
- 形态:
Liquid
- 保存条件:
Store as concentrated solution. Centrifuge briefly prior to opening vial. For short-term storage (1-2 weeks), store at 4ºC. For long-term storage, aliquot and store at -20ºC or below. Avoid multiple freeze-thaw cycles.
- 克隆性:
Polyclonal
- 标记物:
Unconjugated
- 适应物种:
Human, Mouse, Rat
- 保质期:
12 months from the shipping date of the product.
- 抗原来源:
Human
- 目录编号:
GTX03640
- 级别:
Primary Antibodies
- 库存:
Available
- 供应商:
GeneTex
- 宿主:
Rabbit
- 应用范围:
WB, ICC/IF, IHC-P
- 浓度:
1 mg/ml (Please refer to the vial label for the specific concentration.)
- 靶点:
Neutrophil elastase
- 抗体英文名:
Neutrophil elastase antibody
- 抗体名:
Neutrophil elastase 抗体
- 规格:
100 μl
ICC/IF analysis of PFA-fixed HepG2 cells using GTX03640 Neutrophil elastase antibody.
Red : Primary antibody
Green : Beta tubulin
Blue : DAPI
Permeabilization : 0.1% Triton X-100
IHC-P analysis of rat spleen tissue using GTX03640 Neutrophil elastase antibody.
Antigen retireval : Heat mediated antigen retrieval step in citrate buffer was performed
Dilution : 1:100
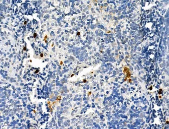
IHC-P analysis of mouse spleen tissue using GTX03640 Neutrophil elastase antibody.
Antigen retireval : Heat mediated antigen retrieval step in citrate buffer was performed
Dilution : 1:100
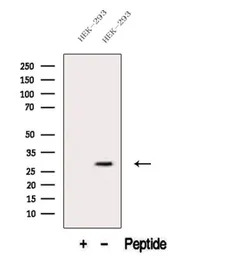
WB analysis of HEK293 cell lysate using GTX03640 Neutrophil elastase antibody. The lane on the left was treated with blocking peptide.
WB analysis of HEK293 cell lysate using GTX03640 Neutrophil elastase antibody. The lane on the left was treated with blocking peptide.
风险提示:丁香通仅作为第三方平台,为商家信息发布提供平台空间。用户咨询产品时请注意保护个人信息及财产安全,合理判断,谨慎选购商品,商家和用户对交易行为负责。对于医疗器械类产品,请先查证核实企业经营资质和医疗器械产品注册证情况。
文献和实验Neutrophil elastase, proteinase 3, and cathepsin G are three hematopoietic serine proteases, large quantities of which are stored in neutrophil cytoplasmic azurophilic granules. They act in combination with reactive oxygen species to degrade
人Neutrophil Peptide-1 (HNP-1)ELISA试剂盒 说明书
上海西唐生物科技有限公司 021-55229872, 65333639 www.westang.com 人 Neutrophil Peptide-1 (HNP-1)ELISA 试剂盒 ( 用于血清、血浆、细胞培养上清液和其它生物体液内 ) 原理 本实验采用双抗体夹心 ABC-ELISA 法。用抗人 HNP-1 单抗包被于酶标板上,标准品和样品中的 HNP-1与单抗
人弹性蛋白酶 (Elastase)ELISA 试剂盒 ( 用于血清、血浆、细胞培养上清液和生物体液内 ) 原理 本实验采用双抗体夹心 ABC-ELISA 法。用抗人 Elastase 单抗包被于酶标板上,标准品和样品中的 Elastase与单抗结合,加入生物素化的抗人 Elastase ,形成免疫复合物连接在板上,辣根过氧化物酶标记的 Streptavidin 与生物素结合,加入底物工作液显蓝
技术资料暂无技术资料 索取技术资料








![IL24 antibody [C2C3], C-term](https://img1.dxycdn.com/2022/0328/935/4592410384437200453-14.jpg!wh200)
![Osteocalcin antibody [OCG4]](https://img1.dxycdn.com/2022/0329/457/2189094245004020453-14.jpg!wh200)
