相关产品推荐更多 >
万千商家帮你免费找货
0 人在求购买到急需产品
- 详细信息
- 文献和实验
- 技术资料
- 供应商:
北京索莱宝科技有限公司
- 规格:
100ul
产品简介
| 英文名称 | Anti-Active CASP3 Monoclonal Antibody |
| 别名 | CASP-3;CPP-32;SCA-1 |
| 宿主 | Mouse |
| 稀释比例 | WB 1:1000-3000. IHC 1:100-300. |
| Gene ID | 836 |
| 保存 | Store at -20°C. Avoid freeze / thaw cycles. |
| Swiss Prot | P42574 |
| 蛋白分子量 | 32kDa |
| 储存液 | Buffer: PBS with 0.03% Proclin300, 50% glycerol, pH7.3. |
| 亚细胞定位 | Cytoplasm |
| 免疫原 | Recombinant Protein |
| 亚型 | IgG1 |
| 纯化方法 | Affinity purification |
| 克隆号 | 5.00E+01 |
| 背景资料 | Involved in the activation cascade of caspases responsible for apoptosis execution. At the onset of apoptosis it proteolytically cleaves poly(ADP-ribose) polymerase (PARP) at a '216-Asp-|-Gly-217' bond. Cleaves and activates sterol regulatory element binding proteins (SREBPs) between the basic helix-loop-helix leucine zipper domain and the membrane attachment domain. Cleaves and activates caspase-6, -7 and -9. Involved in the cleavage of huntingtin. Triggers cell adhesion in sympathetic neurons through RET cleavage. |
| 克隆类型 | Monoclonal Antibody |
| 交叉反应 | Human Rat Mouse |
| 应用 | WB IHC |
| 规格 | 50ul 100ul |
备注:
以上数据均来自公开文献, Solarbio暂未进行独立验证, 仅供参考。
These protocols are for reference only. Solarbio does not independently validate these methods.
实验图
Immunohistochemistry of paraffin-embedded Human testis cancer with Active CASP3 antibody diluted at 1:200
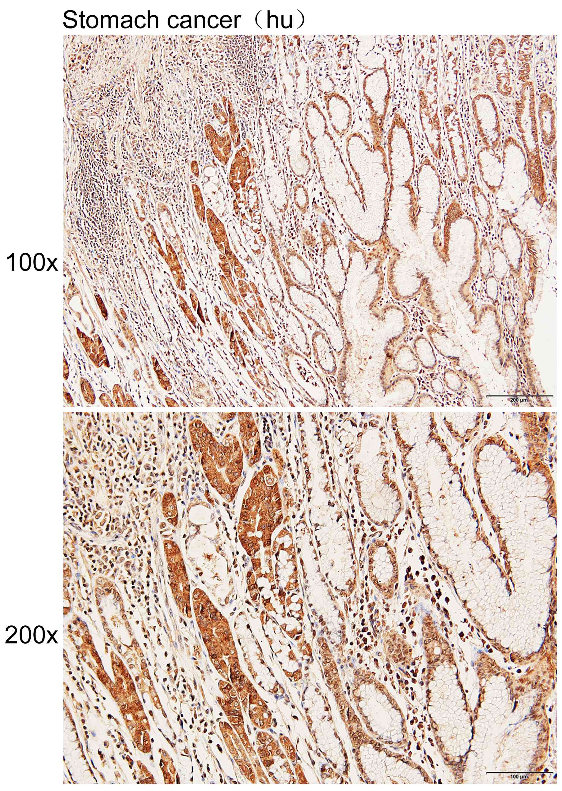
Immunohistochemistry of paraffin-embedded Human stomach cancer with Active CASP3 antibody diluted at 1:200
Western blot analysis with Active CASP3 antibody diluted at 1:2000;Lane:Rat brain
风险提示:丁香通仅作为第三方平台,为商家信息发布提供平台空间。用户咨询产品时请注意保护个人信息及财产安全,合理判断,谨慎选购商品,商家和用户对交易行为负责。对于医疗器械类产品,请先查证核实企业经营资质和医疗器械产品注册证情况。
文献和实验指仅对一种抗原决定基的纯粹的抗体。这类抗体不可能通过将抗原 胞的 Hybridoma,在试管内制成了纯粹的单克隆抗体。用某种抗原使动物产生免疫感应,对应于抗原之不同部分可制成各种不同的抗体复合体。然而,因为一个产生抗体的细胞,只能产生一种抗体,所以骨髓肿瘤细胞与产生抗体细胞间的细胞杂种,可形成边产生抗体边增殖的 hybridoma,将每个杂种细胞进行克隆(无性繁殖系)培养,则一个克隆的细胞群只由单种类产生同一抗体的细胞所组成,这样得到的就是单克隆抗体。此抗体在测定
Monoclonal Antibody Affinity Chromatography
. These criteria are often best fulfilled for protein targets by antibody ligands. Monoclonal antibodies are the ligands of choice for most purposes, especially when a protein of unknown properties is being characterized. Monoclonal antibodies fulfill
Monoclonal Antibody Production
Order 6 six week old Balb/C mice and let the ARC know they are coming.Have your antigen ready for when they arrive.Once they get there earmark the mice and perform a pre-bleed on them to be used as an ELISA control for monitoring the titer
技术资料暂无技术资料 索取技术资料








