相关产品推荐更多 >
万千商家帮你免费找货
0 人在求购买到急需产品
- 详细信息
- 文献和实验
- 技术资料
- 免疫原:
Purified recombinant fragment of human PSIP1 expressed in E. Coli.
- 亚型:
IgG1
- 形态:
Liquid
- 保存条件:
Store as concentrated solution. Centrifuge briefly prior to opening vial. For short-term storage (1-2 weeks), store at 4ºC. For long-term storage, aliquot and store at -20ºC or below. Avoid multiple freeze-thaw cycles.
- 克隆性:
Monoclonal
- 标记物:
Unconjugated
- 适应物种:
Human, Mouse, Rat, Monkey
- 保质期:
12 months from the shipping date of the product.
- 抗原来源:
Human
- 目录编号:
GTX80396
- 级别:
Primary Antibodies
- 库存:
Available
- 供应商:
GeneTex
- 宿主:
Mouse
- 应用范围:
WB, ICC/IF, IHC-P, ELISA
- 靶点:
PSIP1
- 抗体英文名:
PSIP1 antibody [6E4]
- 抗体名:
PSIP1 抗体 [6E4]
- 规格:
100 μl
ELISA analysis of antigen using GTX80396 PSIP1 antibody [6E4].
Red : Control antigen 100ng
Purple : Antigen 10ng
Green : Antigen 50ng
Blue : Antigen 100ng
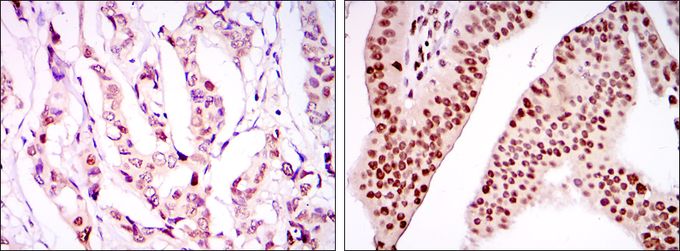
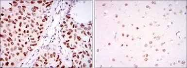
IHC-P analysis of lung cancer tissue (left) and brain tissue (right) using GTX80396 PSIP1 antibody [6E4].
WB analysis of HepG2 (1), Jurkat (2), K562 (3), Cos7 (4), PC-12 (5), HeLa (6), and NIH3T3 (7) cell lysate using GTX80396 PSIP1 antibody [6E4].
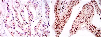
IHC-P analysis of breast cancer tissue (left) and ovarian cancer tissue (right) using GTX80396 PSIP1 antibody [6E4].
ICC/IF analysis of NIH3T3 cells using GTX80396 PSIP1 antibody [6E4].
Green : PSIP1
Red: Actin filaments
风险提示:丁香通仅作为第三方平台,为商家信息发布提供平台空间。用户咨询产品时请注意保护个人信息及财产安全,合理判断,谨慎选购商品,商家和用户对交易行为负责。对于医疗器械类产品,请先查证核实企业经营资质和医疗器械产品注册证情况。
文献和实验上海西唐生物科技有限公司 021-55229872, 65333639 www.westang.com 人白细胞三烯E4 ( LTE4 )ELISA 试剂盒 ( 用于血清、血浆、细胞培养上清液和其它生物体液内 ) 原理 本实验采用双抗体夹心 ABC-ELISA 法。用抗人 LTE4 单抗包被于酶标板上,标准品和样品中的 LTE4与单抗结合,加入生物素化的抗人
Intracellular Cytokine Staining Protocol
anti-cytokine antibodies with excess amounts of unlabeled antibody. Alternatively, recombinant cytokines can be used for blocking.eBioscience antibodies are available as Functional Grade (FG) Purified (sterile, endotoxin-tested, no azide), Purified
Intracellular Cytokine Staining Protocol
, it is common to block the directly-conjugated anti-cytokine antibodies with excess amounts of unlabeled antibody. Alternatively, recombinant cytokines can be used for blocking. eBioscience antibodies are available as Functional Grade (FG) Purified (sterile
技术资料暂无技术资料 索取技术资料







![CD147 antibody [08]](https://img1.dxycdn.com/2022/0328/546/2990086074108700453-14.jpg!wh200)

![RBM26 antibody [C1C2], Internal](https://img1.dxycdn.com/2022/0328/741/6536081258633300453-14.jpg!wh200)

