相关产品推荐更多 >
万千商家帮你免费找货
0 人在求购买到急需产品
- 详细信息
- 技术资料
- 免疫原:
Synthetic peptide corresponding to the N-terminal nonapeptide of gamma-cytoplasmic actin, coupled to KLH.
- 亚型:
IgG2b
- 形态:
Liquid
- 保存条件:
Store as concentrated solution. Centrifuge briefly prior to opening vial. For short-term storage (1-2 weeks), store at 4ºC. For long-term storage, aliquot and store at -20ºC or below. Avoid multiple freeze-thaw cycles.
- 克隆性:
Monoclonal
- 标记物:
Unconjugated
- 适应物种:
Human, Mouse, Rat, Monkey
- 保质期:
12 months from the shipping date of the product.
- 抗原来源:
Human
- 目录编号:
GTX03493
- 级别:
Primary Antibodies
- 库存:
Available
- 供应商:
GeneTex
- 宿主:
Mouse
- 应用范围:
WB, ICC/IF, IHC-P
- 浓度:
1 mg/ml (Please refer to the vial label for the specific concentration.)
- 靶点:
This antibody is highly specific for actin gamma and does not react with other actin isoforms (Dugina et al. 2009).
- 抗体英文名:
Actin Gamma 1 antibody [2A3]
- 抗体名:
Actin Gamma 1 抗体 [2A3]
- 规格:
100 μg
WB analysis of COS-7 cell lysate using GTX03493 Actin Gamma 1 antibody [2A3].
WB analysis of NIH3T3 cell lysate using GTX03493 Actin Gamma 1 antibody [2A3].
WB analysis of various sample lysates using GTX03493 Actin Gamma 1 antibody [2A3].
WB analysis of HeLa cell lysate using GTX03493 Actin Gamma 1 antibody [2A3].
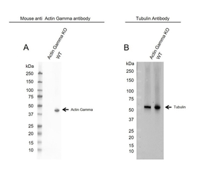
WB analysis of knockout HeLa and wild type HeLa (WT) whole cell lysates using GTX03493 Actin Gamma 1 antibody [2A3]. Panel B is an internal control.
风险提示:丁香通仅作为第三方平台,为商家信息发布提供平台空间。用户咨询产品时请注意保护个人信息及财产安全,合理判断,谨慎选购商品,商家和用户对交易行为负责。对于医疗器械类产品,请先查证核实企业经营资质和医疗器械产品注册证情况。
技术资料暂无技术资料 索取技术资料


![Actin Gamma 1 antibody [2A3]](https://img1.dxycdn.com/2022/0328/568/8274572210680800453-14.jpg)


![MC1 Receptor antibody [HL1471]](https://custom.dxycdn.com/trademd/upload/pic/2013/11/12/A1383891150.jpg!small.t.1)


![MMP2 antibody [F14 P4 D3]](https://img1.dxycdn.com/2022/0328/893/1700610064817300453-14.jpg!wh200)
